Suppr超能文献

单侧肠道肺疾病误诊为类风湿性肺病。肺动脉缺如1例报告。

Unilateral intestinal lung disease misdiagnosed as rheumatoid lung disease. A case report of absent pulmonary artery.

作者信息

Akpa Bimaje, Desai Hem

机构信息

Department of Pulmonary, Allergy, Critical Care and Sleep Medicine, University of Minnesota Medical School, USA.

出版信息

Respir Med Case Rep. 2024 Feb 13;48:101994. doi: 10.1016/j.rmcr.2024.101994. eCollection 2024.

Abstract

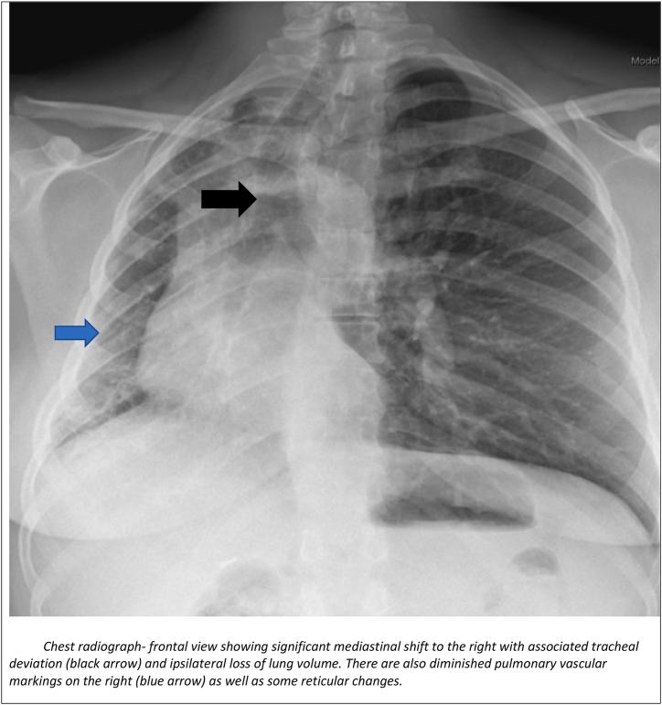
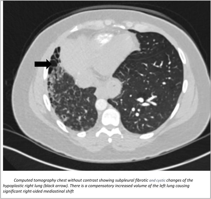
Unilateral absence of pulmonary artery (UAPA) is a congenital clinical abnormality that is rarely diagnosed in adulthood. Due to its rarity and heterogeneity as it pertains to its clinical presentation, it may be difficult to diagnose, often leading to misdiagnosis. We present a case of UAPA with unilateral pulmonary fibrosis which was misdiagnosed as rheumatoid arthritis-associated interstitial lung disease (RA-ILD). We describe the symptomology, physical examination findings, laboratory values and radiologic findings. We also describe the diagnostic challenges and approach to a patient presenting with unilateral interstitial lung disease (ILD) and highlight the importance of a comprehensive evaluation.

摘要

单侧肺动脉缺如(UAPA)是一种先天性临床异常,在成年期很少被诊断出来。由于其罕见性以及临床表现的异质性,可能难以诊断,常常导致误诊。我们报告一例伴有单侧肺纤维化的UAPA病例,该病例最初被误诊为类风湿关节炎相关间质性肺病(RA-ILD)。我们描述了症状、体格检查结果、实验室检查值和影像学检查结果。我们还描述了诊断面临的挑战以及对单侧间质性肺病(ILD)患者的诊断方法,并强调了综合评估的重要性。

https://cdn.ncbi.nlm.nih.gov/pmc/blobs/e0ba/10910152/62fd763fa0f0/gr1.jpg

文献AI研究员

20分钟写一篇综述,助力文献阅读效率提升50倍。

立即体验

用中文搜PubMed

大模型驱动的PubMed中文搜索引擎

马上搜索

文档翻译

学术文献翻译模型,支持多种主流文档格式。

立即体验