Fukui Sayato, Yokokura Rikako, Oshida Jura, Kodama Taisuke, Kobayashi Daiki
General Internal Medicine, Tokyo Medical University Ibaraki Medical Center, Inashiki, JPN.
Cureus. 2024 Feb 2;16(2):e53472. doi: 10.7759/cureus.53472. eCollection 2024 Feb.
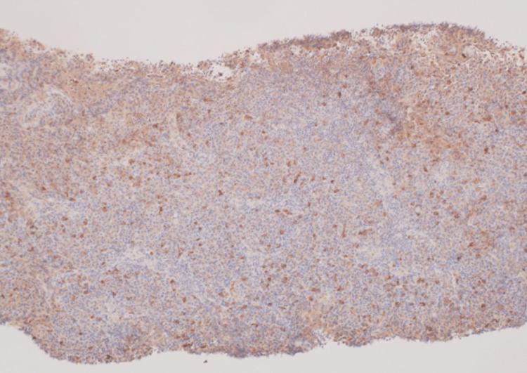
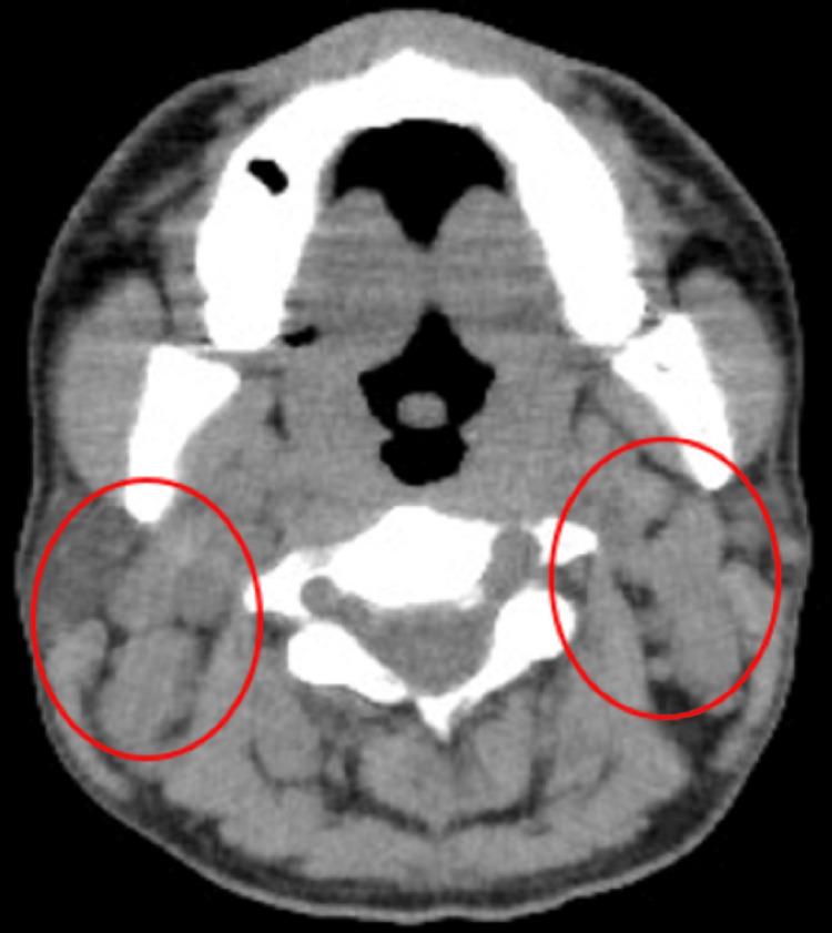
A 34-year-old man was referred to our hospital because of mild renal dysfunction and anemia. He had no specific preexisting medical conditions; his complaint was fatigue. Physical examination revealed several mobile, pinky head-sized (no tenderness) palpable lymph nodes on the bilateral neck. Blood biochemistry tests revealed anemia, renal dysfunction, increased inflammation, and a protein-albumin discrepancy. Immunological examination revealed polyclonal elevation of immunoglobulins (no shift in κ/λ ratio). A cervical lymph node biopsy was performed, and the pathological results showed numerous clusters of mature plasma cells (plasmacytic type), leading to the definitive diagnosis of idiopathic multicentric Castleman's disease (iMCD).
一名34岁男性因轻度肾功能不全和贫血被转诊至我院。他既往无特殊病史,主要症状为疲劳。体格检查发现双侧颈部有几个可活动的、小指头部大小(无压痛)的可触及淋巴结。血液生化检查显示贫血、肾功能不全、炎症指标升高以及蛋白 - 白蛋白差异。免疫学检查显示免疫球蛋白多克隆升高(κ/λ 比值无偏移)。进行了颈部淋巴结活检,病理结果显示大量成熟浆细胞簇(浆细胞型),最终确诊为特发性多中心Castleman病(iMCD)。