Suppr超能文献

新冠病毒感染后患者腹部茧状综合征所致小肠梗阻

Small Bowel Obstruction Due to Abdominal Cocoon Syndrome in Post-COVID-19 Patients.

作者信息

Aboelnaga Mohammad, Elkadi Mohamed S, Abdelhady Islam E, Elwan Yomna H

机构信息

Pediatric/General Surgery, Mansoura New General Hospital, Mansoura, EGY.

General Surgery, Mansoura International Hospital, Mansoura, EGY.

出版信息

Cureus. 2024 Feb 4;16(2):e53564. doi: 10.7759/cureus.53564. eCollection 2024 Feb.

Abstract

BACKGROUND

Abdominal cocoon syndrome, also recognized as encapsulating peritoneal sclerosis, is an exceedingly rare medical condition characterized by an anomalous membranous envelopment of the small bowel. Despite its clinical rarity, the precise etiology and pathogenic mechanisms of this syndrome remain elusive.

METHODS

This comprehensive discussion presents a case series encompassing six patients who sought medical attention in the Emergency Room, all sharing a common presentation: severe abdominal distension and persistent constipation. Intriguingly, these symptoms manifested following recent severe coronavirus disease 2019 (COVID-19) infections. Remarkably, none of these patients had significant medical histories or had undergone prior surgical interventions, rendering their cases even more enigmatic.

RESULTS

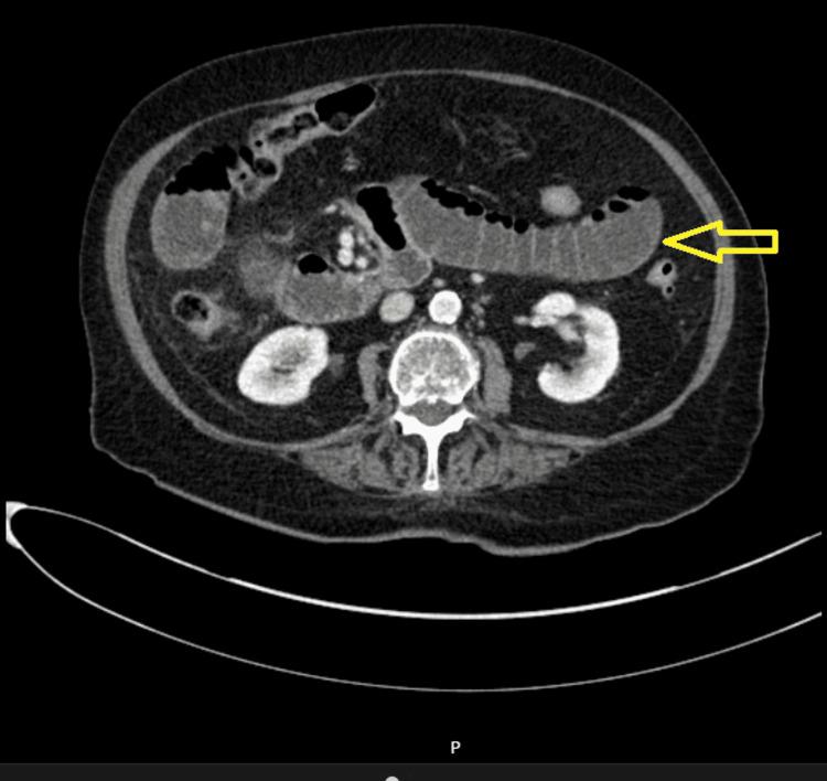
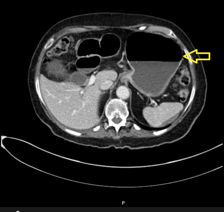
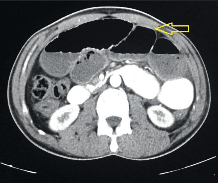
The defining feature across all six cases emerged during exploratory laparotomy, where a consistent finding stunned the surgical team: the discovery of a thick, fibrous membrane enveloping segments of the small bowel. The surgical procedure entailed meticulous dissection and subsequent removal of this membrane, with tissue samples dispatched for histopathological evaluation. This diagnostic approach conclusively confirmed the presence of abdominal cocoon syndrome in each of these patients.

DISCUSSION

The focal point of our discussion revolves around a potential connection between recent severe COVID-19 infection, intensive care unit admissions, and the subsequent development of abdominal cocoon syndrome. This intriguing association compels further inquiry to unveil the precise pathogenesis of this syndrome, particularly within the context of COVID-19. Given the diagnostic complexities associated with abdominal cocoon syndrome, this report underscores the indispensability of maintaining a heightened clinical suspicion and the significance of rigorous intraoperative assessments to ensure timely diagnosis and effective management.

CONCLUSION

Abdominal cocoon syndrome represents a rare and enigmatic medical condition characterized by its uncertain etiology. Our case series tantalizingly suggests a link between recent severe COVID-19 infection and the development of this syndrome. Nevertheless, comprehensive research endeavors are warranted to unravel the intricate mechanisms that underlie this intriguing association. In light of the diagnostic challenges associated with abdominal cocoon syndrome, this report underscores the pivotal role of exploratory surgery, in the absence of definitive radiological imaging, as the cornerstone for both diagnosis and therapeutic intervention. The pursuit of further investigations into the intricate relationship between COVID-19 and abdominal cocoon syndrome may ultimately yield the critical insights needed to demystify this complex medical enigma.

摘要

背景

腹茧症,也被称为包裹性腹膜硬化症,是一种极为罕见的病症,其特征为小肠被异常的膜性结构包裹。尽管该综合征在临床上罕见,但其确切病因和发病机制仍不清楚。

方法

本全面讨论展示了一个病例系列,包括六名在急诊室就诊的患者,他们都有一个共同表现:严重腹胀和持续便秘。有趣的是,这些症状在近期严重的2019冠状病毒病(COVID-19)感染后出现。值得注意的是,这些患者均无重大病史或既往手术史,这使得他们的病例更加扑朔迷离。

结果

在所有六例病例中,决定性特征在剖腹探查术中显现,一个一致的发现令手术团队震惊:发现一层厚厚的纤维膜包裹着小肠的部分节段。手术过程包括细致的分离并随后移除该膜,组织样本被送去进行组织病理学评估。这种诊断方法最终证实了这些患者均患有腹茧症。

讨论

我们讨论的焦点围绕近期严重的COVID-19感染、入住重症监护病房与随后腹茧症的发生之间的潜在联系。这种有趣的关联促使进一步探究以揭示该综合征的确切发病机制,尤其是在COVID-19背景下。鉴于与腹茧症相关的诊断复杂性,本报告强调保持高度临床怀疑的必要性以及严格术中评估对于确保及时诊断和有效管理的重要性。

结论

腹茧症是一种罕见且神秘的病症,病因不明。我们的病例系列诱人地表明近期严重的COVID-19感染与该综合征的发生之间存在联系。然而,需要进行全面的研究努力来阐明这种有趣关联背后的复杂机制。鉴于与腹茧症相关的诊断挑战,本报告强调在缺乏明确的放射影像学检查时,探查手术作为诊断和治疗干预基石的关键作用。对COVID-19与腹茧症之间复杂关系进行进一步调查的追求最终可能产生解开这个复杂医学谜团所需的关键见解。

https://cdn.ncbi.nlm.nih.gov/pmc/blobs/b03e/10914080/68421fc10e29/cureus-0016-00000053564-i01.jpg

文献AI研究员

20分钟写一篇综述,助力文献阅读效率提升50倍。

立即体验

用中文搜PubMed

大模型驱动的PubMed中文搜索引擎

马上搜索

文档翻译

学术文献翻译模型,支持多种主流文档格式。

立即体验