Suppr超能文献

10岁女童头痛的罕见病例报告

Unusual Case Report of Headache in 10-Year-Old Female Child.

作者信息

Kumar Sudesh, Mondal Samragnee, Kumar Roshan

机构信息

Pediatrics, Mata Gujri Memorial Medical College, Kishanganj, IND.

Medicine, Mata Gujri Memorial Medical College, Kishanganj, IND.

出版信息

Cureus. 2024 Feb 4;16(2):e53590. doi: 10.7759/cureus.53590. eCollection 2024 Feb.

Abstract

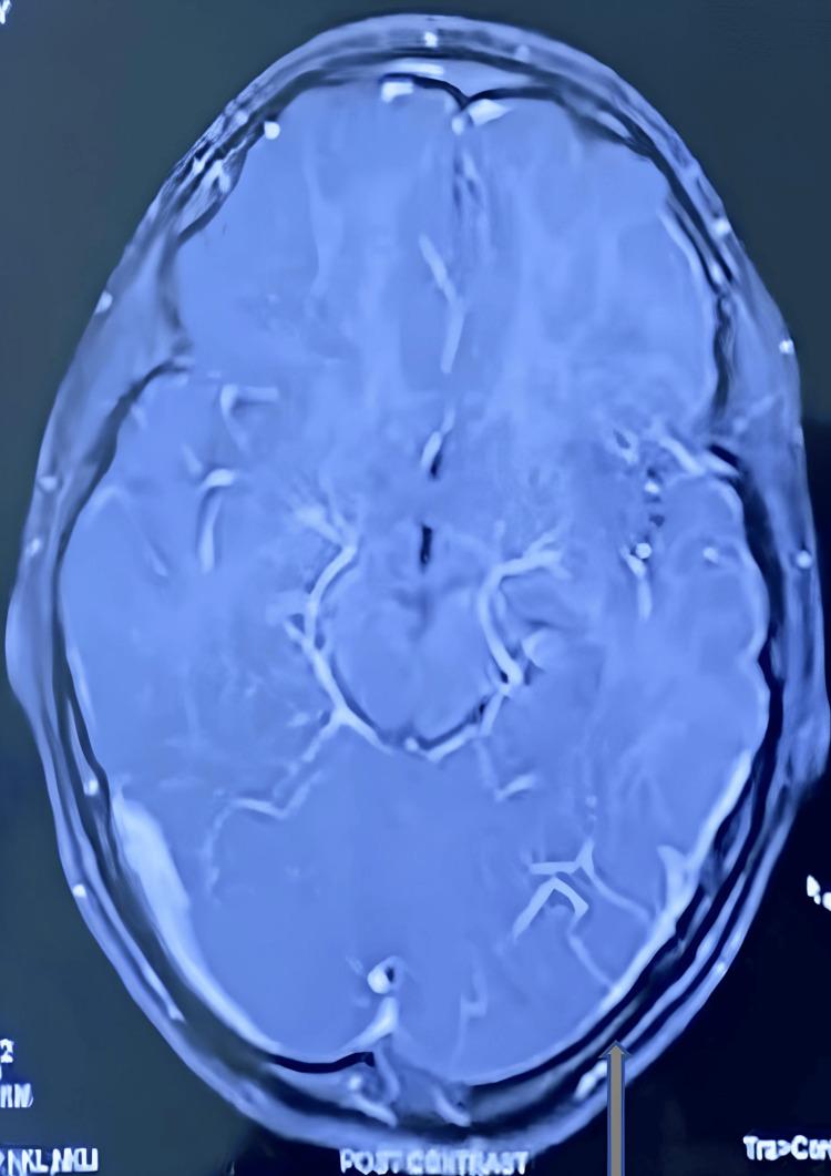
According to the literature, transverse sinus hypoplasia is not a normal variant and has a serious potential effect on cerebral blood flow. We are presenting a rare case of chronic headache due to severe hypoplasia of the left transverse and sigmoidal sinus. A 12-year-old female girl was admitted with a complaint of gradual progressive severe headache, throbbing in nature, confined to a bitemporal and frontal region in the last 4-5 months. Headache is not associated with fever, vomiting, photophobia, or vision problems. The child had no history of recurrent running nose, refractory vision, ear discharge, head trauma, exanthemata rash, or any drug history. On examination, the child was conscious and oriented. Vital signs are normal. The child was neurologically normal and had no focal signs. Other systemic examinations were normal. Based on History and examination, differential diagnosis was made, like Pseudo tumor cerebri, migraine, deep vein sinus thrombosis, and functional and Posterior fossa tumor. The child had normal routine investigations like complete blood count, electrolyte, and D-dimer. The fundoscopy was normal. In MRI, brain hypoplasia of the left transverse and sinusoidal sinus was suspected and confirmed by MRI venography. Thus, for any patient in an emergency with a chronic headache without focal signs and normal fundoscopy, one deferential should be considered for transverse and sigmoid sinus hypoplasia.

摘要

根据文献记载,横窦发育不全并非正常变异,对脑血流有严重的潜在影响。我们报告一例罕见的因左侧横窦和乙状窦严重发育不全导致慢性头痛的病例。一名12岁女童因逐渐加重的严重头痛入院,头痛呈搏动性,在过去4至5个月局限于双侧颞部和额部区域。头痛与发热、呕吐、畏光或视力问题无关。该患儿无反复流涕、难治性视力问题、耳漏、头部外伤、皮疹或任何用药史。体格检查时,患儿意识清醒、定向力正常。生命体征正常。神经系统检查正常,无局灶性体征。其他系统检查也正常。根据病史和检查结果,进行了鉴别诊断,如假性脑瘤、偏头痛、深静脉窦血栓形成、功能性疾病和后颅窝肿瘤。患儿血常规、电解质和D - 二聚体等常规检查正常。眼底检查正常。在MRI检查中,怀疑左侧横窦和乙状窦发育不全,并通过磁共振静脉造影得以证实。因此,对于任何急诊中出现慢性头痛且无局灶性体征、眼底检查正常的患者,应考虑横窦和乙状窦发育不全这一鉴别诊断。

https://cdn.ncbi.nlm.nih.gov/pmc/blobs/6d19/10915452/b8212ea9470b/cureus-0016-00000053590-i01.jpg

文献AI研究员

20分钟写一篇综述,助力文献阅读效率提升50倍。

立即体验

用中文搜PubMed

大模型驱动的PubMed中文搜索引擎

马上搜索

文档翻译

学术文献翻译模型,支持多种主流文档格式。

立即体验