• 文献检索
  • 文档翻译
  • 深度研究
  • 学术资讯
  • Suppr Zotero 插件Zotero 插件
  • 邀请有礼
  • 套餐&价格
  • 历史记录
应用&插件
Suppr Zotero 插件Zotero 插件浏览器插件Mac 客户端Windows 客户端微信小程序
定价
高级版会员购买积分包购买API积分包
服务
文献检索文档翻译深度研究API 文档MCP 服务
关于我们
关于 Suppr公司介绍联系我们用户协议隐私条款
关注我们

Suppr 超能文献

核心技术专利:CN118964589B侵权必究
粤ICP备2023148730 号-1Suppr @ 2026

文献检索

告别复杂PubMed语法,用中文像聊天一样搜索,搜遍4000万医学文献。AI智能推荐,让科研检索更轻松。

立即免费搜索

文件翻译

保留排版,准确专业,支持PDF/Word/PPT等文件格式,支持 12+语言互译。

免费翻译文档

深度研究

AI帮你快速写综述,25分钟生成高质量综述,智能提取关键信息,辅助科研写作。

立即免费体验

靶向 P2YR 通过 PKA/CREB/RIPK1 轴保护溃疡性结肠炎肠上皮细胞免于发生坏死性凋亡。

Targeting P2YR protects against necroptosis of intestinal epithelial cells through PKA/CREB/RIPK1 axis in ulcerative colitis.

机构信息

School of Pharmacy, China Pharmaceutical University, Nanjing, 211198, China.

College of Pharmaceutical Sciences, Soochow University, Suzhou, China.

出版信息

Nat Commun. 2024 Mar 7;15(1):2083. doi: 10.1038/s41467-024-46365-x.

DOI:10.1038/s41467-024-46365-x
PMID:38453952
原文链接:https://pmc.ncbi.nlm.nih.gov/articles/PMC10920779/
Abstract

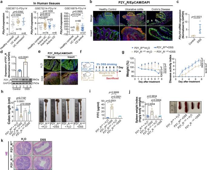
Purinergic signaling plays a causal role in the pathogenesis of inflammatory bowel disease. Among purinoceptors, only P2YR is positively correlated with inflammatory score in mucosal biopsies of ulcerative colitis patients, nevertheless, the role of P2YR in ulcerative colitis remains unclear. Here, based on the over-expressions of P2YR in the intestinal epithelium of mice with experimental colitis, we find that male mice lacking P2YR in intestinal epithelial cells exhibit less intestinal injury induced by dextran sulfate sodium. Mechanistically, P2YR deletion limits the transcriptional activity of cAMP-response element binding protein through cAMP/PKA axis, which binds to the promoter of Ripk1, inhibiting necroptosis of intestinal epithelial cells. Furthermore, we design a hierarchical strategy combining virtual screening and chemical optimization to develop a P2YR antagonist HDL-16, which exhibits remarkable anti-colitis effects. Summarily, our study elucidates a previously unknown mechanism whereby P2YR participates in ulcerative colitis, providing a promising therapeutic target for inflammatory bowel disease.

摘要

嘌呤能信号在炎症性肠病的发病机制中起因果作用。在嘌呤能受体中,只有 P2YR 与溃疡性结肠炎患者的黏膜活检中的炎症评分呈正相关,但 P2YR 在溃疡性结肠炎中的作用仍不清楚。在这里,基于实验性结肠炎小鼠肠上皮细胞中 P2YR 的过表达,我们发现缺乏肠上皮细胞中 P2YR 的雄性小鼠对葡聚糖硫酸钠诱导的肠道损伤的敏感性降低。在机制上,P2YR 的缺失通过 cAMP/PKA 轴限制了 cAMP 反应元件结合蛋白的转录活性,该蛋白与 Ripk1 的启动子结合,抑制肠上皮细胞的坏死性凋亡。此外,我们设计了一种结合虚拟筛选和化学优化的分层策略来开发 P2YR 拮抗剂 HDL-16,其具有显著的抗结肠炎作用。总之,我们的研究阐明了 P2YR 参与溃疡性结肠炎的一个先前未知的机制,为炎症性肠病提供了一个有前途的治疗靶点。

https://cdn.ncbi.nlm.nih.gov/pmc/blobs/beaa/10920779/0812e6b81e34/41467_2024_46365_Fig8_HTML.jpg
https://cdn.ncbi.nlm.nih.gov/pmc/blobs/beaa/10920779/b4e5f280ce0d/41467_2024_46365_Fig1_HTML.jpg
https://cdn.ncbi.nlm.nih.gov/pmc/blobs/beaa/10920779/8688b9951cca/41467_2024_46365_Fig2_HTML.jpg
https://cdn.ncbi.nlm.nih.gov/pmc/blobs/beaa/10920779/1740a6839216/41467_2024_46365_Fig3_HTML.jpg
https://cdn.ncbi.nlm.nih.gov/pmc/blobs/beaa/10920779/bd84ed063056/41467_2024_46365_Fig4_HTML.jpg
https://cdn.ncbi.nlm.nih.gov/pmc/blobs/beaa/10920779/5d67e13a4c6b/41467_2024_46365_Fig5_HTML.jpg
https://cdn.ncbi.nlm.nih.gov/pmc/blobs/beaa/10920779/8b4e22c3bacc/41467_2024_46365_Fig6_HTML.jpg
https://cdn.ncbi.nlm.nih.gov/pmc/blobs/beaa/10920779/c7c7363dc539/41467_2024_46365_Fig7_HTML.jpg
https://cdn.ncbi.nlm.nih.gov/pmc/blobs/beaa/10920779/0812e6b81e34/41467_2024_46365_Fig8_HTML.jpg
https://cdn.ncbi.nlm.nih.gov/pmc/blobs/beaa/10920779/b4e5f280ce0d/41467_2024_46365_Fig1_HTML.jpg
https://cdn.ncbi.nlm.nih.gov/pmc/blobs/beaa/10920779/8688b9951cca/41467_2024_46365_Fig2_HTML.jpg
https://cdn.ncbi.nlm.nih.gov/pmc/blobs/beaa/10920779/1740a6839216/41467_2024_46365_Fig3_HTML.jpg
https://cdn.ncbi.nlm.nih.gov/pmc/blobs/beaa/10920779/bd84ed063056/41467_2024_46365_Fig4_HTML.jpg
https://cdn.ncbi.nlm.nih.gov/pmc/blobs/beaa/10920779/5d67e13a4c6b/41467_2024_46365_Fig5_HTML.jpg
https://cdn.ncbi.nlm.nih.gov/pmc/blobs/beaa/10920779/8b4e22c3bacc/41467_2024_46365_Fig6_HTML.jpg
https://cdn.ncbi.nlm.nih.gov/pmc/blobs/beaa/10920779/c7c7363dc539/41467_2024_46365_Fig7_HTML.jpg
https://cdn.ncbi.nlm.nih.gov/pmc/blobs/beaa/10920779/0812e6b81e34/41467_2024_46365_Fig8_HTML.jpg

相似文献

1
Targeting P2YR protects against necroptosis of intestinal epithelial cells through PKA/CREB/RIPK1 axis in ulcerative colitis.靶向 P2YR 通过 PKA/CREB/RIPK1 轴保护溃疡性结肠炎肠上皮细胞免于发生坏死性凋亡。
Nat Commun. 2024 Mar 7;15(1):2083. doi: 10.1038/s41467-024-46365-x.
2
Selenoprotein S maintains intestinal homeostasis in ulcerative colitis by inhibiting necroptosis of colonic epithelial cells through modulation of macrophage polarization.硒蛋白 S 通过调节巨噬细胞极化抑制结肠上皮细胞坏死性凋亡来维持溃疡性结肠炎中的肠道稳态。
Theranostics. 2024 Sep 9;14(15):5903-5925. doi: 10.7150/thno.97005. eCollection 2024.
3
Intestinal vitamin D receptor signaling ameliorates dextran sulfate sodium-induced colitis by suppressing necroptosis of intestinal epithelial cells.肠维生素 D 受体信号通过抑制肠道上皮细胞坏死性凋亡改善葡聚糖硫酸钠诱导的结肠炎。
FASEB J. 2020 Oct;34(10):13494-13506. doi: 10.1096/fj.202000143RRR. Epub 2020 Aug 11.
4
A pan-RAF inhibitor LY3009120 inhibits necroptosis by preventing phosphorylation of RIPK1 and alleviates dextran sulfate sodium-induced colitis.一种泛 RAF 抑制剂 LY3009120 通过抑制 RIPK1 的磷酸化来抑制坏死性凋亡,并减轻葡聚糖硫酸钠诱导的结肠炎。
Clin Sci (Lond). 2019 Apr 16;133(8):919-932. doi: 10.1042/CS20181081. Print 2019 Apr 30.
5
E-type prostanoid receptor 4 drives resolution of intestinal inflammation by blocking epithelial necroptosis.E 型前列腺素受体 4 通过阻断上皮细胞坏死性凋亡来驱动肠道炎症的消退。
Nat Cell Biol. 2021 Jul;23(7):796-807. doi: 10.1038/s41556-021-00708-8. Epub 2021 Jul 8.
6
A novel gut-restricted RIPK1 inhibitor, SZ-15, ameliorates DSS-induced ulcerative colitis.一种新型的肠道受限的 RIPK1 抑制剂 SZ-15 可改善 DSS 诱导的溃疡性结肠炎。
Eur J Pharmacol. 2022 Dec 15;937:175381. doi: 10.1016/j.ejphar.2022.175381. Epub 2022 Nov 8.
7
A natural chalcone cardamonin inhibits necroptosis and ameliorates dextran sulfate sodium (DSS)-induced colitis by targeting RIPK1/3 kinases.一种天然查尔酮小豆蔻明通过靶向 RIPK1/3 激酶抑制坏死性凋亡并改善葡聚糖硫酸钠(DSS)诱导的结肠炎。
Eur J Pharmacol. 2023 Sep 5;954:175840. doi: 10.1016/j.ejphar.2023.175840. Epub 2023 Jun 9.
8
Inhibition of HtrA2 alleviated dextran sulfate sodium (DSS)-induced colitis by preventing necroptosis of intestinal epithelial cells.HtrA2 抑制减轻葡聚糖硫酸钠(DSS)诱导的结肠炎通过防止肠道上皮细胞发生坏死性凋亡。
Cell Death Dis. 2019 Apr 24;10(5):344. doi: 10.1038/s41419-019-1580-7.
9
Gadd45β promotes regeneration after injury through TGFβ-dependent restitution in experimental colitis.Gadd45β 通过 TGFβ 依赖性修复促进实验性结肠炎损伤后的再生。
Exp Mol Med. 2019 Oct 30;51(10):1-14. doi: 10.1038/s12276-019-0335-y.
10
EZH2 Regulates Intestinal Inflammation and Necroptosis Through the JNK Signaling Pathway in Intestinal Epithelial Cells.EZH2 通过 JNK 信号通路调节肠上皮细胞的炎症和坏死性凋亡。
Dig Dis Sci. 2019 Dec;64(12):3518-3527. doi: 10.1007/s10620-019-05705-4. Epub 2019 Jul 4.

引用本文的文献

1
Design, Synthesis and Anti-Inflammation Evaluation of -Acyl Tryptophan Derivatives as Promising P2YR Antagonists Against Lipopolysaccharide-Induced Acute Lung Injury.作为有望对抗脂多糖诱导的急性肺损伤的P2YR拮抗剂的α-酰基色氨酸衍生物的设计、合成及抗炎评价
Drug Des Devel Ther. 2025 Aug 20;19:7215-7245. doi: 10.2147/DDDT.S497291. eCollection 2025.
2
Cell Death-Related Genesets Activity Improved Clinical Concordance and Intrinsically Associated with Alterations in Ulcerative Colitis: Mucosal Healing at Molecular Depth.细胞死亡相关基因集活性改善了临床一致性,并与溃疡性结肠炎的改变内在相关:分子深度的黏膜愈合
J Inflamm Res. 2025 Jul 19;18:9587-9608. doi: 10.2147/JIR.S519566. eCollection 2025.
3

本文引用的文献

1
The metabolic nature of inflammatory bowel diseases.炎症性肠病的代谢性质。
Nat Rev Gastroenterol Hepatol. 2022 Dec;19(12):753-767. doi: 10.1038/s41575-022-00658-y. Epub 2022 Jul 29.
2
GPR105-Targeted Therapy Promotes Gout Resolution as a Switch Between NETosis and Apoptosis of Neutrophils.GPR105 靶向治疗通过促进中性粒细胞 NETosis 和细胞凋亡之间的转换促进痛风缓解。
Front Immunol. 2022 Mar 30;13:870183. doi: 10.3389/fimmu.2022.870183. eCollection 2022.
3
The purinergic P2Y14 receptor links hepatocyte death to hepatic stellate cell activation and fibrogenesis in the liver.
Immune dysregulation in ulcerative colitis: pathogenic mechanisms and therapeutic strategies of traditional Chinese medicine.
溃疡性结肠炎中的免疫失调:中医发病机制与治疗策略
Front Cell Dev Biol. 2025 Jun 5;13:1610435. doi: 10.3389/fcell.2025.1610435. eCollection 2025.
4
Gambogic acid targets HSP90 to alleviate DSS-induced colitis via inhibiting the necroptosis of intestinal epithelial cells.藤黄酸通过靶向热休克蛋白90(HSP90)抑制肠上皮细胞坏死性凋亡,从而缓解葡聚糖硫酸钠(DSS)诱导的结肠炎。
Front Pharmacol. 2025 May 19;16:1586705. doi: 10.3389/fphar.2025.1586705. eCollection 2025.
5
UDP-glucose regulates dendritic cell mitochondrial respiration via a nitric oxide-dependent mechanism.尿苷二磷酸葡萄糖通过一种一氧化氮依赖性机制调节树突状细胞的线粒体呼吸。
J Leukoc Biol. 2025 May 7;117(5). doi: 10.1093/jleuko/qiaf047.
6
P2YR activation facilitates liver regeneration CREB/DNMT3b/Dact-2/-Catenin signals in acute liver failure.P2YR激活可促进急性肝衰竭中CREB/DNMT3b/Dact-2/β-连环蛋白信号通路介导的肝再生。
Acta Pharm Sin B. 2025 Feb;15(2):919-933. doi: 10.1016/j.apsb.2025.01.004. Epub 2025 Jan 19.
7
Tartary Buckwheat Bran and Fructus Aurantii Combination (TBB-FA): A Promising Therapeutic Approach for Functional Dyspepsia via Modulation of Gut Microbiota, Short-Chain Fatty Acids and Purine Signaling Pathway.苦荞麸皮与枳壳组合(TBB-FA):通过调节肠道微生物群、短链脂肪酸和嘌呤信号通路治疗功能性消化不良的一种有前景的方法。
Food Sci Nutr. 2025 Jan 12;13(1):e4695. doi: 10.1002/fsn3.4695. eCollection 2025 Jan.
8
RIP1 inhibition reduces chondrocyte apoptosis through downregulating nuclear factor-kappa B signaling in a mouse osteoarthritis model.RIP1 抑制通过下调核因子-κB 信号通路减少骨关节炎模型中小鼠软骨细胞凋亡。
Mol Biol Rep. 2024 Nov 8;51(1):1132. doi: 10.1007/s11033-024-10080-z.
9
Deubiquitinase USP5 regulates RIPK1 driven pyroptosis in response to myocardial ischemic reperfusion injury.去泛素化酶 USP5 调节 RIPK1 驱动的细胞焦亡,以响应心肌缺血再灌注损伤。
Cell Commun Signal. 2024 Sep 30;22(1):466. doi: 10.1186/s12964-024-01853-x.
10
P2Y receptors: a new target for treating ulcerative colitis.P2Y受体:治疗溃疡性结肠炎的新靶点。
Purinergic Signal. 2024 May 9. doi: 10.1007/s11302-024-10017-y.
嘌呤能P2Y14受体将肝细胞死亡与肝星状细胞激活及肝脏纤维化联系起来。
Sci Transl Med. 2022 Apr 6;14(639):eabe5795. doi: 10.1126/scitranslmed.abe5795.
4
Mosaic composition of RIP1-RIP3 signalling hub and its role in regulating cell death.RIP1-RIP3信号枢纽的镶嵌组成及其在调节细胞死亡中的作用。
Nat Cell Biol. 2022 Apr;24(4):471-482. doi: 10.1038/s41556-022-00854-7. Epub 2022 Mar 7.
5
Extracellular Nucleotides Affect the Proangiogenic Behavior of Fibroblasts, Keratinocytes, and Endothelial Cells.细胞外核苷酸影响成纤维细胞、角质形成细胞和内皮细胞的促血管生成行为。
Int J Mol Sci. 2021 Dec 27;23(1):238. doi: 10.3390/ijms23010238.
6
Discovery and computational studies of 2-phenyl-benzoxazole acetamide derivatives as promising P2YR antagonists with anti-gout potential.发现并通过计算研究 2-苯基苯并恶唑乙酰胺衍生物有望成为具有抗痛风潜力的 P2YR 拮抗剂。
Eur J Med Chem. 2022 Jan 5;227:113933. doi: 10.1016/j.ejmech.2021.113933. Epub 2021 Oct 19.
7
NTPDase8 protects mice from intestinal inflammation by limiting P2Y receptor activation: identification of a new pathway of inflammation for the potential treatment of IBD.NTPDase8 通过限制 P2Y 受体激活来保护小鼠免受肠道炎症:为治疗 IBD 提供新的炎症途径。
Gut. 2022 Jan;71(1):43-54. doi: 10.1136/gutjnl-2020-320937. Epub 2021 Jan 15.
8
P2 Receptors Influence hMSCs Differentiation towards Endothelial Cell and Smooth Muscle Cell Lineages.P2 受体影响骨髓间充质干细胞向血管内皮细胞和平滑肌细胞谱系的分化。
Int J Mol Sci. 2020 Aug 27;21(17):6210. doi: 10.3390/ijms21176210.
9
Receptor-interacting protein kinase 1 (RIPK1) as a therapeutic target.受体相互作用蛋白激酶 1(RIPK1)作为治疗靶点。
Nat Rev Drug Discov. 2020 Aug;19(8):553-571. doi: 10.1038/s41573-020-0071-y. Epub 2020 Jul 15.
10
Cell death in the gut epithelium and implications for chronic inflammation.肠道上皮细胞死亡及其对慢性炎症的影响。
Nat Rev Gastroenterol Hepatol. 2020 Sep;17(9):543-556. doi: 10.1038/s41575-020-0326-4. Epub 2020 Jul 10.