Suppr超能文献

1例重链型淀粉样变伴淀粉样甲状腺肿:诊断挑战与临床意义

A Case of Amyloid Goitre in Heavy Chain Amyloidosis: Diagnostic Challenges and Clinical Implications.

作者信息

Laranjeira Francisco, Neves Bernardo, Bernardo Paulo, do Rosário Francisco, Fernandes Otília, Mendonça Evelina, Catarino Ana

机构信息

Department of Internal Medicine, Hospital da Luz, Lisbon, Portugal.

Department of Hematology, Hospital da Luz, Lisbon, Portugal.

出版信息

Eur J Case Rep Intern Med. 2024 Feb 1;11(3):004286. doi: 10.12890/2024_004286. eCollection 2024.

Abstract

UNLABELLED

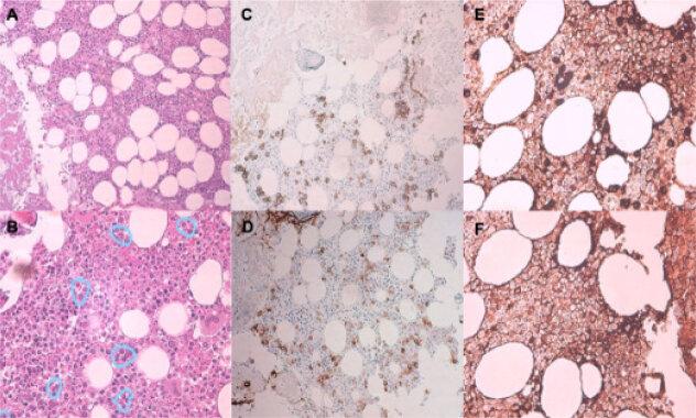
Immunoglobulin heavy chain amyloidosis (AH amyloidosis) is an extremely rare subtype of immunoglobulin-derived amyloidosis and there is limited literature on how to diagnose and manage this disorder. We describe a rare case of AH amyloidosis with amyloid goitre and the importance of mass spectrometry in the identification of the different types of amyloids. While additional studies are needed, several observations suggest important practical implications, including differences in clinical picture, prognosis, and pathologic diagnosis.

LEARNING POINTS

Immunoglobulin heavy chain amyloidosis is an extremely rare subtype of immunoglobulin-derived amyloidosis and amyloid goitre is even rarer.There is limited literature on how to diagnose and manage this disorder.This case portrays one of these cases - one of the few existing in the literature - and reinforces the diagnostic complexity of this entity.

摘要

未标注

免疫球蛋白重链淀粉样变性(AH淀粉样变性)是免疫球蛋白衍生淀粉样变性的一种极其罕见的亚型,关于如何诊断和管理这种疾病的文献有限。我们描述了一例罕见的伴有淀粉样甲状腺肿的AH淀粉样变性病例,以及质谱分析在鉴别不同类型淀粉样蛋白中的重要性。虽然还需要进一步研究,但一些观察结果提示了重要的实际意义,包括临床表现、预后和病理诊断方面的差异。

学习要点

免疫球蛋白重链淀粉样变性是免疫球蛋白衍生淀粉样变性的一种极其罕见的亚型,而淀粉样甲状腺肿更为罕见。关于如何诊断和管理这种疾病的文献有限。本病例描绘了其中之一——文献中为数不多的病例之一——并强化了该实体的诊断复杂性。

https://cdn.ncbi.nlm.nih.gov/pmc/blobs/a6b5/10917402/dbf905fc98c0/4286_Fig1.jpg

文献AI研究员

20分钟写一篇综述,助力文献阅读效率提升50倍。

立即体验

用中文搜PubMed

大模型驱动的PubMed中文搜索引擎

马上搜索

文档翻译

学术文献翻译模型,支持多种主流文档格式。

立即体验