Suppr超能文献

贾第鞭毛虫感染在空肠弯曲菌性肠炎后被诊断。

Tapeworm Infection Diagnosed after Campylobacter jejuni-induced Enteritis.

机构信息

Department of Gastroenterology, Faculty of Medicine, Oita University, Japan.

Department of Infectious Disease Control, Faculty of Medicine, Oita University, Japan.

出版信息

Intern Med. 2024 Nov 1;63(21):2939-2942. doi: 10.2169/internalmedicine.3388-23. Epub 2024 Mar 11.

Abstract

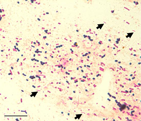
A 35-year-old man with fever and diarrhea visited our hospital because of white string-like fecal excretion. Based on a morphological examination of the excreted object, a Diphyllobothrium infection was suspected. Additionally, Gram staining of a fecal sample revealed Campylobacter infection. After the intraduodenal administration of meglumine/diatrizoate sodium, the tapeworm was excreted. A polymerase chain reaction-based DNA sequence analysis demonstrated that the tapeworm excreted in this case was Diphyllobothrium nihonkaiensis. This report presents a rare case of coinfection with Diphyllobothrium nihonkaiensis and Campylobacter jejuni. Therefore, it is important to consider the coexistence of other intestinal infections when diagnosing parasitic infections in patients with fever.

摘要

一位 35 岁男性因发热和腹泻来我院就诊,其粪便排出白色线状物体。根据排出物的形态学检查,疑似感染阔节裂头绦虫。此外,粪便革兰氏染色显示弯曲杆菌感染。在十二指肠内给予泛影葡胺/二碘酸钠后,排出了绦虫。聚合酶链反应(PCR)-基于 DNA 序列分析表明,该病例中排出的绦虫为日本分体绦虫。本报告介绍了一例日本分体绦虫和空肠弯曲杆菌合并感染的罕见病例。因此,在诊断发热患者的寄生虫感染时,重要的是要考虑其他肠道感染的共存。

https://cdn.ncbi.nlm.nih.gov/pmc/blobs/8733/11604381/65c125b0b978/1349-7235-63-2939-g001.jpg

文献AI研究员

20分钟写一篇综述,助力文献阅读效率提升50倍。

立即体验

用中文搜PubMed

大模型驱动的PubMed中文搜索引擎

马上搜索

文档翻译

学术文献翻译模型,支持多种主流文档格式。

立即体验