Suppr超能文献

Eosinophilic Liver Abscess: A Case of Locally Acquired in Alberta, Canada.

作者信息

King Teagan, Cabada Miguel M, Kowalewska-Grochowska Kinga, Vaughan Stephen D

机构信息

University of Calgary, Department of Medicine, Division of Infectious Diseases, Calgary, Alberta, Canada.

University of Texas Medical Branch, Department of Medicine, Division of Infectious Diseases, Galveston, Texas, USA.

出版信息

Open Forum Infect Dis. 2024 Feb 19;11(3):ofae101. doi: 10.1093/ofid/ofae101. eCollection 2024 Mar.

Abstract

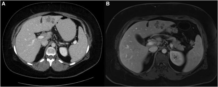
is a trematode causing acute and chronic infection. A 33-year-old Canadian woman with eosinophilic liver abscesses and no relevant travel was diagnosed with infection is reported in livestock in Alberta. This is the first case of locally acquired fascioliasis in Canada in >100 years.

摘要
https://cdn.ncbi.nlm.nih.gov/pmc/blobs/c8ef/10933217/045d8bc8d575/ofae101f1.jpg

文献AI研究员

20分钟写一篇综述,助力文献阅读效率提升50倍。

立即体验

用中文搜PubMed

大模型驱动的PubMed中文搜索引擎

马上搜索

文档翻译

学术文献翻译模型,支持多种主流文档格式。

立即体验