Suppr超能文献

HER3过表达:ALK抑制剂治疗的晚期ALK阳性非小细胞肺癌预后不良的预测标志物。

HER3 overexpression: a predictive marker for poor prognosis in advanced ALK-positive non-small cell lung cancer treated with ALK inhibitors.

作者信息

Kim Meejeong, Ju Hyun-Min, Song Ji-Young, Sampson Josephina, Bayliss Richard, Choi Jene

机构信息

Department of Pathology, Seoul St. Mary's Hospital, College of Medicine, The Catholic University of Korea, Seoul, Korea.

Department of Pathology, Asan Medical Center, University of Ulsan College of Medicine, Seoul, Korea.

出版信息

Transl Lung Cancer Res. 2024 Feb 29;13(2):321-333. doi: 10.21037/tlcr-23-804. Epub 2024 Feb 28.

Abstract

BACKGROUND

Anaplastic lymphoma kinase (ALK)-targeted tyrosine kinase inhibitors (TKIs) improve patient survival; however, some patients develop ALK-TKI resistance with unidentified mechanisms. We investigated ErbB family and c-MET expression in patients with ALK-positive non-small cell lung cancer (NSCLC) to understand their roles in the ALK-TKI response.

METHODS

We studied 72 patients with advanced ALK-positive NSCLC with fusion variant subtyping and immunostaining for c-MET, EGFR, HER2, and HER3 on tissue specimens both pre- (primary) and post-treatment (secondary) with ALK-TKI. We investigated the association of their expression with survival outcomes and assessed the effectiveness of combining ALK and EGFR inhibitors in ALK-positive NSCLC cell lines stimulated with the HER3-specific ligand HRG1.

RESULTS

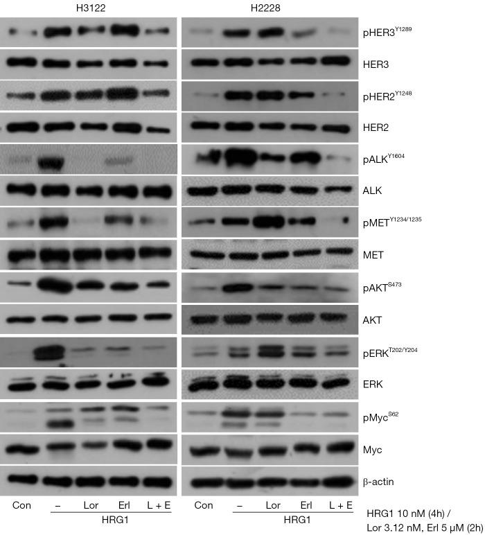
High expression of c-MET, EGFR, HER2, and HER3 was observed in 4.9%, 18.0%, 1.6%, and 25.8% of primary tumors, respectively, and 18.5%, 37.0%, 10.7%, and 35.7% of secondary tumors, respectively. HER3 overexpression in primary tumors showed inferior survival (P=0.132). In the subgroup with variant 1/2 (V1/V2), HER3 overexpression was significantly associated with inferior survival in both primary and secondary tumors (P=0.022 and P=0.004, respectively). Combination treatment with lorlatinib and erlotinib significantly reduced HRG1-induced activation of RTK signaling in ALK-positive NSCLC cells.

CONCLUSIONS

HER3 overexpression has potential as a prognostic marker in ALK-positive NSCLCs, including ALK-TKI naïve and treated cases, especially those with V1/V2. Assessing HER3 expression may be crucial for treatment planning and outcome prediction in these patients.

摘要

背景

间变性淋巴瘤激酶(ALK)靶向酪氨酸激酶抑制剂(TKIs)可提高患者生存率;然而,一些患者会出现ALK-TKI耐药,其机制尚不明确。我们研究了ALK阳性非小细胞肺癌(NSCLC)患者中表皮生长因子受体(ErbB)家族和c-MET的表达情况,以了解它们在ALK-TKI反应中的作用。

方法

我们研究了72例晚期ALK阳性NSCLC患者,对其组织标本在接受ALK-TKI治疗前(原发性)和治疗后(继发性)进行融合变异亚型分析以及c-MET、表皮生长因子受体(EGFR)、人表皮生长因子受体2(HER2)和人表皮生长因子受体3(HER3)的免疫染色。我们研究了它们的表达与生存结果之间的关联,并评估了在HER3特异性配体HRG1刺激的ALK阳性NSCLC细胞系中联合使用ALK和EGFR抑制剂的有效性。

结果

原发性肿瘤中c-MET、EGFR、HER2和HER3的高表达率分别为4.9%、18.0%、1.6%和25.8%,继发性肿瘤中分别为18.5%、37.0%、10.7%和35.7%。原发性肿瘤中HER3过表达显示生存较差(P=0.132)。在1/2型(V1/V2)亚组中,原发性和继发性肿瘤中HER3过表达均与较差的生存显著相关(分别为P=0.022和P=0.004)。洛拉替尼和厄洛替尼联合治疗显著降低了HRG1诱导的ALK阳性NSCLC细胞中酪氨酸激酶受体(RTK)信号的激活。

结论

HER3过表达在ALK阳性NSCLC中具有作为预后标志物的潜力,包括未接受过ALK-TKI治疗和已接受治疗的病例,尤其是那些V1/V2型患者。评估HER3表达对于这些患者的治疗规划和结果预测可能至关重要。

https://cdn.ncbi.nlm.nih.gov/pmc/blobs/bd18/10938092/5733434e568d/tlcr-13-02-321-f1.jpg

文献AI研究员

20分钟写一篇综述,助力文献阅读效率提升50倍。

立即体验

用中文搜PubMed

大模型驱动的PubMed中文搜索引擎

马上搜索

文档翻译

学术文献翻译模型,支持多种主流文档格式。

立即体验