Suppr超能文献

恶性外间充质瘤诊断中的综合形态学与分子学方法:1例新的儿科病例报告及文献综述

An integrative morpho-molecular approach in malignant ectomesenchymoma diagnosis: report of a new paediatric case and a review of the literature.

作者信息

Pellegrino Francesco, Tirtei Elisa, Divincenzo Federico, Campello Anna, Rubino Carlotta, Augustoni Elisabetta, Linari Alessandra, Asaftei Sebastian Dorin, Fagioli Franca

机构信息

Department of Pediatric and Public Health Sciences, Postgraduate School of Pediatrics, Regina Margherita Children Hospital, University of Turin, Turin, Italy.

Department of Public Health and Paediatrics, University of Turin, Turin, Italy.

出版信息

Front Oncol. 2024 Mar 1;14:1320541. doi: 10.3389/fonc.2024.1320541. eCollection 2024.

Abstract

INTRODUCTION

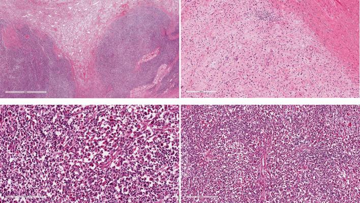
Malignant ectomesenchymoma (MEM) is a soft tissue tumour, consisting of both malignant neuroectodermal elements and one or more mesenchymal elements.

CASE PRESENTATION AND REVIEW OF THE LITERATURE

Here we describe the case of a 6-months-old male, previously treated in another hospital for abdominal rhabdomyosarcoma (RMS). Histological re-examination demonstrated that the tumour had mesenchymal and neuroectodermal elements components, with a new diagnosis of abdominal-pelvic MEM. A Next-Generation Sequencing (NGS) analysis was performed on a surgical tumour specimen and revealed the presence of a somatic mutation, already reported in MEM cases. We carried out a review of the literature and we found 33 new cases of MEM since the last review. We reported the clinic-pathologic features of new cases of MEM, highlighting the role of molecular studies in supporting the diagnosis of this ambiguous tumours.

CONCLUSION

We promote the importance of a diagnosis based on an integrative morpho-molecular approach, that routinely include molecular analysis and the use of bioinformatic mutation detection tools, to support diagnostic and therapeutical queries and to highlight tumour biology and behaviour.

摘要

引言

恶性外胚层间叶瘤(MEM)是一种软组织肿瘤,由恶性神经外胚层成分和一种或多种间叶成分组成。

病例报告及文献综述

在此,我们描述了一名6个月大男性的病例,该患儿此前在另一家医院接受过腹部横纹肌肉瘤(RMS)治疗。组织学重新检查显示肿瘤具有间叶和神经外胚层成分,新诊断为腹盆腔MEM。对手术切除的肿瘤标本进行了二代测序(NGS)分析,发现了一个体细胞突变,该突变已在MEM病例中报道过。我们对文献进行了综述,自上次综述以来发现了33例新的MEM病例。我们报告了新的MEM病例的临床病理特征,强调了分子研究在支持诊断这种诊断不明确肿瘤中的作用。

结论

我们强调基于综合形态学-分子学方法进行诊断的重要性,该方法通常包括分子分析和使用生物信息学突变检测工具,以支持诊断和治疗问题,并突出肿瘤生物学和行为特征。

https://cdn.ncbi.nlm.nih.gov/pmc/blobs/c811/10940369/c5c6d9314008/fonc-14-1320541-g001.jpg

相似文献

3
More Than Meets the Eye? A Cautionary Tale of Malignant Ectomesenchymoma Treated as Low-risk Orbital Rhabdomyosarcoma.
J Pediatr Hematol Oncol. 2021 Aug 1;43(6):e854-e858. doi: 10.1097/MPH.0000000000001901.
4
Disseminated malignant ectomesenchymoma (MEM): case report and review of the literature.
Pediatr Hematol Oncol. 2002 Jan-Feb;19(1):9-17. doi: 10.1080/088800102753356149.
6
Malignant ectomesenchymoma in children and adolescents: report from the Cooperative Weichteilsarkom Studiengruppe (CWS).
Pediatr Blood Cancer. 2013 Feb;60(2):224-9. doi: 10.1002/pbc.24174. Epub 2012 Apr 25.
7
Malignant Ectomesenchymoma: Series Analysis of a Histologically and Genetically Heterogeneous Tumor.
Int J Surg Pathol. 2018 May;26(3):200-212. doi: 10.1177/1066896917734915. Epub 2017 Oct 10.
8
Primary malignant ectomesenchymoma of the orbit.
Br J Ophthalmol. 1992 Jul;76(7):438-41. doi: 10.1136/bjo.76.7.438.
9
10
Ectomesenchymoma: case report and review of the literature.
Turk J Pediatr. 2004 Jan-Mar;46(1):82-7.

引用本文的文献

1
Congenital Malignant Ectomesenchymoma Presenting as a Neck Mass in a Newborn.
Children (Basel). 2025 Apr 8;12(4):480. doi: 10.3390/children12040480.

本文引用的文献

2
Malignant ectomesenchymoma in children: The European pediatric Soft tissue sarcoma Study Group experience.
Pediatr Blood Cancer. 2023 Feb;70(2):e30116. doi: 10.1002/pbc.30116. Epub 2022 Nov 28.
3
Teratoma With Malignant Ectomesenchymoma in the Pineal Region: A Case Report.
Cureus. 2022 Aug 5;14(8):e27711. doi: 10.7759/cureus.27711. eCollection 2022 Aug.
4
Infant malignant ectomesenchymoma masquerading as inguinal hernia in two patients.
Pediatr Neonatol. 2021 May;62(3):324-326. doi: 10.1016/j.pedneo.2021.01.003. Epub 2021 Jan 23.
5
Primary uterine ectomesenchymoma harboring a DICER1 mutation: case report with molecular analysis.
Virchows Arch. 2021 Aug;479(2):419-424. doi: 10.1007/s00428-021-03057-x. Epub 2021 Feb 17.
6
The 2020 WHO Classification of Tumors of Soft Tissue: Selected Changes and New Entities.
Adv Anat Pathol. 2021 Jan;28(1):44-58. doi: 10.1097/PAP.0000000000000284.
7
More Than Meets the Eye? A Cautionary Tale of Malignant Ectomesenchymoma Treated as Low-risk Orbital Rhabdomyosarcoma.
J Pediatr Hematol Oncol. 2021 Aug 1;43(6):e854-e858. doi: 10.1097/MPH.0000000000001901.
8
The pathology of soft tissue sarcomas.
Radiol Med. 2019 Apr;124(4):266-281. doi: 10.1007/s11547-018-0882-7. Epub 2018 Jun 12.
10
Malignant Ectomesenchymoma: Series Analysis of a Histologically and Genetically Heterogeneous Tumor.
Int J Surg Pathol. 2018 May;26(3):200-212. doi: 10.1177/1066896917734915. Epub 2017 Oct 10.

文献AI研究员

20分钟写一篇综述,助力文献阅读效率提升50倍。

立即体验

用中文搜PubMed

大模型驱动的PubMed中文搜索引擎

马上搜索

文档翻译

学术文献翻译模型,支持多种主流文档格式。

立即体验