Nakaya Yuka, Hayashi Koji, Suzuki Asuka, Matsuyama Takumi, Sato Mamiko, Kobayashi Yasutaka
Department of Rehabilitation Medicine, Fukui General Hospital, Fukui, JPN.
Graduate School of Health Science, Fukui Health Science University, Fukui, JPN.
Cureus. 2024 Feb 18;16(2):e54390. doi: 10.7759/cureus.54390. eCollection 2024 Feb.
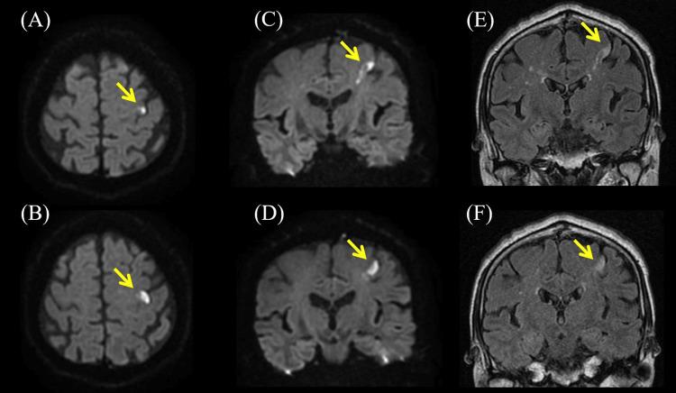
There are various causes of unilateral finger palsy. Its potential etiologies include peripheral neuropathy, carpal tunnel syndrome, and nerve root disorder due to myelopathy. In addition to them, similar paralysis has been reported in localized lesions of the cerebrum, classically referred to as pseudoperipheral palsy. In this report, we describe a case of an 80-year-old man who developed sudden clumsiness of the right fingers. Neurological examination showed muscle weakness mainly in the 1st and 2nd fingers (Medical Research Council grade 1-4) and normal reflexes in the extremities. The affected muscles were innervated by the median nerve, ulnar nerve, and radial nerve, and their nerve root levels ranged from C6 to T1. All the Phalen's, Tinel's, and flick signs were negative. Diffusion-weighted brain magnetic resonance imaging showed hyperintensity limited in the precentral knob on the left precentral gyrus. The etiology was diagnosed as cardiogenic embolism due to atrial fibrillation. In this report, we provide key findings for diagnosing pure motor isolated finger palsy by cerebral infarction through neurological examination.
单侧手指麻痹有多种病因。其潜在病因包括周围神经病变、腕管综合征以及脊髓病导致的神经根疾病。除此之外,在大脑局部病变中也有类似麻痹的报道,经典地称为假性周围性麻痹。在本报告中,我们描述了一例80岁男性突发右手手指笨拙的病例。神经学检查显示主要是示指和拇指肌肉无力(医学研究委员会分级1 - 4级),四肢反射正常。受累肌肉由正中神经、尺神经和桡神经支配,其神经根水平从C6到T1。所有的Phalen试验、Tinel征和弹拨征均为阴性。扩散加权脑磁共振成像显示高信号局限于左侧中央前回中央前结节。病因诊断为心房颤动所致的心源性栓塞。在本报告中,我们通过神经学检查提供了诊断脑梗死所致纯运动性孤立手指麻痹的关键发现。