• 文献检索
  • 文档翻译
  • 深度研究
  • 学术资讯
  • Suppr Zotero 插件Zotero 插件
  • 邀请有礼
  • 套餐&价格
  • 历史记录
应用&插件
Suppr Zotero 插件Zotero 插件浏览器插件Mac 客户端Windows 客户端微信小程序
定价
高级版会员购买积分包购买API积分包
服务
文献检索文档翻译深度研究API 文档MCP 服务
关于我们
关于 Suppr公司介绍联系我们用户协议隐私条款
关注我们

Suppr 超能文献

核心技术专利:CN118964589B侵权必究
粤ICP备2023148730 号-1Suppr @ 2026

文献检索

告别复杂PubMed语法,用中文像聊天一样搜索,搜遍4000万医学文献。AI智能推荐,让科研检索更轻松。

立即免费搜索

文件翻译

保留排版,准确专业,支持PDF/Word/PPT等文件格式,支持 12+语言互译。

免费翻译文档

深度研究

AI帮你快速写综述,25分钟生成高质量综述,智能提取关键信息,辅助科研写作。

立即免费体验

SCF-FBW7β E3 连接酶介导丝氨酸/苏氨酸蛋白激酶PINK1的泛素化和降解。

The SCF-FBW7β E3 ligase mediates ubiquitination and degradation of the serine/threonine protein kinase PINK1.

作者信息

Jeon Seo Jeong, Chung Kwang Chul

机构信息

Department of Systems Biology, College of Life Science and Biotechnology, Yonsei University, Seoul, South Korea.

Department of Systems Biology, College of Life Science and Biotechnology, Yonsei University, Seoul, South Korea.

出版信息

J Biol Chem. 2024 Apr;300(4):107198. doi: 10.1016/j.jbc.2024.107198. Epub 2024 Mar 18.

DOI:10.1016/j.jbc.2024.107198
PMID:38508312
原文链接:https://pmc.ncbi.nlm.nih.gov/articles/PMC11026729/
Abstract

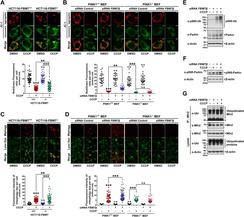
Understanding the mechanisms that govern the stability of functionally crucial proteins is essential for various cellular processes, development, and overall cell viability. Disturbances in protein homeostasis are linked to the pathogenesis of neurodegenerative diseases. PTEN-induced kinase 1 (PINK1), a protein kinase, plays a significant role in mitochondrial quality control and cellular stress response, and its mutated forms lead to early-onset Parkinson's disease. Despite its importance, the specific mechanisms regulating PINK1 protein stability have remained unclear. This study reveals a cytoplasmic interaction between PINK1 and F-box and WD repeat domain-containing 7β (FBW7β) in mammalian cells. FBW7β, a component of the Skp1-Cullin-1-F-box protein complex-type ubiquitin ligase, is instrumental in recognizing substrates. Our findings demonstrate that FBW7β regulates PINK1 stability through the Skp1-Cullin-1-F-box protein complex and the proteasome pathway. It facilitates the K48-linked polyubiquitination of PINK1, marking it for degradation. When FBW7 is absent, PINK1 accumulates, leading to heightened mitophagy triggered by carbonyl cyanide 3-chlorophenylhydrazone treatment. Moreover, exposure to the toxic compound staurosporine accelerates PINK1 degradation via FBW7β, correlating with increased cell death. This study unravels the intricate mechanisms controlling PINK1 protein stability and sheds light on the novel role of FBW7β. These findings deepen our understanding of PINK1-related pathologies and potentially pave the way for therapeutic interventions.

摘要

了解调控功能关键蛋白稳定性的机制对于各种细胞过程、发育及整体细胞活力至关重要。蛋白质稳态的紊乱与神经退行性疾病的发病机制相关。PTEN诱导激酶1(PINK1)是一种蛋白激酶,在线粒体质量控制和细胞应激反应中发挥重要作用,其突变形式会导致早发性帕金森病。尽管其很重要,但调节PINK1蛋白稳定性的具体机制仍不清楚。本研究揭示了哺乳动物细胞中PINK1与含F盒和WD重复结构域7β(FBW7β)之间的细胞质相互作用。FBW7β是Skp1-Cullin-1-F盒蛋白复合物型泛素连接酶的一个组成部分,有助于识别底物。我们的研究结果表明,FBW7β通过Skp1-Cullin-1-F盒蛋白复合物和蛋白酶体途径调节PINK1的稳定性。它促进PINK1的K48连接的多聚泛素化,使其被标记降解。当缺乏FBW7时,PINK1会积累,导致羰基氰3-氯苯腙处理引发的线粒体自噬增强。此外,暴露于有毒化合物星形孢菌素会通过FBW7β加速PINK1的降解,这与细胞死亡增加相关。本研究揭示了控制PINK1蛋白稳定性的复杂机制,并阐明了FBW7β的新作用。这些发现加深了我们对PINK1相关病理学的理解,并可能为治疗干预铺平道路。

https://cdn.ncbi.nlm.nih.gov/pmc/blobs/4f3c/11026729/06da099aca1d/gr8.jpg
https://cdn.ncbi.nlm.nih.gov/pmc/blobs/4f3c/11026729/a49edb76c5c5/gr1.jpg
https://cdn.ncbi.nlm.nih.gov/pmc/blobs/4f3c/11026729/8a7957ce666b/gr2.jpg
https://cdn.ncbi.nlm.nih.gov/pmc/blobs/4f3c/11026729/dc4b32865900/gr3.jpg
https://cdn.ncbi.nlm.nih.gov/pmc/blobs/4f3c/11026729/9ea898c778af/gr4.jpg
https://cdn.ncbi.nlm.nih.gov/pmc/blobs/4f3c/11026729/d5ec2ec9f41b/gr5.jpg
https://cdn.ncbi.nlm.nih.gov/pmc/blobs/4f3c/11026729/1796fef79e24/gr6.jpg
https://cdn.ncbi.nlm.nih.gov/pmc/blobs/4f3c/11026729/12a00e619d39/gr7.jpg
https://cdn.ncbi.nlm.nih.gov/pmc/blobs/4f3c/11026729/06da099aca1d/gr8.jpg
https://cdn.ncbi.nlm.nih.gov/pmc/blobs/4f3c/11026729/a49edb76c5c5/gr1.jpg
https://cdn.ncbi.nlm.nih.gov/pmc/blobs/4f3c/11026729/8a7957ce666b/gr2.jpg
https://cdn.ncbi.nlm.nih.gov/pmc/blobs/4f3c/11026729/dc4b32865900/gr3.jpg
https://cdn.ncbi.nlm.nih.gov/pmc/blobs/4f3c/11026729/9ea898c778af/gr4.jpg
https://cdn.ncbi.nlm.nih.gov/pmc/blobs/4f3c/11026729/d5ec2ec9f41b/gr5.jpg
https://cdn.ncbi.nlm.nih.gov/pmc/blobs/4f3c/11026729/1796fef79e24/gr6.jpg
https://cdn.ncbi.nlm.nih.gov/pmc/blobs/4f3c/11026729/12a00e619d39/gr7.jpg
https://cdn.ncbi.nlm.nih.gov/pmc/blobs/4f3c/11026729/06da099aca1d/gr8.jpg

相似文献

1
The SCF-FBW7β E3 ligase mediates ubiquitination and degradation of the serine/threonine protein kinase PINK1.SCF-FBW7β E3 连接酶介导丝氨酸/苏氨酸蛋白激酶PINK1的泛素化和降解。
J Biol Chem. 2024 Apr;300(4):107198. doi: 10.1016/j.jbc.2024.107198. Epub 2024 Mar 18.
2
Isoform-specific SCF(Fbw7) ubiquitination mediates differential regulation of PGC-1α.亚型特异性SCF(Fbw7)泛素化介导PGC-1α的差异调节。
J Cell Physiol. 2015 Apr;230(4):842-52. doi: 10.1002/jcp.24812.
3
The ubiquitin E3 ligase CHIP promotes proteasomal degradation of the serine/threonine protein kinase PINK1 during staurosporine-induced cell death.泛素 E3 连接酶 CHIP 在 staurosporine 诱导的细胞死亡过程中促进丝氨酸/苏氨酸蛋白激酶 PINK1 的蛋白酶体降解。
J Biol Chem. 2018 Jan 26;293(4):1286-1297. doi: 10.1074/jbc.M117.803890. Epub 2017 Dec 14.
4
Stringent Control of NFE2L3 (Nuclear Factor, Erythroid 2-Like 3; NRF3) Protein Degradation by FBW7 (F-box/WD Repeat-containing Protein 7) and Glycogen Synthase Kinase 3 (GSK3).FBW7(含F盒/ WD重复序列蛋白7)和糖原合酶激酶3(GSK3)对NFE2L3(核因子,红细胞2样3;NRF3)蛋白降解的严格控制
J Biol Chem. 2015 Oct 23;290(43):26292-302. doi: 10.1074/jbc.M115.666446. Epub 2015 Aug 25.
5
FBW7 regulates DNA interstrand cross-link repair by modulating FAAP20 degradation.FBW7通过调节FAAP20的降解来调控DNA链间交联修复。
Oncotarget. 2016 Jun 14;7(24):35724-35740. doi: 10.18632/oncotarget.9595.
6
The E3 ubiquitin ligase SCF(Fbxo7) mediates proteasomal degradation of UXT isoform 2 (UXT-V2) to inhibit the NF-κB signaling pathway.E3 泛素连接酶 SCF(Fbxo7)介导 UXT 同工型 2(UXT-V2)的蛋白酶体降解,以抑制 NF-κB 信号通路。
Biochim Biophys Acta Gen Subj. 2021 Jan;1865(1):129754. doi: 10.1016/j.bbagen.2020.129754. Epub 2020 Sep 30.
7
Regulation of GATA-binding protein 2 levels via ubiquitin-dependent degradation by Fbw7: involvement of cyclin B-cyclin-dependent kinase 1-mediated phosphorylation of THR176 in GATA-binding protein 2.Fbw7通过泛素依赖性降解对GATA结合蛋白2水平的调控:细胞周期蛋白B-细胞周期蛋白依赖性激酶1介导的GATA结合蛋白2中苏氨酸176磷酸化的参与
J Biol Chem. 2015 Apr 17;290(16):10368-81. doi: 10.1074/jbc.M114.613018. Epub 2015 Feb 10.
8
Beyond ubiquitination: the atypical functions of Fbxo7 and other F-box proteins.超越泛素化:Fbxo7 和其他 F -box 蛋白的非典型功能。
Open Biol. 2013 Oct 9;3(10):130131. doi: 10.1098/rsob.130131.
9
Parkin-dependent degradation of the F-box protein Fbw7β promotes neuronal survival in response to oxidative stress by stabilizing Mcl-1.Parkin 依赖性降解 F-box 蛋白 Fbw7β 通过稳定 Mcl-1 促进神经元对氧化应激的存活。
Mol Cell Biol. 2013 Sep;33(18):3627-43. doi: 10.1128/MCB.00535-13. Epub 2013 Jul 15.
10
Proteasomal degradation of the tumour suppressor FBW7 requires branched ubiquitylation by TRIP12.肿瘤抑制因子 FBW7 的蛋白酶体降解需要 TRIP12 介导的分支泛素化。
Nat Commun. 2021 Apr 6;12(1):2043. doi: 10.1038/s41467-021-22319-5.

引用本文的文献

1
USP14 inhibits mitophagy and promotes tumorigenesis and chemosensitivity through deubiquitinating BAG4 in microsatellite instability-high colorectal cancer.在微卫星高度不稳定的结直肠癌中,USP14通过去泛素化BAG4抑制线粒体自噬,促进肿瘤发生和化疗敏感性。
Mol Med. 2025 May 2;31(1):163. doi: 10.1186/s10020-025-01182-w.
2
CUL1 exacerbates glucocorticoid-induced osteoporosis by enhancing ASAP1 ubiquitination.CUL1通过增强ASAP1泛素化加重糖皮质激素诱导的骨质疏松症。
Hormones (Athens). 2025 Mar;24(1):259-274. doi: 10.1007/s42000-024-00599-y. Epub 2024 Sep 17.