Institute of Insect Sciences, Ministry of Agriculture Key Lab of Molecular Biology of Crop Pathogens and Insect Pests, Zhejiang University, Hangzhou, China.
Key Laboratory of Biology of Crop Pathogens and Insects of Zhejiang Province, Zhejiang University, Hangzhou, China.
PLoS Biol. 2024 Mar 21;22(3):e3002515. doi: 10.1371/journal.pbio.3002515. eCollection 2024 Mar.
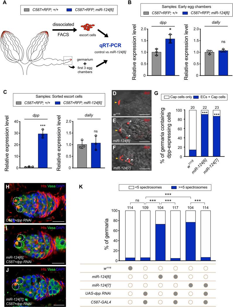
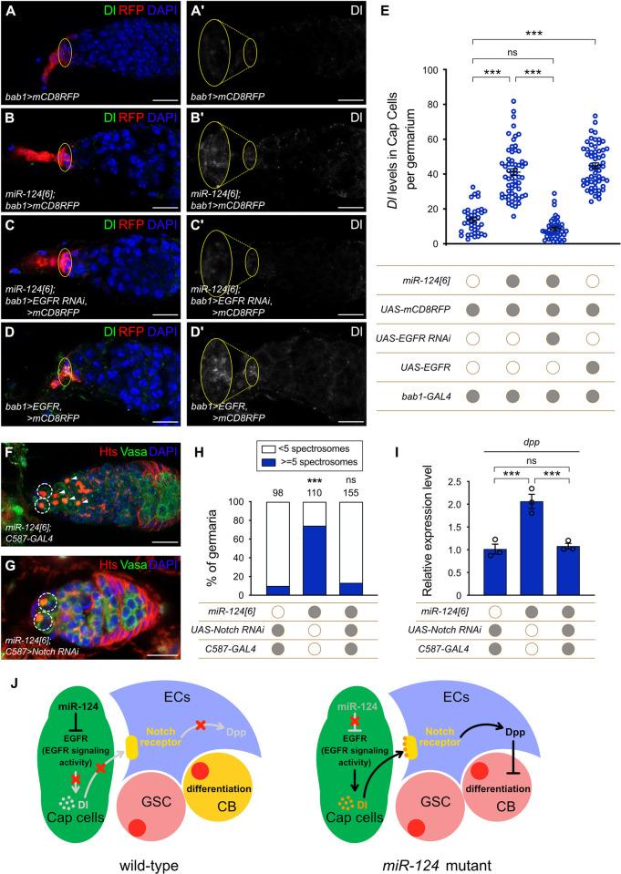
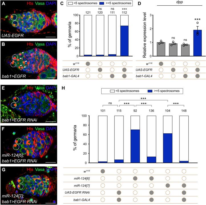
The signaling environment, or niche, often governs the initial difference in behavior of an adult stem cell and a derivative that initiates a path towards differentiation. The transition between an instructive stem cell niche and differentiation niche must generally have single-cell resolution, suggesting that multiple mechanisms might be necessary to sharpen the transition. Here, we examined the Drosophila ovary and found that Cap cells, which are key constituents of the germline stem cell (GSC) niche, express a conserved microRNA (miR-124). Surprisingly, loss of miR-124 activity in Cap cells leads to a defect in differentiation of GSC derivatives. We present evidence that the direct functional target of miR-124 in Cap cells is the epidermal growth factor receptor (EGFR) and that failure to limit EGFR expression leads to the ectopic expression of a key anti-differentiation BMP signal in neighboring somatic escort cells (ECs), which constitute a differentiation niche. We further found that Notch signaling connects EFGR activity in Cap cells to BMP expression in ECs. We deduce that the stem cell niche communicates with the differentiation niche through a mechanism that begins with the selective expression of a specific microRNA and culminates in the suppression of the major anti-differentiation signal in neighboring cells, with the functionally important overall role of sharpening the spatial distinction between self-renewal and differentiation environments.
信号环境(niche)通常决定成年干细胞初始行为的差异,以及启动分化途径的衍生细胞。从具有指导作用的干细胞生态位到分化生态位的转变通常必须具有单细胞分辨率,这表明可能需要多种机制来锐化这种转变。在这里,我们研究了果蝇的卵巢,发现生殖干细胞(GSC)生态位的关键组成部分——帽细胞(Cap cells)表达一种保守的 microRNA(miR-124)。令人惊讶的是,Cap 细胞中 miR-124 活性的丧失导致 GSC 衍生细胞的分化缺陷。我们提供的证据表明,Cap 细胞中 miR-124 的直接功能靶标是表皮生长因子受体(EGFR),并且无法限制 EGFR 表达会导致邻近的体细胞护卫细胞(EC)中关键抗分化 BMP 信号的异位表达,而这些细胞构成了分化生态位。我们进一步发现,Notch 信号将 Cap 细胞中的 EGFR 活性与 EC 中的 BMP 表达联系起来。我们推断,干细胞生态位通过一种机制与分化生态位进行通信,该机制始于特定 microRNA 的选择性表达,并最终导致相邻细胞中主要抗分化信号的抑制,从而实现自我更新和分化环境之间空间区分的功能重要性。