• 文献检索
  • 文档翻译
  • 深度研究
  • 学术资讯
  • Suppr Zotero 插件Zotero 插件
  • 邀请有礼
  • 套餐&价格
  • 历史记录
应用&插件
Suppr Zotero 插件Zotero 插件浏览器插件Mac 客户端Windows 客户端微信小程序
定价
高级版会员购买积分包购买API积分包
服务
文献检索文档翻译深度研究API 文档MCP 服务
关于我们
关于 Suppr公司介绍联系我们用户协议隐私条款
关注我们

Suppr 超能文献

核心技术专利:CN118964589B侵权必究
粤ICP备2023148730 号-1Suppr @ 2026

文献检索

告别复杂PubMed语法,用中文像聊天一样搜索,搜遍4000万医学文献。AI智能推荐,让科研检索更轻松。

立即免费搜索

文件翻译

保留排版,准确专业,支持PDF/Word/PPT等文件格式,支持 12+语言互译。

免费翻译文档

深度研究

AI帮你快速写综述,25分钟生成高质量综述,智能提取关键信息,辅助科研写作。

立即免费体验

准分子激光原位角膜磨镶术后角膜异物:诊断、处理、结果及文献综述

Corneal foreign body post laser in-situ keratomileusis: Diagnosis, management, outcome and review of literature.

作者信息

Bhargava Mona, Bhambhani Varsha, Sen Ahana, Johri Aditi

机构信息

Department of Cornea, Aditya Birla Sankara Nethralaya, 147/1 E M Bypass Road, Kolkata, 700099, India.

Aditya Birla Sankara Nethralaya, 147/1 E M Bypass Road, Kolkata, 700099, India.

出版信息

Am J Ophthalmol Case Rep. 2024 Mar 14;34:102038. doi: 10.1016/j.ajoc.2024.102038. eCollection 2024 Jun.

DOI:10.1016/j.ajoc.2024.102038
PMID:38532848
原文链接:https://pmc.ncbi.nlm.nih.gov/articles/PMC10963190/
Abstract

PURPOSE

To report a case of metallic corneal foreign-body (CFB) penetrating the Laser in situ keratomileusis (LASIK) flap and its successful outcome. To highlight usefulness of Anterior Segment Optical Coherence Tomography (ASOCT) in diagnosis and management of post-LASIK CFB. To enumerate other similar cases published in literature.

METHOD

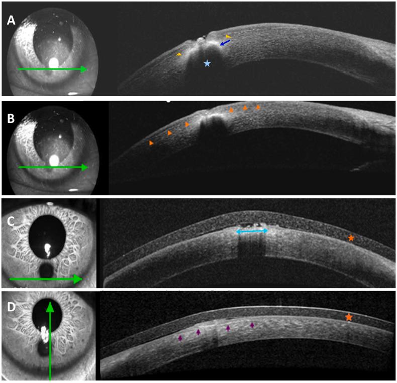
A 30-year-old male presented to the emergency department of a tertiary eye care centre with a metallic CFB. He had undergone uneventful LASIK elsewhere 4-years back. He was unaware of any trauma. CFB removal was attempted elsewhere but abandoned as CFB appeared deeply embedded. ASOCT showed CFB had penetrated LASIK flap and lodged into midstroma, 207 μm deep. CFB was successfully removed in operation theatre along with the application of cyanoacrylate glue and bandage contact lens. A review of literature for CFB in post-LASIK patients was done through PubMed search.

RESULT

Postoperative course was uncomplicated and there was a follow up period of 4 months. Vision improved to unaided 20/20 and N/6 from preoperative 20/60 and N/10. Review of literature of 24 patients showed Post-LASIK FB was more common in males (79%). None of the patients except for one had protective eye-wear. Metallic FB was most common followed by organic FB. Flap complications were present in seven patients. Diffuse lamellar keratitis (DLK) and epithelial ingrowth were the most common post-FB removal complications occurring in six (25%) and four (16.6%) patients respectively.

CONCLUSION

Post-LASIK patients with CFB need to be inspected for flap related complications. CFB can be successfully removed, although DLK, epithelial ingrowth, microbial keratitis, astigmatism, can occur post-CFB removal. ASOCT can delineate CFB and flap related details and thus is an additional useful imaging tool in such scenarios.

摘要

目的

报告一例金属性角膜异物(CFB)穿透准分子原位角膜磨镶术(LASIK)瓣并取得成功治疗结果的病例。强调眼前节光学相干断层扫描(ASOCT)在LASIK术后CFB诊断和处理中的作用。列举文献中报道的其他类似病例。

方法

一名30岁男性因金属性CFB就诊于一家三级眼科护理中心的急诊科。他4年前在其他地方接受了顺利的LASIK手术。他不知道有任何外伤史。在其他地方尝试取出CFB,但因CFB似乎深深嵌入而放弃。ASOCT显示CFB穿透了LASIK瓣并嵌入基质中层,深度为207μm。在手术室成功取出CFB,并应用了氰基丙烯酸酯胶水和绷带式隐形眼镜。通过PubMed搜索对LASIK术后患者CFB的文献进行了回顾。

结果

术后过程无并发症,随访期为4个月。视力从术前的20/60和N/10提高到术后裸眼20/20和N/6。对24例患者的文献回顾显示,LASIK术后异物在男性中更常见(79%)。除1例患者外,其他患者均未佩戴防护眼镜。金属性异物最常见,其次是有机异物。7例患者出现瓣相关并发症。弥漫性板层角膜炎(DLK)和上皮植入是异物取出后最常见的并发症,分别发生在6例(25%)和4例(16.6%)患者中。

结论

LASIK术后出现CFB的患者需要检查是否有瓣相关并发症。CFB可以成功取出,尽管在CFB取出后可能会发生DLK、上皮植入、微生物性角膜炎、散光。ASOCT可以描绘CFB和瓣相关细节,因此在这种情况下是一种额外有用的成像工具。

https://cdn.ncbi.nlm.nih.gov/pmc/blobs/0cec/10963190/65c2e6742ca6/gr2.jpg
https://cdn.ncbi.nlm.nih.gov/pmc/blobs/0cec/10963190/48bc59426e4e/gr1.jpg
https://cdn.ncbi.nlm.nih.gov/pmc/blobs/0cec/10963190/65c2e6742ca6/gr2.jpg
https://cdn.ncbi.nlm.nih.gov/pmc/blobs/0cec/10963190/48bc59426e4e/gr1.jpg
https://cdn.ncbi.nlm.nih.gov/pmc/blobs/0cec/10963190/65c2e6742ca6/gr2.jpg

相似文献

1
Corneal foreign body post laser in-situ keratomileusis: Diagnosis, management, outcome and review of literature.准分子激光原位角膜磨镶术后角膜异物:诊断、处理、结果及文献综述
Am J Ophthalmol Case Rep. 2024 Mar 14;34:102038. doi: 10.1016/j.ajoc.2024.102038. eCollection 2024 Jun.
2
Case Report: Penetrating Corneal Injury Under an Intact Laser-assisted in Situ Keratomileusis Flap.病例报告:在完整的准分子激光原位角膜磨镶术瓣下的穿透性角膜损伤
Optom Vis Sci. 2018 Nov;95(11):1083-1086. doi: 10.1097/OPX.0000000000001297.
3
Flap amputation with phototherapeutic keratectomy (PTK) and adjuvant mitomycin C for severe post-LASIK epithelial ingrowth.采用光动力角膜切削术(PTK)联合辅助丝裂霉素C进行瓣切除术治疗严重的准分子激光原位角膜磨镶术(LASIK)后上皮内生。
Eur J Ophthalmol. 2009 Mar-Apr;19(2):301-3. doi: 10.1177/112067210901900223.
4
Late-onset traumatic dislocation of laser in situ keratomileusis corneal flaps: a case series with many clinical lessons.准分子原位角膜磨镶术角膜瓣迟发性外伤性脱位:一个包含诸多临床经验教训的病例系列
Int Ophthalmol. 2019 Jun;39(6):1397-1403. doi: 10.1007/s10792-018-0946-7. Epub 2018 May 12.
5
Corneal laceration and intraocular foreign body in a post-LASIK eye.准分子激光原位角膜磨镶术(LASIK)术后眼的角膜裂伤和眼内异物
Cornea. 2002 Mar;21(2):234-6. doi: 10.1097/00003226-200203000-00025.
6
Traumatic laser in situ keratomileusis flap dislocation with epithelial ingrowth, Propionibacterium acnes infection, and diffuse lamellar keratitis: A case report.伴有上皮内生、痤疮丙酸杆菌感染及弥漫性板层角膜炎的创伤性准分子原位角膜磨镶术瓣脱位:1例报告
Medicine (Baltimore). 2020 Mar;99(10):e19257. doi: 10.1097/MD.0000000000019257.
7
Late-onset diffuse lamellar keratitis following laser in situ keratomileusis.激光原位角膜磨镶术后迟发性弥漫性层状角膜炎。
Can J Ophthalmol. 2019 Feb;54(1):125-129. doi: 10.1016/j.jcjo.2018.02.028. Epub 2018 Mar 30.
8
Keratocyte activation and inflammation in diffuse lamellar keratitis after formation of an epithelial defect.上皮缺损形成后弥漫性板层角膜炎中的角膜细胞活化与炎症
J Cataract Refract Surg. 2004 Feb;30(2):341-9. doi: 10.1016/j.jcrs.2003.09.057.
9
Traumatic corneal flap displacement after laser in situ keratomileusis (LASIK).准分子原位角膜磨镶术(LASIK)后创伤性角膜瓣移位
Int Med Case Rep J. 2017 Apr 19;10:143-148. doi: 10.2147/IMCRJ.S128637. eCollection 2017.
10
Risk Factors for Sporadic Diffuse Lamellar Keratitis After Microkeratome Laser-Assisted In Situ Keratomileusis: A Retrospective Large Database Analysis.微型角膜刀准分子原位角膜磨镶术后散发性弥漫性层间角膜炎的危险因素:一项回顾性大数据库分析
Cornea. 2018 Sep;37(9):1124-1129. doi: 10.1097/ICO.0000000000001674.

引用本文的文献

1
Delayed-onset diffuse lamellar keratitis due to retained SMILE lenticule: A case report and literature review.因残留的小切口基质透镜切除术(SMILE)透镜引起的迟发性弥漫性板层角膜炎:一例报告及文献综述
Medicine (Baltimore). 2025 Apr 18;104(16):e42095. doi: 10.1097/MD.0000000000042095.

本文引用的文献

1
Anterior segment optical coherence tomography characteristics and management of a unique spectrum of foreign bodies in the cornea and anterior chamber.眼前节光学相干断层扫描特征及角膜和前房内独特异物谱的处理。
Indian J Ophthalmol. 2022 Dec;70(12):4284-4292. doi: 10.4103/ijo.IJO_878_22.
2
Flap Thickness and the Risk of Complications in Mechanical Microkeratome and Femtosecond Laser In Situ Keratomileusis: A Literature Review and Statistical Analysis.机械微型角膜刀和飞秒激光原位角膜磨镶术中瓣厚度与并发症风险:文献综述与统计分析
Diagnostics (Basel). 2021 Aug 31;11(9):1588. doi: 10.3390/diagnostics11091588.
3
The 25th Anniversary of Laser Vision Correction in the United States.
美国激光视力矫正25周年。
Clin Ophthalmol. 2021 Mar 17;15:1163-1172. doi: 10.2147/OPTH.S299752. eCollection 2021.
4
Case Report: Penetrating Corneal Injury Under an Intact Laser-assisted in Situ Keratomileusis Flap.病例报告:在完整的准分子激光原位角膜磨镶术瓣下的穿透性角膜损伤
Optom Vis Sci. 2018 Nov;95(11):1083-1086. doi: 10.1097/OPX.0000000000001297.
5
A Surprise Guest-Insect Larva Under An Uncomplicated Laser-Assisted In Situ Keratomileusis Surgical Flap.
JAMA Ophthalmol. 2018 Sep 1;136(9):e183084. doi: 10.1001/jamaophthalmol.2018.3084. Epub 2018 Sep 13.
6
Epithelial ingrowth following laser in situ keratomileusis (LASIK): prevalence, risk factors, management and visual outcomes.准分子原位角膜磨镶术(LASIK)后上皮内生:发生率、危险因素、处理及视觉转归
BMJ Open Ophthalmol. 2018 Mar 29;3(1):e000133. doi: 10.1136/bmjophth-2017-000133. eCollection 2018.
7
Diffuse lamellar keratitis induced by a corneal foreign body six months after Femto-LASIK.
Klin Monbl Augenheilkd. 2014 Apr;231(4):307-8. doi: 10.1055/s-0034-1368275. Epub 2014 Apr 25.
8
Ocular trauma.
JAMA. 2012 Aug 15;308(7):710-1. doi: 10.1001/jama.2012.9348.
9
Spontaneous, uncomplicated dissolution of a large cotton fiber in the laser in situ keratomileusis interface.激光原位角膜磨镶术界面内一根大棉纤维的自发、非复杂性溶解。
Middle East Afr J Ophthalmol. 2012 Jul-Sep;19(3):343-5. doi: 10.4103/0974-9233.97960.
10
LASIK interface-captured foreign bodies after mild traumatic corneal scratch without flap displacement.轻度外伤性角膜擦伤后LASIK界面捕获异物且无瓣移位。
Korean J Ophthalmol. 2012 Jun;26(3):222-5. doi: 10.3341/kjo.2012.26.3.222. Epub 2012 May 22.