Suppr超能文献

俯卧位单孔电视辅助胸腔镜手术治疗食管支气管源性囊肿

Uniportal video-assisted thoracoscopic surgery in the prone position for esophageal bronchogenic cyst.

作者信息

Kim Yeon Soo

机构信息

Department of Thoracic and Cardiovascular Surgery, Inje University Ilsan Paik Hospital, 170 Juwha-ro, Ilsanseo-gu, Goyang-si, Gyeonggi-do 10380, South Korea.

出版信息

J Surg Case Rep. 2024 Mar 25;2024(3):rjae186. doi: 10.1093/jscr/rjae186. eCollection 2024 Mar.

Abstract

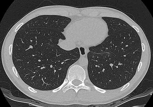
Esophageal bronchogenic cysts are very rare. A bronchogenic cyst is a congenital malformation resulting from abnormal sprouting of primitive bronchi because of a foregut bronchopulmonary malformation. An 18-year-old patient with a cystic tumor in the left posterior mediastinum was identified. The mediastinal tumor was removed by uniportal video-assisted thoracoscopic surgery. The operation was performed in the prone position through a single 4-cm incision on the lateral scapular line in the left ninth intercostal space. After tumor resection, the dissected esophageal muscle and mediastinal pleura were sutured with two continuous barbed sutures. The operation took 80 min. A biopsy confirmed the diagnosis of esophageal bronchial cyst. Diet was started on the evening of the operation. The chest tube was removed on the 1st postoperative day, and the patient was discharged without any problems on the 2nd postoperative day.

摘要

食管支气管囊肿非常罕见。支气管囊肿是一种先天性畸形,由于前肠支气管肺畸形导致原始支气管异常发芽所致。一名18岁的患者被发现左后纵隔有一个囊性肿瘤。通过单孔电视辅助胸腔镜手术切除纵隔肿瘤。手术在俯卧位进行,通过左侧第九肋间肩胛下线处一个4厘米的单一切口。肿瘤切除后,用两根连续倒刺缝线缝合切开的食管肌层和纵隔胸膜。手术耗时80分钟。活检确诊为食管支气管囊肿。术后当晚开始进食。术后第1天拔除胸管,患者术后第2天顺利出院。

https://cdn.ncbi.nlm.nih.gov/pmc/blobs/adbb/10963949/b80e1372aa8d/rjae186f1.jpg

文献AI研究员

20分钟写一篇综述,助力文献阅读效率提升50倍。

立即体验

用中文搜PubMed

大模型驱动的PubMed中文搜索引擎

马上搜索

文档翻译

学术文献翻译模型,支持多种主流文档格式。

立即体验