Suppr超能文献

一名跑酷运动员的罕见腕部损伤:经茎突、经舟骨、经三角骨的月骨周围脱位。

An unusual wrist injury in a parkour-athlete: Transstyloid, transscaphoid, transtriquetral perilunate dislocation.

作者信息

Kalinterakis Georgios, Tsitsifilla Chrysoula, Ampatzis Ioannis, Antonogiannakis Emmanouil, Karvountzis Athanasios, Mastrantonakis Konstantinos, Christodoulias Dimitrios

机构信息

Department of Orthopedics, Mediterraneo Hospital, Athens 16675, Greece.

First Department of Orthopedics, 401 General Military Hospital Of Athens, Athens 11525, Greece.

出版信息

Trauma Case Rep. 2024 Mar 21;51:100998. doi: 10.1016/j.tcr.2024.100998. eCollection 2024 Jun.

Abstract

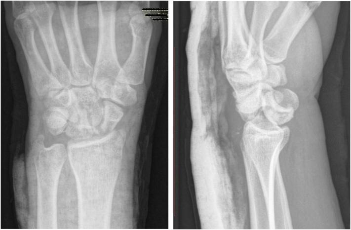
Perilunate dislocations are uncommon high energy injuries. The combination of fractures resulting in a trans-styloid, trans-scaphoid, and trans-triquetral perilunate fracture dislocation is extremely rare. We describe a 20 year old male who suffered this injury after a fall from height while parkouring. He underwent open reduction and internal fixation with ligamentous repair and carpal tunnel decompression. After 3 months, he was noted to have a radiographic evidence of scapholunate dissociation and he returned to the operative room for definitive fixation. Despite this complication, the final functional outcome 6 months after the second surgery was satisfying.

摘要

月骨周围脱位是少见的高能量损伤。导致经茎突、经舟骨和经三角骨的月骨周围骨折脱位的骨折组合极为罕见。我们描述了一名20岁男性,他在跑酷时从高处坠落而遭受了这种损伤。他接受了切开复位内固定、韧带修复和腕管减压术。3个月后,影像学检查发现他有舟月关节分离,于是他再次返回手术室进行确定性固定。尽管出现了这一并发症,但第二次手术后6个月的最终功能结果令人满意。

https://cdn.ncbi.nlm.nih.gov/pmc/blobs/e74d/10973642/a450b6b5eb8e/gr1.jpg

文献AI研究员

20分钟写一篇综述,助力文献阅读效率提升50倍。

立即体验

用中文搜PubMed

大模型驱动的PubMed中文搜索引擎

马上搜索

文档翻译

学术文献翻译模型,支持多种主流文档格式。

立即体验