Suppr超能文献

磁共振成像和正电子发射断层扫描术(PET)可见 Erdheim-Chester 病,而 X 线和 CT 隐匿。

Erdheim-Chester Disease Occult on Radiographs and CT but Visible on MRI and PET.

机构信息

Russell H. Morgan Department of Radiology and Radiological Science, Johns Hopkins University School of Medicine, Baltimore, MD, USA.

出版信息

Am J Case Rep. 2024 Mar 30;25:e941169. doi: 10.12659/AJCR.941169.

Abstract

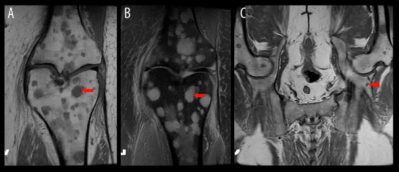
BACKGROUND Erdheim-Chester disease (ECD) is a rare neoplasm of histiocytes that is characterized by prominent involvement of the long bones. Approximately 1500 cases have been reported since the disease was first described in 1930. The imaging appearance of ECD can be highly variable given the numerous systems it can affect. In this case report we discuss a patient whose ECD was occult on multiple imaging modalities. CASE REPORT We report the case of a 60-year-old woman who presented with sub-acute left knee and calf pain that led to an MRI. She was found to have innumerable marrow-replacing lesions in the axial and appendicular skeleton visualized on the initial MRI, as well as on an ¹⁸F-FDG PET/CT scan. The patient did not have extraosseous abnormal uptake on the PET/CT. Subsequently, a lesion from the left iliac bone was histologically confirmed as ECD on the basis of positive staining for CD68 and CD163 and negative staining for CD1a. Osseous lesions in ECD have a distinct imaging appearance and are typically detected by radiography and bone scintigraphy, among other modalities; however, the lesions in this case were unexpectedly absent from those studies. CONCLUSIONS If there is a high degree of suspicion for ECD, 18F-FDG PET/CT and/or MRI may be necessary for adequate visualization of bone lesions, given that those lesions can have an infiltrative nature that may be difficult to image with other anatomic imaging modalities. Use of 18F-FDG PET/CT and/or MRI may also lead to adequate guidance of confirmatory biopsy.

摘要

背景

埃尔德海姆-切斯特病(ECD)是一种罕见的组织细胞肿瘤,其特征是长骨明显受累。自 1930 年首次描述以来,大约已经报告了 1500 例病例。鉴于 ECD 可能影响众多系统,其影像学表现可能高度多变。在本病例报告中,我们讨论了一位在多种影像学检查中 ECD 均为隐匿性的患者。

病例报告

我们报告了一位 60 岁女性的病例,她因亚急性左膝和小腿疼痛就诊,导致 MRI 检查。最初的 MRI 以及¹⁸F-FDG PET/CT 扫描显示,她的轴骨和附肢骨骼中存在无数骨髓替代病变。PET/CT 上患者没有骨外异常摄取。随后,根据 CD68 和 CD163 阳性染色以及 CD1a 阴性染色,从左髂骨病变活检组织学证实为 ECD。ECD 的骨病变具有独特的影像学表现,通常通过 X 线摄影和骨闪烁显像等其他方式检测到;然而,该病例中的这些病变却出乎意料地没有出现在这些研究中。

结论

如果高度怀疑 ECD,鉴于这些病变可能具有浸润性,其他解剖成像方式可能难以成像,因此可能需要使用¹⁸F-FDG PET/CT 和/或 MRI 来充分观察骨病变。¹⁸F-FDG PET/CT 和/或 MRI 的使用也可能有助于进行明确的活检指导。

https://cdn.ncbi.nlm.nih.gov/pmc/blobs/642d/10993734/edb1bf70d53c/amjcaserep-25-e941169-g001.jpg

相似文献

1
Erdheim-Chester Disease Occult on Radiographs and CT but Visible on MRI and PET.
Am J Case Rep. 2024 Mar 30;25:e941169. doi: 10.12659/AJCR.941169.
3
Metabolic Resolution of Lytic Lesions in Erdheim-Chester Disease on 18F-FDG PET/CT.
Clin Nucl Med. 2020 Dec;45(12):e514-e515. doi: 10.1097/RLU.0000000000003118.
4
Erdheim-Chester disease: diffusion-weighted imaging and dynamic contrast-enhanced MRI provide useful information.
Skeletal Radiol. 2023 Aug;52(8):1605-1618. doi: 10.1007/s00256-022-04265-5. Epub 2023 Jan 5.
6
Skeletal involvement in Erdheim-Chester disease: Multimodality imaging features and association with the BRAF mutation.
Clin Imaging. 2024 Feb;106:110067. doi: 10.1016/j.clinimag.2023.110067. Epub 2023 Dec 14.
7
Pineal gland involvement in Erdheim-Chester disease detected on (18)F-FDG PET-CT imaging: a case report and review of literature.
Clin Imaging. 2014 May-Jun;38(3):367-71. doi: 10.1016/j.clinimag.2013.12.005. Epub 2013 Dec 21.
8
A Unique Case of Erdheim-Chester Disease With Cervical and Lumbosacral Nerve Involvement: FDG PET/CT Finding.
Clin Nucl Med. 2016 Nov;41(11):881-883. doi: 10.1097/RLU.0000000000001362.
9
Pancreatic involvement in Erdheim-Chester disease: a case report and review of the literature.
BMC Gastroenterol. 2022 Jun 21;22(1):302. doi: 10.1186/s12876-022-02378-8.
10
Positron emission tomography/computed tomography of a rare xanthogranulomatous process: Erdheim-Chester disease.
Mol Imaging Biol. 2004 Jan-Feb;6(1):63-7. doi: 10.1016/j.mibio.2004.01.023.

本文引用的文献

3
4
Erdheim-Chester disease.
Best Pract Res Clin Rheumatol. 2020 Aug;34(4):101510. doi: 10.1016/j.berh.2020.101510. Epub 2020 Apr 15.
6
Erdheim-Chester disease.
Blood. 2020 Apr 16;135(16):1311-1318. doi: 10.1182/blood.2019002766.
7
Imaging findings in Erdheim-Chester disease: what every radiologist needs to know.
Pol J Radiol. 2018 Feb 4;83:e54-e62. doi: 10.5114/pjr.2018.73290. eCollection 2018.
9
Revised classification of histiocytoses and neoplasms of the macrophage-dendritic cell lineages.
Blood. 2016 Jun 2;127(22):2672-81. doi: 10.1182/blood-2016-01-690636. Epub 2016 Mar 10.
10
Thoracic, abdominal and musculoskeletal involvement in Erdheim-Chester disease: CT, MR and PET imaging findings.
Insights Imaging. 2014 Aug;5(4):473-82. doi: 10.1007/s13244-014-0331-7. Epub 2014 Jul 14.

文献AI研究员

20分钟写一篇综述,助力文献阅读效率提升50倍。

立即体验

用中文搜PubMed

大模型驱动的PubMed中文搜索引擎

马上搜索

文档翻译

学术文献翻译模型,支持多种主流文档格式。

立即体验