Suppr超能文献

低手握力、中上臂肌肉面积、小腿围、血清白蛋白水平和肌纤维直径是双极半髋关节置换术后 6 周髋关节骨折患者独立行走能力丧失的危险因素。

Low Hand Grip Strength, Mid-Upper Arm Muscle Area, Calf Circumference, Serum Albumin Level, and Muscle Fiber Diameter as Risk Factors for Independent Walking Inability in Patients with Hip Fracture 6 Weeks after Bipolar Hemiarthroplasty Surgery.

机构信息

Department of Orthopaedics and Traumatology, Faculty of Medicine Udayana University, Prof. Dr. IGNG Ngoerah General Hospital, Denpasar, Indonesia.

Department of Anatomical Pathology, Faculty of Medicine Udayana University, Prof. Dr. IGNG Ngoerah General Hospital, Denpasar, Indonesia.

出版信息

Clin Orthop Surg. 2024 Apr;16(2):230-241. doi: 10.4055/cios23256. Epub 2024 Mar 15.

Abstract

BACKGROUND

Bipolar hemiarthroplasty, one of the main treatment modalities for hip fracture, does not always promise the ability to walk independently after surgery. Patients with the same fracture characteristics and comorbidities, implants, and operators may also have different outcomes. Sarcopenia is thought to be one of the causes of the inability to walk independently after this operation; however, it has not been widely studied and is often overlooked.

METHODS

This study used a case-control design with 23 patients in the case group (patients unable to walk independently) and 23 patients in the control group (patients able to walk independently). Sampling was carried out consecutively according to the inclusion and exclusion criteria based on the medical records of patients with hip fractures after bipolar hemiarthroplasty at our hospital. In the preoperative period, hand grip strength (HGS), mid-upper arm muscle area (MUAMA), calf circumference (CC), serum albumin level, and total lymphocyte count were measured. A muscle biopsy was performed intraoperatively from the gluteus muscle with the amount of 200-350 mg. The patient's walking ability was assessed in the polyclinic using the Timed Up and Go test 6 weeks postoperatively. The statistical tests used were descriptive statistics, proportion comparison analysis with the chi-square test, and multiple logistic regression test.

RESULTS

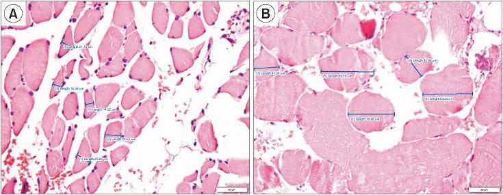
Univariate analysis using chi-square test proved HGS, MUAMA, CC, serum albumin level, and muscle fiber diameter as risk factors for inability to walk independently 6 weeks after bipolar hemiarthroplasty ( = 0.003, = 0.003, = 0.006, = 0.044, and = 0.000, respectively). Logistic regression test proved 3 direct risk factors for the inability to walk independently 6 weeks after bipolar hemiarthroplasty, namely MUAMA, serum albumin level, and muscle fiber diameter, as the strongest predictive factor (adjusted odds ratio, 63.12).

CONCLUSIONS

Low MUAMA, serum albumin levels, and muscle fiber diameter are direct risk factors for the inability to walk independently in hip fracture patients 6 weeks after bipolar hemiarthroplasty.

摘要

背景

双极人工股骨头置换术是治疗髋部骨折的主要方法之一,但术后并不总能保证独立行走的能力。具有相同骨折特征、合并症、植入物和操作者的患者也可能有不同的结果。肌少症被认为是术后无法独立行走的原因之一,但尚未得到广泛研究,常常被忽视。

方法

本研究采用病例对照设计,病例组(无法独立行走的患者)有 23 例,对照组(能够独立行走的患者)有 23 例。根据我院双极人工股骨头置换术后髋部骨折患者的病历,按照纳入和排除标准,连续进行抽样。在术前,测量握力(HGS)、上臂中部肌肉面积(MUAMA)、小腿围(CC)、血清白蛋白水平和总淋巴细胞计数。术中从臀肌取 200-350mg 进行肌肉活检。术后 6 周,在门诊使用计时起立行走测试评估患者的行走能力。使用描述性统计、卡方检验进行比例比较分析和多因素逻辑回归检验。

结果

卡方检验的单因素分析证明 HGS、MUAMA、CC、血清白蛋白水平和肌纤维直径是双极人工股骨头置换术后 6 周无法独立行走的危险因素( = 0.003、 = 0.003、 = 0.006、 = 0.044 和 = 0.000)。逻辑回归检验证明,双极人工股骨头置换术后 6 周无法独立行走的 3 个直接危险因素是 MUAMA、血清白蛋白水平和肌纤维直径,是最强的预测因素(调整后的优势比为 63.12)。

结论

双极人工股骨头置换术后 6 周,髋部骨折患者 MUAMA 低、血清白蛋白水平低、肌纤维直径小是无法独立行走的直接危险因素。

https://cdn.ncbi.nlm.nih.gov/pmc/blobs/8012/10973617/7c7069bae05f/cios-16-230-g001.jpg

文献AI研究员

20分钟写一篇综述,助力文献阅读效率提升50倍。

立即体验

用中文搜PubMed

大模型驱动的PubMed中文搜索引擎

马上搜索

文档翻译

学术文献翻译模型,支持多种主流文档格式。

立即体验