Suppr超能文献

NCAPH作为一种预后因素,通过PI3K/AKT信号通路促进胶质瘤的肿瘤进展。

NCAPH serves as a prognostic factor and promotes the tumor progression in glioma through PI3K/AKT signaling pathway.

作者信息

Liang Jianshen, Yun Debo, Jin Wenzhe, Fan Jikang, Wang Xuya, Wang Xisen, Li Yiming, Yu Shengping, Zhang Chen, Li Tao, Yang Xuejun

机构信息

Department of Neurosurgery, Tianjin Medical University General Hospital, Tianjin, 300000, China.

Laboratory of Neuro-Oncology, Tianjin Neurological Institute, Tianjin, 300000, China.

出版信息

Mol Cell Biochem. 2025 Jan;480(1):589-605. doi: 10.1007/s11010-024-04976-4. Epub 2024 Apr 8.

Abstract

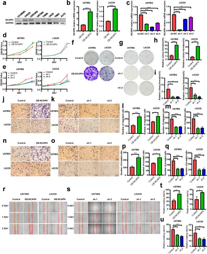
Non-SMC (Structural Maintenance of Chromosomes) condensin I complex subunit H (NCAPH) has been shown to facilitate progression and predict adverse prognostic outcome in many cancer types. However, the function of NCAPH in gliomas is still unclear. Series of experiments were taken to uncover the function of NCAPH in glioma. The expression of NCAPH and potential mechanism regulating progression of glioma was verified by bioinformatics analysis. Lentiviral transfection was used for establishment of loss-of-function and gain-of-function cell lines. CCK-8 assay and Colony-formation assay were used to evaluate proliferation. Transwell assay and Cell wound healing assay were used to assess migration and invasion. Cell cycle and apoptosis were measured by flow cytometry. Protein and RNA were quantified by WB and RT-PCR, respectively. The nude mice model of glioma was used to evaluate the effect of NCAPH in vivo. The expression of NCAPH increased significantly in glioma tissues and correlated with WHO grade, IDH wild-type and non-1p/19q codeletion. Glioma patients with high expression of NCAPH had an undesirable prognosis. Functionally, upregulated NCAPH promotes the malignant hallmarks of glioma cells in vivo and in vitro. NCAPH correlated with DNA damage repair ability of glioma cells and facilitated the proliferation, invasion, and migration of glioma cells by promoting the PI3K/AKT signaling pathway. This study identifies the important pro-tumor role of NCAPH in glioma and suggests that NCAPH is a potential therapeutic target.

摘要

非SMC(染色体结构维持)凝聚素I复合体亚基H(NCAPH)已被证明在多种癌症类型中促进疾病进展并预测不良预后。然而,NCAPH在胶质瘤中的功能仍不清楚。我们进行了一系列实验来揭示NCAPH在胶质瘤中的功能。通过生物信息学分析验证了NCAPH的表达及调节胶质瘤进展的潜在机制。利用慢病毒转染建立功能缺失和功能获得细胞系。采用CCK-8法和集落形成试验评估增殖。采用Transwell试验和细胞划痕愈合试验评估迁移和侵袭。通过流式细胞术检测细胞周期和凋亡。分别通过WB和RT-PCR对蛋白质和RNA进行定量。利用胶质瘤裸鼠模型评估NCAPH在体内的作用。NCAPH在胶质瘤组织中的表达显著增加,且与世界卫生组织分级、异柠檬酸脱氢酶(IDH)野生型和1p/19q非共缺失相关。NCAPH高表达的胶质瘤患者预后不良。在功能上,上调的NCAPH在体内和体外均促进胶质瘤细胞的恶性特征。NCAPH与胶质瘤细胞的DNA损伤修复能力相关,并通过促进PI3K/AKT信号通路促进胶质瘤细胞的增殖、侵袭和迁移。本研究确定了NCAPH在胶质瘤中重要的促肿瘤作用,并表明NCAPH是一个潜在的治疗靶点。

https://cdn.ncbi.nlm.nih.gov/pmc/blobs/b20a/11695388/13392a54687c/11010_2024_4976_Fig1_HTML.jpg

文献检索

告别复杂PubMed语法,用中文像聊天一样搜索,搜遍4000万医学文献。AI智能推荐,让科研检索更轻松。

立即免费搜索

文件翻译

保留排版,准确专业,支持PDF/Word/PPT等文件格式,支持 12+语言互译。

免费翻译文档

深度研究

AI帮你快速写综述,25分钟生成高质量综述,智能提取关键信息,辅助科研写作。

立即免费体验