Suppr超能文献

抽吸血栓治疗中危亚急性肺栓塞。

Aspiration of thrombus for intermediate-risk subacute pulmonary embolism.

机构信息

National Center for Respiratory Medicine, Department of Respiratory and Critical Care Medicine, Guangzhou Institute of Respiratory Health, The First Affiliated Hospital of Guangzhou Medical University, Guangzhou, Guangdong, China.

Department of Respiratory and Critical Care Medicine, Yangjiang Hospital Affiliated of Guangdong Medical University, YangJiang, Guangdong, China.

出版信息

J Cardiothorac Surg. 2024 Apr 8;19(1):188. doi: 10.1186/s13019-024-02648-4.

Abstract

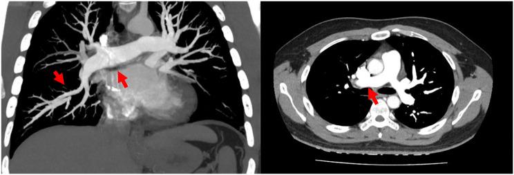
Pulmonary embolism is the most common cardiovascular disease after myocardial infarction and stroke. Konstantinides (Eur Heart J 41(4):543-603, 2020) Current guidelines categorize patients with PE as being at low, intermediate, and high risk of early death, with the intermediate-risk group experiencing the greatest uncertainty regarding treatment recommendations. Rapid reduction of the thrombus load by thrombolysis significantly reduces symptoms and decreases mortality, but is accompanied by a high risk of bleeding. Meyer (N Engl J Med 370(15):1402-11, 2014) Mechanical thrombectomy (CDTE) have been proven safe and efficient, yet current ESC guidelines suggest the utilization of catheter interventions only for hypotensive patients with high bleeding risk, failed systemic thrombolysis, and cardiogenic shock or if a patient does not respond to conservative therapy Konstantinides (Eur Heart J 41(4):543-603, 2020). Here, we report a case of an intermediate-risk patient with pulmonary embolism who underwent thrombus aspiration and showed significant improvement in symptoms after treatment.

摘要

肺栓塞是心肌梗死和中风后最常见的心血管疾病。Konstantinides(Eur Heart J 41(4):543-603, 2020)目前的指南将 PE 患者分为低、中、高危早期死亡风险人群,其中中危风险人群对治疗建议的不确定性最大。溶栓可迅速降低血栓负荷,显著缓解症状并降低死亡率,但伴有较高的出血风险。Meyer(N Engl J Med 370(15):1402-11, 2014)机械血栓切除术(CDTE)已被证明是安全有效的,但目前 ESC 指南仅建议对有低血压、高出血风险、全身溶栓失败、心源性休克的患者或对保守治疗无反应的患者使用导管介入治疗。Konstantinides(Eur Heart J 41(4):543-603, 2020)。在这里,我们报告了一例中危肺栓塞患者接受血栓抽吸治疗的病例,治疗后症状明显改善。

https://cdn.ncbi.nlm.nih.gov/pmc/blobs/9498/11000367/7574fcd6acc8/13019_2024_2648_Fig1_HTML.jpg

文献AI研究员

20分钟写一篇综述,助力文献阅读效率提升50倍。

立即体验

用中文搜PubMed

大模型驱动的PubMed中文搜索引擎

马上搜索

文档翻译

学术文献翻译模型,支持多种主流文档格式。

立即体验