• 文献检索
  • 文档翻译
  • 深度研究
  • 学术资讯
  • Suppr Zotero 插件Zotero 插件
  • 邀请有礼
  • 套餐&价格
  • 历史记录
应用&插件
Suppr Zotero 插件Zotero 插件浏览器插件Mac 客户端Windows 客户端微信小程序
定价
高级版会员购买积分包购买API积分包
服务
文献检索文档翻译深度研究API 文档MCP 服务
关于我们
关于 Suppr公司介绍联系我们用户协议隐私条款
关注我们

Suppr 超能文献

核心技术专利:CN118964589B侵权必究
粤ICP备2023148730 号-1Suppr @ 2026

文献检索

告别复杂PubMed语法,用中文像聊天一样搜索,搜遍4000万医学文献。AI智能推荐,让科研检索更轻松。

立即免费搜索

文件翻译

保留排版,准确专业,支持PDF/Word/PPT等文件格式,支持 12+语言互译。

免费翻译文档

深度研究

AI帮你快速写综述,25分钟生成高质量综述,智能提取关键信息,辅助科研写作。

立即免费体验

在一名接受地诺单抗治疗乳腺癌骨转移的患者中,采用自体骨移植成功治疗非典型股骨骨折:病例报告。

Successful treatment of atypical femoral fracture with autogenous bone grafting in a patient on denosumab for bone metastasis from breast cancer: A case report.

作者信息

Yasukawa Taiki, Lee Sang Yang, Hasegawa Hiro, Tsuchiya Koki, Shirahata Toshiyuki, Yoshimura Makoto, Kudo Yoshifumi

机构信息

Department of Orthopedic Surgery, Takatsu General Hospital, 1-16-7 Mizonokuchi, Kawasaki-ku, Kanagawa, Japan.

Department of Orthopedic Surgery, Showa University School of Medicine, 1-5-8 Hatano-dai, Shinagawa-ku, Tokyo, Japan.

出版信息

Trauma Case Rep. 2024 Apr 1;51:101005. doi: 10.1016/j.tcr.2024.101005. eCollection 2024 Jun.

DOI:10.1016/j.tcr.2024.101005
PMID:38590922
原文链接:https://pmc.ncbi.nlm.nih.gov/articles/PMC10999851/
Abstract

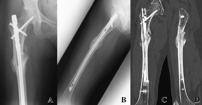
Atypical femoral fractures (AFFs) occur with minor trauma and are believed to be a potential complication of the prolonged use of antiresorptive agents, such as bisphosphonate and denosumab, for the treatment of bone metastasis. In comparison with typical femoral fractures, AFFs have a higher incidence of complications, including implant failure and delayed union or nonunion. This report describes the case of a 42-year-old woman who developed denosumab-associated AFF after denosumab therapy for bone metastasis from breast cancer. Surgical treatment with IMN was performed after open anatomical reduction. To reduce the risk of delayed union and nonunion, the autogenous bone graft obtained from the iliac crest was conducted. The radiograph taken 5 weeks after surgery showed callus formation. Full weight bearing was allowed 3 months after surgery. Six months postoperatively, radiographs and computed tomography images demonstrated bone union. Twelve months after surgery, the patient was able to walk easily without pain. For cancer patients with bone metastasis whose life expectancy may be limited, a decline in physical activity can be fatal. Consequently, it is crucial to avoid a decrease in activities of daily living brought about by delayed union or nonunion. In this regard, autogenous bone grafting is a viable and effective technique for the treatment of AFFs in patients with bone metastases.

摘要

非典型股骨骨折(AFFs)在轻微创伤后发生,被认为是长期使用抗吸收剂(如双膦酸盐和地诺单抗)治疗骨转移的潜在并发症。与典型股骨骨折相比,AFFs的并发症发生率更高,包括植入物失败和延迟愈合或不愈合。本报告描述了一名42岁女性在接受地诺单抗治疗乳腺癌骨转移后发生地诺单抗相关AFF的病例。在开放解剖复位后进行了髓内钉固定术。为降低延迟愈合和不愈合的风险,取自髂嵴的自体骨移植。术后5周拍摄的X线片显示有骨痂形成。术后3个月允许完全负重。术后6个月,X线片和计算机断层扫描图像显示骨愈合。术后12个月,患者能够轻松行走且无疼痛。对于预期寿命可能有限的骨转移癌患者,身体活动的减少可能是致命的。因此,避免因延迟愈合或不愈合导致的日常生活活动减少至关重要。在这方面,自体骨移植是治疗骨转移患者AFFs的一种可行且有效的技术。

https://cdn.ncbi.nlm.nih.gov/pmc/blobs/66dc/10999851/933efc4985a4/gr4.jpg
https://cdn.ncbi.nlm.nih.gov/pmc/blobs/66dc/10999851/a63bca01ea30/gr1.jpg
https://cdn.ncbi.nlm.nih.gov/pmc/blobs/66dc/10999851/f3ee7512b72e/gr2.jpg
https://cdn.ncbi.nlm.nih.gov/pmc/blobs/66dc/10999851/c8d3af065455/gr3.jpg
https://cdn.ncbi.nlm.nih.gov/pmc/blobs/66dc/10999851/933efc4985a4/gr4.jpg
https://cdn.ncbi.nlm.nih.gov/pmc/blobs/66dc/10999851/a63bca01ea30/gr1.jpg
https://cdn.ncbi.nlm.nih.gov/pmc/blobs/66dc/10999851/f3ee7512b72e/gr2.jpg
https://cdn.ncbi.nlm.nih.gov/pmc/blobs/66dc/10999851/c8d3af065455/gr3.jpg
https://cdn.ncbi.nlm.nih.gov/pmc/blobs/66dc/10999851/933efc4985a4/gr4.jpg

相似文献

1
Successful treatment of atypical femoral fracture with autogenous bone grafting in a patient on denosumab for bone metastasis from breast cancer: A case report.在一名接受地诺单抗治疗乳腺癌骨转移的患者中,采用自体骨移植成功治疗非典型股骨骨折:病例报告。
Trauma Case Rep. 2024 Apr 1;51:101005. doi: 10.1016/j.tcr.2024.101005. eCollection 2024 Jun.
2
Multicenter study on atypical femoral fractures in patients with bone metastases taking bone- modifying agents.骨转移患者使用骨改良药物治疗时非典型股骨骨折的多中心研究。
J Bone Oncol. 2023 Apr 10;40:100478. doi: 10.1016/j.jbo.2023.100478. eCollection 2023 Jun.
3
Mid-term outcomes after the surgical treatment of atypical femoral fractures : minimum three-year follow-up.非典型股骨骨折手术治疗的中期结果:至少 3 年随访。
Bone Joint J. 2021 Nov;103-B(11):1648-1655. doi: 10.1302/0301-620X.103B11.BJJ-2021-0416.R1.
4
Bilateral Atypical Femoral Fracture in a Bisphosphonate-Naïve Patient with Prior Long-Term Denosumab Therapy: A Case Report of the Management Strategy and a Literature Review.一例既往长期使用地诺单抗治疗但未使用双膦酸盐的患者发生双侧非典型股骨骨折:管理策略的病例报告及文献综述
J Clin Med. 2024 May 9;13(10):2785. doi: 10.3390/jcm13102785.
5
Atypical femoral fracture after receiving antiresorptive drugs in breast cancer patients with bone metastasis.患有骨转移的乳腺癌患者在接受抗吸收药物治疗后发生的非典型股骨骨折。
Breast Cancer. 2017 Jul;24(4):601-607. doi: 10.1007/s12282-016-0746-8. Epub 2016 Dec 10.
6
Augmentative Plating in the Treatment of Femoral Nonunion after Intramedullary Nail Fixation.髓内钉固定后股骨骨不连的补充接骨板治疗。
Altern Ther Health Med. 2023 Nov;29(8):750-753.
7
Incidence of atypical femoral fractures in the treatment of bone metastasis: An alert report.骨转移治疗中不典型股骨骨折的发生率:一份警示报告。
J Bone Oncol. 2020 Jun 20;23:100301. doi: 10.1016/j.jbo.2020.100301. eCollection 2020 Aug.
8
Atypical Femoral Fracture in a Patient without Bisphosphonate or Denosumab Exposure-A Case Report.未使用双膦酸盐或地诺单抗的患者发生非典型股骨骨折——病例报告
J Orthop Case Rep. 2021 Oct;11(10):21-24. doi: 10.13107/jocr.2021.v11.i10.2450.
9
Impending Atypical Femoral Fracture in a Patient of Breast Cancer With Bone Metastases Receiving Long-term Denosumab.长期接受地舒单抗治疗的乳腺癌伴骨转移患者即将发生非典型股骨骨折。
Clin Nucl Med. 2018 May;43(5):365-366. doi: 10.1097/RLU.0000000000002058.
10
Osteogenic protein-1 for long bone nonunion: an evidence-based analysis.用于治疗长骨骨不连的成骨蛋白-1:一项循证分析
Ont Health Technol Assess Ser. 2005;5(6):1-57. Epub 2005 Apr 1.

本文引用的文献

1
Multicenter study on atypical femoral fractures in patients with bone metastases taking bone- modifying agents.骨转移患者使用骨改良药物治疗时非典型股骨骨折的多中心研究。
J Bone Oncol. 2023 Apr 10;40:100478. doi: 10.1016/j.jbo.2023.100478. eCollection 2023 Jun.
2
Outcome of revision surgery for bisphosphonate related subtrochanteric fracture non-union following failed intramedullary nailing.翻修手术治疗股骨髓内钉固定失败后伴双膦酸盐相关的转子下骨折不愈合
Injury. 2021 Mar;52(3):582-588. doi: 10.1016/j.injury.2020.09.051. Epub 2020 Sep 28.
3
Intramedullary Nail Fixation with Autologous Bone Marrow Transplantation in an Incomplete Atypical Femoral Fracture Patient: Use of Bone Marrow Extracted from the Hollow Reamer.
髓内钉固定联合自体骨髓移植治疗一例非典型股骨不完全骨折患者:使用从空心扩孔钻中提取的骨髓
Case Rep Orthop. 2020 Aug 25;2020:2878651. doi: 10.1155/2020/2878651. eCollection 2020.
4
Intramedullary Nail Fixation of Atypical Femur Fractures With Bone Marrow Aspirate Concentrate Leads to Faster Union: A Case-Control Study.使用骨髓抽吸浓缩物对非典型股骨骨折进行髓内钉固定可实现更快愈合:一项病例对照研究。
J Orthop Trauma. 2017 Jul;31(7):358-362. doi: 10.1097/BOT.0000000000000851.
5
Atypical femoral fractures related to bisphosphonate treatment: issues and controversies related to their surgical management.与双膦酸盐治疗相关的非典型股骨骨折:与其手术治疗相关的问题与争议。
Bone Joint J. 2017 Mar;99-B(3):295-302. doi: 10.1302/0301-620X.99B3.BJJ-2016-0276.R2.
6
Healing Time and Complications in Operatively Treated Atypical Femur Fractures Associated With Bisphosphonate Use: A Multicenter Retrospective Cohort.使用双膦酸盐相关的手术治疗非典型股骨骨折的愈合时间和并发症:一项多中心回顾性队列研究
J Orthop Trauma. 2016 Apr;30(4):177-81. doi: 10.1097/BOT.0000000000000516.
7
Healing of bisphosphonate-associated atypical femoral fractures in patients with osteoporosis: a comparison between treatment with and without teriparatide.骨质疏松症患者中双膦酸盐相关非典型股骨骨折的愈合:特立帕肽治疗与未治疗的比较。
J Bone Miner Metab. 2015 Sep;33(5):553-9. doi: 10.1007/s00774-014-0617-3. Epub 2014 Sep 17.
8
The outcome of surgically treated femur fractures associated with long-term bisphosphonate use.长期使用双膦酸盐类药物相关的股骨骨折手术治疗结果。
J Trauma. 2011 Jul;71(1):186-90. doi: 10.1097/TA.0b013e31821957e3.
9
Atypical subtrochanteric and diaphyseal femoral fractures: report of a task force of the American Society for Bone and Mineral Research.非典型转子下和骨干股骨骨折:美国骨矿研究学会工作组报告。
J Bone Miner Res. 2010 Nov;25(11):2267-94. doi: 10.1002/jbmr.253.
10
Recombinant human BMP-2 and allograft compared with autogenous bone graft for reconstruction of diaphyseal tibial fractures with cortical defects. A randomized, controlled trial.重组人骨形态发生蛋白-2与同种异体骨移植对比自体骨移植用于重建伴有皮质缺损的胫骨干骨折:一项随机对照试验。
J Bone Joint Surg Am. 2006 Jul;88(7):1431-41. doi: 10.2106/JBJS.E.00381.