Suppr超能文献

CCDC28A 缺乏导致小鼠精子头缺陷、精子活力降低和男性不育。

CCDC28A deficiency causes sperm head defects, reduced sperm motility and male infertility in mice.

机构信息

Institute of Pediatrics, The Institutes of Biomedical Sciences, The State Key Laboratory of Genetic Engineering, School of Life Sciences, Children's Hospital of Fudan University, Fudan University, Shanghai, 200032, China.

NHC Key Lab of Reproduction Regulation (Shanghai Institute for Biomedical and Pharmaceutical Technologies), Fudan University, Shanghai, 200032, China.

出版信息

Cell Mol Life Sci. 2024 Apr 10;81(1):174. doi: 10.1007/s00018-024-05184-5.

Abstract

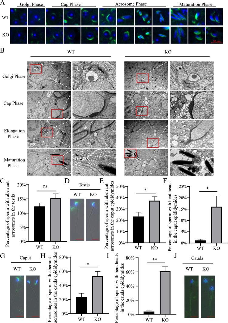
Mature spermatozoa with normal morphology and motility are essential for male reproduction. The epididymis has an important role in the proper maturation and function of spermatozoa for fertilization. However, factors related to the processes involved in spermatozoa modifications are still unclear. Here we demonstrated that CCDC28A, a member of the CCDC family proteins, is highly expressed in testes and the CCDC28A deletion leads to male infertility. We found CCDC28A deletion had a mild effect on spermatogenesis. And epididymal sperm collected from Ccdc28a mice showed bent sperm heads, acrosomal defects, reduced motility and decreased in vitro fertilization competence whereas their axoneme, outer dense fibers, and fibrous sheath were all normal. Furthermore, we found that CCDC28A interacted with sperm acrosome membrane-associated protein 1 (SPACA1) and glycogen synthase kinase 3a (GSK3A), and deficiencies in both proteins in mice led to bent heads and abnormal acrosomes, respectively. Altogether, our results reveal the essential role of CCDC28A in regulating sperm morphology and motility and suggesting a potential marker for male infertility.

摘要

成熟的形态和运动正常的精子对于男性生殖至关重要。附睾在精子的适当成熟和受精功能中起着重要作用。然而,与精子修饰过程相关的因素仍不清楚。在这里,我们证明了 CCDC28A 是 CCDC 家族蛋白的成员,在睾丸中高度表达,CCDC28A 缺失导致男性不育。我们发现 CCDC28A 缺失对精子发生有轻微影响。从 Ccdc28a 小鼠收集的附睾精子显示弯曲的精子头部、顶体缺陷、运动能力降低和体外受精能力降低,而它们的轴丝、外致密纤维和纤维鞘均正常。此外,我们发现 CCDC28A 与精子顶体膜相关蛋白 1 (SPACA1) 和糖原合酶激酶 3a (GSK3A) 相互作用,并且这两种蛋白在小鼠中的缺乏分别导致头部弯曲和顶体异常。总之,我们的研究结果揭示了 CCDC28A 在调节精子形态和运动中的重要作用,并提示了一种潜在的男性不育标志物。

https://cdn.ncbi.nlm.nih.gov/pmc/blobs/1db6/11073358/2c70a4fcb6b0/18_2024_5184_Fig1_HTML.jpg

文献AI研究员

20分钟写一篇综述,助力文献阅读效率提升50倍。

立即体验

用中文搜PubMed

大模型驱动的PubMed中文搜索引擎

马上搜索

文档翻译

学术文献翻译模型,支持多种主流文档格式。

立即体验