Suppr超能文献

遗传性平滑肌瘤病和肾细胞癌(HLRCC)病例报告。

A case report of hereditary leiomyomatosis and renal cell carcinoma (HLRCC).

作者信息

Nohara Sunao, Nakanishi Shotaro, Matsuo Tomoki, Tamaki Tomoko, Saito Seiici

机构信息

Department of Urology University of the Ryukyus, Okinawa, 9030215, Japan.

Department of Pathology University of the Ryukyus, Okinawa, 9030215, Japan.

出版信息

Urol Case Rep. 2024 Apr 10;54:102738. doi: 10.1016/j.eucr.2024.102738. eCollection 2024 May.

Abstract

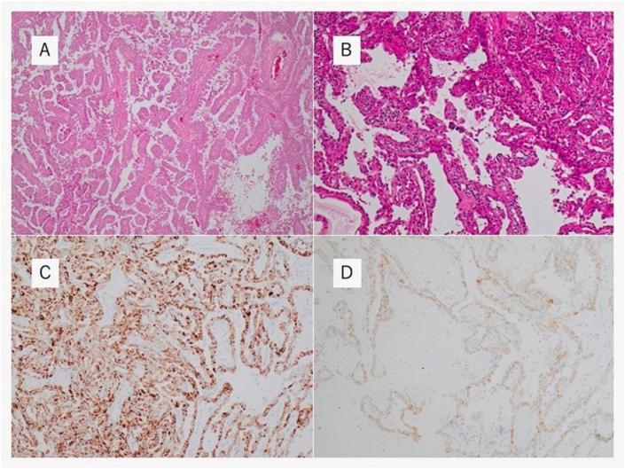
Leiomyomatosis and renal cell carcinoma (HLRCC) are rare autosomal dominant cancer syndromes characterized by cutaneous leiomyoma, uterine leiomyoma, and renal cell carcinoma (RCC). RCC in HLRCC is an aggressive metastatic tumor that develops at a young age. Here, we report the case of a patient with HLRCC who was diagnosed after the spontaneous rupture of a renal tumor. The patient underwent cytoreductive surgery, followed by combination therapy with the immune checkpoint inhibitor (ICI) nivolumab and cabozantinib, a tyrosine kinase inhibitor (TKI); however, no improvements were achieved.

摘要

遗传性平滑肌瘤病和肾细胞癌(HLRCC)是罕见的常染色体显性癌症综合征,其特征为皮肤平滑肌瘤、子宫平滑肌瘤和肾细胞癌(RCC)。HLRCC中的RCC是一种侵袭性转移性肿瘤,发病年龄较轻。在此,我们报告一例HLRCC患者,该患者在肾肿瘤自发破裂后被诊断出来。患者接受了减瘤手术,随后接受了免疫检查点抑制剂(ICI)纳武单抗和酪氨酸激酶抑制剂(TKI)卡博替尼的联合治疗;然而,未取得改善。

https://cdn.ncbi.nlm.nih.gov/pmc/blobs/5c65/11021952/8ea129e6bc86/gr1.jpg

文献AI研究员

20分钟写一篇综述,助力文献阅读效率提升50倍。

立即体验

用中文搜PubMed

大模型驱动的PubMed中文搜索引擎

马上搜索

文档翻译

学术文献翻译模型,支持多种主流文档格式。

立即体验