Suppr超能文献

海枣正丁醇组分暴露于无机汞后对Wistar大鼠肝脏的生化、形态学及分子评估

Biochemical, morphological and molecular assessments of n butanol fraction of Phoenix dactylifera L. following exposure to inorganic mercury on the liver of Wistar rats.

作者信息

Abubakar Musa Garba, Agbon A N, Musa S A, Hamman W O, Oladele S B

机构信息

Microscopy and Stereology Research Unit, Department of Human Anatomy, Ahmadu Bello University, Zaria, Nigeria.

Nigerian Defence Academy, Kaduna, Nigeria.

出版信息

Lab Anim Res. 2024 Apr 19;40(1):15. doi: 10.1186/s42826-024-00203-9.

Abstract

BACKGROUND

Mercury chloride (HgCl) damages tissues it comes in contact with in sufficient concentration. This study evaluated the protective effects of n-butanol fraction of Phoenix dactylifera (BFPD) on mercury-triggered liver toxicity in Wistar rats. 25 male rats were divided into 5 groups of 5 rats each. Group I was administered 2 ml/kg of distilled water; group II was administered 5 mg/kg of HgCl; group III was administered 500 mg/kg of BFPD + 5 mg/kg of HgCl; group IV was administered 1000 mg/kg of BFPD + 5 mg/kg of HgCl, while group V was administered 100 mg/kg of silymarin + 5 mg/kg of HgCl. orally for 2 weeks. The rats were euthanized and liver tissue blood samples were collected for histological, histochemical, stereological, immunohistochemical, molecular, and biochemical studies.

RESULTS

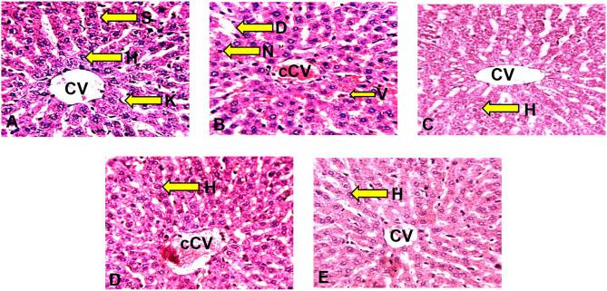
The results revealed that HgCl induced oxidative stress in the rats evident by histoarchitectural distortions and altered levels of liver enzymes, proteins, and oxidative stress biomarkers when compared to the control. However, BFPD treatment restored these changes. Glutathione peroxidase levels decreased (p < 0.05) in the HgCltreated group when compared to the control and BFPD-treated groups. HgCl group revealed reduced reactivity with histochemical and immunohistochemical stains (Masson's Trichrome and B cell Lymphoma 2) when compared to the control, with a significant decrease in quantified liver Bcl-2 stain intensity when compared to the silymarin-treated group. BFPD administration revealed normal staining intensity comparable to the control. HgCl administration revealed a remarked decrease in the number of hepatocytes when compared to the control, BFPD, and silymarin groups. BFPD preserved (p < 0.05) the stereological features when compared to the HgCl-treated group. GPx activity in the liver decreased (p < 0.05) with HgCl administration when compared to the control and silymarin-treated groups. BFPD attenuated GPx gene activity to levels similar to the control indicating some level of amelioration against HgCl-induced toxicity.

CONCLUSIONS

The ability of BFPD to mitigate HgCl triggered liver alterations could be attributed to the antioxidant property of its flavonoid content. Therefore, BFPD may be a potential candidate for treating and managing liver-induced mercury intoxication.

摘要

背景

氯化汞(HgCl)在足够浓度下会损害与其接触的组织。本研究评估了海枣正丁醇提取物(BFPD)对Wistar大鼠汞引发的肝毒性的保护作用。将25只雄性大鼠分为5组,每组5只。第一组给予2 ml/kg蒸馏水;第二组给予5 mg/kg HgCl;第三组给予500 mg/kg BFPD + 5 mg/kg HgCl;第四组给予1000 mg/kg BFPD + 5 mg/kg HgCl,而第五组给予100 mg/kg水飞蓟宾 + 5 mg/kg HgCl。口服给药2周。对大鼠实施安乐死后,采集肝脏组织血样用于组织学、组织化学、体视学、免疫组织化学、分子和生化研究。

结果

结果显示,与对照组相比,HgCl诱导大鼠氧化应激,表现为组织结构扭曲以及肝酶、蛋白质和氧化应激生物标志物水平改变。然而,BFPD治疗可恢复这些变化。与对照组和BFPD治疗组相比,HgCl治疗组的谷胱甘肽过氧化物酶水平降低(p < 0.05)。与对照组相比,HgCl组经组织化学和免疫组织化学染色(Masson三色染色法和B细胞淋巴瘤2)后的反应性降低,与水飞蓟宾治疗组相比,定量肝脏Bcl-2染色强度显著降低。给予BFPD后染色强度正常,与对照组相当。与对照组、BFPD组和水飞蓟宾组相比,给予HgCl后肝细胞数量显著减少。与HgCl治疗组相比,BFPD保留了(p < 0.05)体视学特征。与对照组和水飞蓟宾治疗组相比,给予HgCl后肝脏中的GPx活性降低(p < 0.05)。BFPD将GPx基因活性减弱至与对照组相似的水平,表明对HgCl诱导的毒性有一定程度的改善。

结论

BFPD减轻HgCl引发的肝脏改变的能力可能归因于其黄酮类成分的抗氧化特性。因此,BFPD可能是治疗和管理肝脏汞中毒的潜在候选物。

https://cdn.ncbi.nlm.nih.gov/pmc/blobs/69ac/11027370/0ae8fa70f179/42826_2024_203_Fig1_HTML.jpg

文献检索

告别复杂PubMed语法,用中文像聊天一样搜索,搜遍4000万医学文献。AI智能推荐,让科研检索更轻松。

立即免费搜索

文件翻译

保留排版,准确专业,支持PDF/Word/PPT等文件格式,支持 12+语言互译。

免费翻译文档

深度研究

AI帮你快速写综述,25分钟生成高质量综述,智能提取关键信息,辅助科研写作。

立即免费体验