Shih Kun-Ping, Lee Yu-Cheng, Tsai Jia-Jiun, Lin Shu-Hui, Liu Chih-Yi, Li Wan-Shan, Li Chien-Feng, Hang Jen-Fan
Department of Pathology and Laboratory Medicine, Taipei Veterans General Hospital, Shipai Rd, No. 201, Sec. 2, Taipei, 11217, Taiwan.
Department of Pathology, National Taiwan University Hospital Hsinchu Branch, Hsinchu, Taiwan.
Endocr Pathol. 2024 Jun;35(2):134-146. doi: 10.1007/s12022-024-09808-1. Epub 2024 Apr 20.
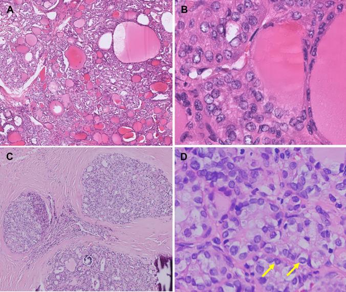
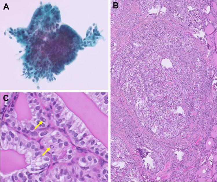
Anaplastic lymphoma kinase (ALK) gene fusions are rare in papillary thyroid carcinoma (PTC) but may serve as a therapeutic target. This study aims to evaluate the preoperative cytologic findings and clinicopathologic features of a series of eight ALK-rearranged PTCs from our pathology archives and consultations. All cases were confirmed by ALK D5F3 immunohistochemistry and six with additional targeted RNA-based next-generation sequencing (NGS). The original fine-needle aspiration (FNA) cytology diagnosis included the Bethesda System (TBS) category II in three (37.5%), TBS III in two (25%), TBS V in two (25%), and TBS VI in one (12.5%). Six cases had available FNA cytology and were reviewed. The cytologic features showed microfollicular architecture as well as limited or reduced nuclear elongation and chromatin alterations in all six. Nuclear grooves and pseudoinclusions were absent in two cases, rarely or focally noted in three, and frequently found in one. Two cases initially diagnosed as TBS II, showing microfollicular architecture without well-developed nuclear features, were revised to TBS III (with architectural atypia only). For histologic correlations, four were infiltrative follicular variant PTCs, three as classic subtype PTC with predominant follicular growth, and one as solid/trabecular subtype PTC. All eight cases demonstrated reduced PTC nuclear features with respect to nuclear elongation and chromatin alterations compared to those typically identified in "BRAF-like" PTCs. The NGS testing revealed EML4::ALK fusion in three, STRN::ALK fusion in two, and ITSN2::ALK fusion in one. In conclusion, although ALK-rearranged PTCs have been associated with neutral gene expression profile from a BRAF-RAS scoring perspective, the "RAS-like" nuclear features were more commonly identified in this series, resulting in frequent indeterminate diagnosis of preoperative FNA.
间变性淋巴瘤激酶(ALK)基因融合在乳头状甲状腺癌(PTC)中罕见,但可能作为治疗靶点。本研究旨在评估来自我们病理档案和会诊的一系列8例ALK重排PTC的术前细胞学检查结果和临床病理特征。所有病例均通过ALK D5F3免疫组织化学确诊,6例还进行了基于RNA的靶向二代测序(NGS)。最初的细针穿刺(FNA)细胞学诊断包括贝塞斯达系统(TBS)II类3例(37.5%)、TBS III类2例(25%)、TBS V类2例(25%)和TBS VI类1例(12.5%)。6例有可用的FNA细胞学检查结果并进行了复查。细胞学特征显示所有6例均有微滤泡结构以及核延长和染色质改变受限或减少。2例无核沟和假包涵体,3例少见或局灶性可见,1例常见。2例最初诊断为TBS II类,显示微滤泡结构但无明显核特征,后修订为TBS III类(仅伴有结构异型性)。组织学相关性方面,4例为浸润性滤泡变异型PTC,3例为以滤泡生长为主的经典亚型PTC,1例为实体/小梁亚型PTC。与“BRAF样”PTC中典型所见相比,所有8例在核延长和染色质改变方面均显示PTC核特征减少。NGS检测显示3例为EML4::ALK融合,2例为STRN::ALK融合,1例为ITSN2::ALK融合。总之,尽管从BRAF-RAS评分角度来看,ALK重排PTC与中性基因表达谱相关,但本系列中更常见“RAS样”核特征,导致术前FNA诊断经常不确定。