• 文献检索
  • 文档翻译
  • 深度研究
  • 学术资讯
  • Suppr Zotero 插件Zotero 插件
  • 邀请有礼
  • 套餐&价格
  • 历史记录
应用&插件
Suppr Zotero 插件Zotero 插件浏览器插件Mac 客户端Windows 客户端微信小程序
定价
高级版会员购买积分包购买API积分包
服务
文献检索文档翻译深度研究API 文档MCP 服务
关于我们
关于 Suppr公司介绍联系我们用户协议隐私条款
关注我们

Suppr 超能文献

核心技术专利:CN118964589B侵权必究
粤ICP备2023148730 号-1Suppr @ 2026

文献检索

告别复杂PubMed语法,用中文像聊天一样搜索,搜遍4000万医学文献。AI智能推荐,让科研检索更轻松。

立即免费搜索

文件翻译

保留排版,准确专业,支持PDF/Word/PPT等文件格式,支持 12+语言互译。

免费翻译文档

深度研究

AI帮你快速写综述,25分钟生成高质量综述,智能提取关键信息,辅助科研写作。

立即免费体验

经右心室切开术应用双补片技术成功修复心肌梗死后复发性室间隔穿孔:一例报告。

Successful repair of recurrent ventricular septal perforation after myocardial infarction using double patch technique via right ventriculotomy: a case report.

机构信息

Department of Surgery, Graduate School of Biomedical & Health Sciences, Hiroshima University, 1-2-3 Kasumi, Minami-ku, Hiroshima, Hiroshima, 734-8553, Japan.

Department of Cardiovascular Surgery, Hiroshima University Hospital, Kasumi 1-2-3, Minami-ku, Hiroshima, Hiroshima, Japan.

出版信息

J Cardiothorac Surg. 2024 Apr 20;19(1):249. doi: 10.1186/s13019-024-02673-3.

DOI:10.1186/s13019-024-02673-3
PMID:38643135
原文链接:https://pmc.ncbi.nlm.nih.gov/articles/PMC11031853/
Abstract

BACKGROUND

Post-myocardial infarction (MI) ventricular septal perforation (VSP) is a rare but life-threatening complication. Surgical repair is challenging and carries significant risks, particularly in the context of recurrent VSPs. This case study presents a patient with recurrent VSP after initial surgical repair following myocardial infarction.

CASE PRESENTATION

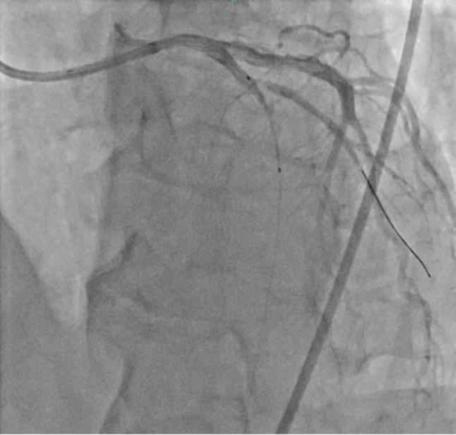
A 65-year-old male were re-administered to our hospital due to recurrent VSP. He was during follow up after undergone emergency VSP closure surgery 2 months earlier, utilizing the bovine double patch technique via left ventriculostomy. The initial VSP was located in the apical part of the interventricular septum, while the recurrent VSP appeared in the upper middle portion of the interventricular septum (Fig. 1). As the previous patch remained intact, the second surgery employed the bovine double patch technique via right ventriculostomy. The patient's condition remained stable without the development of heart failure symptoms.

CONCLUSION

Repairing recurrent VSPs remains a challenge, necessitating the mastery of appropriate approaches to achieve optimal outcomes. Further research and guidelines are required to refine management strategies for recurrent VSPs.

摘要

背景

心肌梗死后室间隔穿孔(VSP)是一种罕见但危及生命的并发症。手术修复具有挑战性,且风险较大,特别是在 VSP 反复发作的情况下。本病例研究报告了 1 例心肌梗死后初次手术修复后反复发作 VSP 的患者。

病例介绍

一名 65 岁男性,因 VSP 反复发作再次入我院。他在 2 个月前因 VSP 行紧急 VSP 关闭手术,通过左心室造口术使用牛双补片技术。初次 VSP 位于室间隔心尖部,而再次 VSP 则出现在室间隔中上段(图 1)。由于先前的补片保持完整,第二次手术通过右心室造口术使用牛双补片技术。患者情况稳定,未出现心力衰竭症状。

结论

修复反复发作的 VSP 仍然具有挑战性,需要掌握适当的方法以获得最佳结果。需要进一步研究和制定指南,以完善反复发作 VSP 的管理策略。

https://cdn.ncbi.nlm.nih.gov/pmc/blobs/ded1/11031853/efc9b738eaa1/13019_2024_2673_Fig4_HTML.jpg
https://cdn.ncbi.nlm.nih.gov/pmc/blobs/ded1/11031853/29a9d12dcad9/13019_2024_2673_Fig2_HTML.jpg
https://cdn.ncbi.nlm.nih.gov/pmc/blobs/ded1/11031853/0068ab081f7c/13019_2024_2673_Fig1_HTML.jpg
https://cdn.ncbi.nlm.nih.gov/pmc/blobs/ded1/11031853/3b773a91a7cc/13019_2024_2673_Fig3_HTML.jpg
https://cdn.ncbi.nlm.nih.gov/pmc/blobs/ded1/11031853/efc9b738eaa1/13019_2024_2673_Fig4_HTML.jpg
https://cdn.ncbi.nlm.nih.gov/pmc/blobs/ded1/11031853/29a9d12dcad9/13019_2024_2673_Fig2_HTML.jpg
https://cdn.ncbi.nlm.nih.gov/pmc/blobs/ded1/11031853/0068ab081f7c/13019_2024_2673_Fig1_HTML.jpg
https://cdn.ncbi.nlm.nih.gov/pmc/blobs/ded1/11031853/3b773a91a7cc/13019_2024_2673_Fig3_HTML.jpg
https://cdn.ncbi.nlm.nih.gov/pmc/blobs/ded1/11031853/efc9b738eaa1/13019_2024_2673_Fig4_HTML.jpg

相似文献

1
Successful repair of recurrent ventricular septal perforation after myocardial infarction using double patch technique via right ventriculotomy: a case report.经右心室切开术应用双补片技术成功修复心肌梗死后复发性室间隔穿孔:一例报告。
J Cardiothorac Surg. 2024 Apr 20;19(1):249. doi: 10.1186/s13019-024-02673-3.
2
Double patch technique for closing acute ventricular septal perforation.
Gen Thorac Cardiovasc Surg. 2010 Nov;58(11):555-60. doi: 10.1007/s11748-010-0632-9. Epub 2010 Nov 11.
3
[Posterior ventricular septal perforation successfully repaired through right ventricular approach].经右心室途径成功修复后室间隔穿孔
Kyobu Geka. 2006 Dec;59(13):1177-80.
4
Modified double patch repair with infarct exclusion technique for ventricular septal perforation: a case study.采用梗死灶排除技术的改良双补片修复术治疗室间隔穿孔:病例报告
J Cardiothorac Surg. 2018 Jan 30;13(1):17. doi: 10.1186/s13019-018-0708-7.
5
[Surgical repair of ventricular septal perforation following acute myocardial infarction in an 86-year-old man].
Nihon Kyobu Geka Gakkai Zasshi. 1995 Oct;43(10):1774-7.
6
[Double-patch technique through right ventriculotomy for residual shunt after infarct exclusion technique for post-infarction ventricular septal perforation].[经右心室切开术采用双补片技术治疗心肌梗死后室间隔穿孔梗死灶切除术后残余分流]
Kyobu Geka. 2011 Nov;64(12):1052-5.
7
[Extended Sandwich Patch Repair with the Right Ventricular Approach for Posterior Ventricular Septal Perforation].
Kyobu Geka. 2020 Feb;73(2):87-91.
8
[Giant Left Ventricular Aneurysm After Double Patch Closure of Ventricular Septal Perforation Through Right Ventriculotomy].[经右心室切开术双补片闭合室间隔穿孔后巨大左心室室壁瘤]
Kyobu Geka. 2024 Feb;77(2):87-91.
9
[Successful Staged Repair of Double Rupture after Acute Myocardial Infarction:Report of a Case].[急性心肌梗死后双破裂的成功分期修复:一例报告]
Kyobu Geka. 2023 Mar;76(3):212-215.
10
New infarct exclusion repair using cohesive double-patch closer.使用粘性双贴片闭合器进行新型梗死灶排除修复。
Interact Cardiovasc Thorac Surg. 2012 Mar;14(3):353-5. doi: 10.1093/icvts/ivr120. Epub 2011 Dec 18.

本文引用的文献

1
Transition to heart transplantation in post-myocardial infarction ventricular septal rupture: a systematic review.心肌梗死后室间隔破裂患者过渡到心脏移植:一项系统评价
Heart Fail Rev. 2023 Jan;28(1):217-227. doi: 10.1007/s10741-021-10161-2. Epub 2021 Oct 21.
2
Surgical Repair of Postinfarction Ventricular Septal Rupture: Systematic Review and Meta-Analysis.心肌梗死后室间隔破裂的外科修复:系统评价和荟萃分析。
Ann Thorac Surg. 2021 Jul;112(1):326-337. doi: 10.1016/j.athoracsur.2020.08.050. Epub 2020 Nov 4.
3
Successful percutaneous treatment of recurrent post-infarction ventricular septal rupture using an Amplatzer duct occluder.
使用Amplatzer导管封堵器成功经皮治疗复发性心肌梗死后室间隔破裂。
J Cardiol Cases. 2019 Sep 25;21(1):12-15. doi: 10.1016/j.jccase.2019.09.003. eCollection 2020 Jan.
4
Surgical Repair of Post-Infarction Ventricular Septal Defect - Findings From a Japanese National Database.心肌梗死后室间隔缺损的外科修复 - 来自日本国家数据库的结果。
Circ J. 2019 Oct 25;83(11):2229-2235. doi: 10.1253/circj.CJ-19-0593. Epub 2019 Sep 11.
5
Modified Infarct Exclusion Technique for Repair of Postinfarction Ventricular Septal Rupture.改良梗死心肌隔离技术修复心肌梗死后室间隔破裂。
Ann Thorac Surg. 2019 Mar;107(3):e219-e221. doi: 10.1016/j.athoracsur.2018.09.045. Epub 2018 Nov 4.
6
Modified double patch repair with infarct exclusion technique for ventricular septal perforation: a case study.采用梗死灶排除技术的改良双补片修复术治疗室间隔穿孔:病例报告
J Cardiothorac Surg. 2018 Jan 30;13(1):17. doi: 10.1186/s13019-018-0708-7.
7
Percutaneous closure of post-infarction ventricular septal defect using an Amplatzer septal occluder.使用Amplatzer房间隔封堵器经皮闭合心肌梗死后室间隔缺损
Cardiovasc Interv Ther. 2013 Apr;28(2):216-21. doi: 10.1007/s12928-012-0150-z. Epub 2012 Dec 7.
8
New infarct exclusion repair using cohesive double-patch closer.使用粘性双贴片闭合器进行新型梗死灶排除修复。
Interact Cardiovasc Thorac Surg. 2012 Mar;14(3):353-5. doi: 10.1093/icvts/ivr120. Epub 2011 Dec 18.
9
Transcatheter repair of recurrent postinfarct ventricular septal defects.经导管修复复发性心肌梗死后室间隔缺损
Ann Thorac Surg. 2005 Nov;80(5):1907-9. doi: 10.1016/j.athoracsur.2004.06.006.
10
Risk factors, angiographic patterns, and outcomes in patients with ventricular septal defect complicating acute myocardial infarction. GUSTO-I (Global Utilization of Streptokinase and TPA for Occluded Coronary Arteries) Trial Investigators.室间隔缺损合并急性心肌梗死患者的危险因素、血管造影模式及预后。GUSTO-I(全球应用链激酶和组织型纤溶酶原激活剂治疗冠状动脉闭塞)试验研究者。
Circulation. 2000;101(1):27-32. doi: 10.1161/01.cir.101.1.27.