Department of Thoracic Surgery, The First Affiliated Hospital of Xi'an Jiaotong University, Xi'an, Shaanxi, China.
Department of Radiation Oncology, Shaanxi Provincial People's Hospital, Xi'an, Shaanxi, China.
Cell Death Dis. 2024 Apr 20;15(4):282. doi: 10.1038/s41419-024-06635-4.
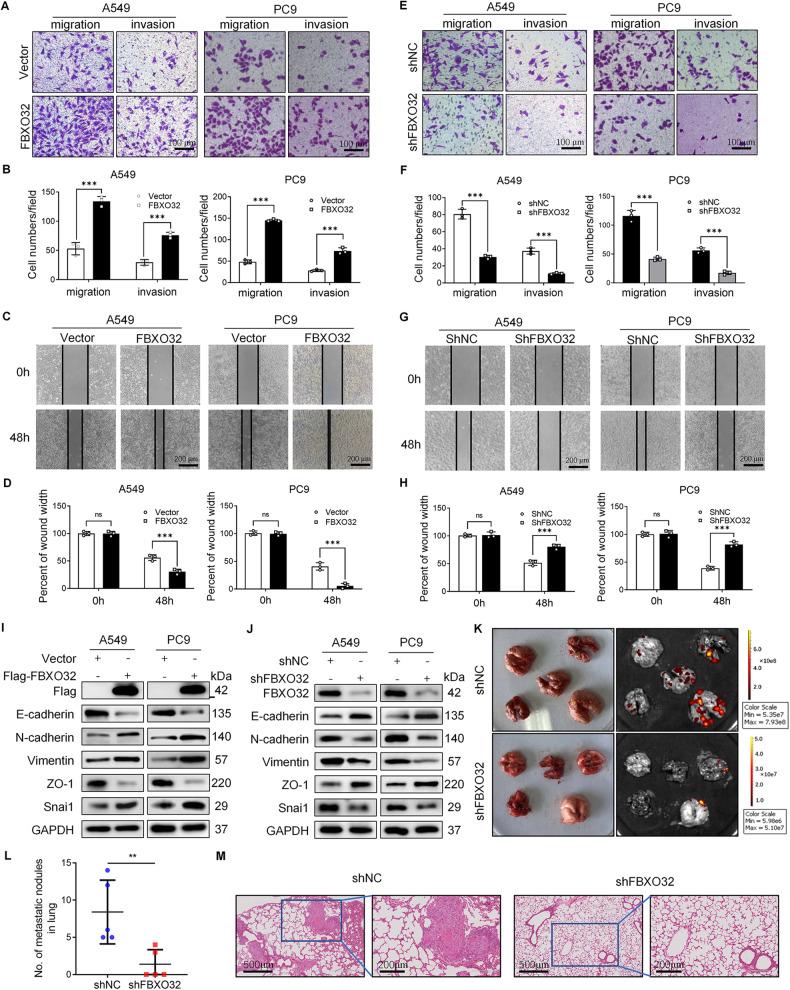
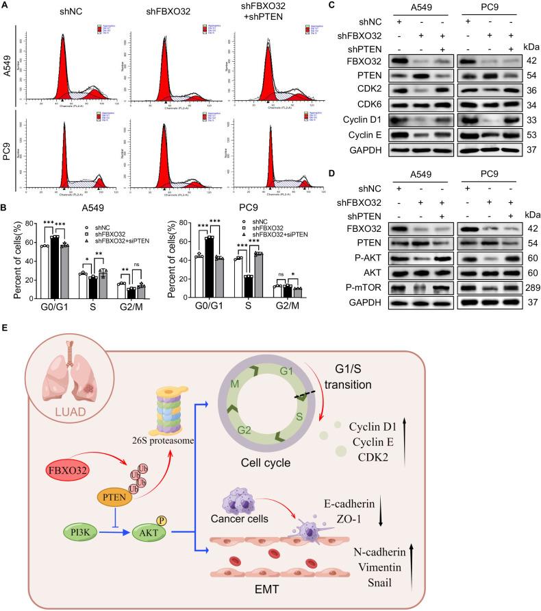
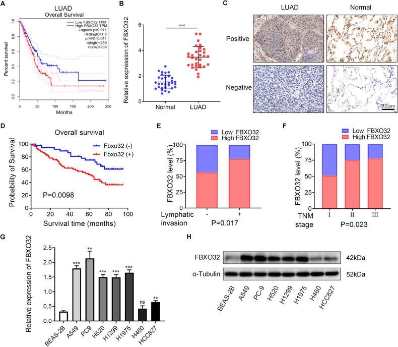
FBXO32, a member of the F-box protein family, is known to play both oncogenic and tumor-suppressive roles in different cancers. However, the functions and the molecular mechanisms regulated by FBXO32 in lung adenocarcinoma (LUAD) remain unclear. Here, we report that FBXO32 is overexpressed in LUAD compared with normal lung tissues, and high expression of FBXO32 correlates with poor prognosis in LUAD patients. Firstly, we observed with a series of functional experiments that FBXO32 alters the cell cycle and promotes the invasion and metastasis of LUAD cells. We further corroborate our findings using in vivo mouse models of metastasis and confirmed that FBXO32 positively regulates LUAD tumor metastasis. Using a proteomic-based approach combined with computational analyses, we found a positive correlation between FBXO32 and the PI3K/AKT/mTOR pathway, and identified PTEN as a FBXO32 interactor. More important, FBXO32 binds PTEN via its C-terminal substrate binding domain and we also validated PTEN as a bona fide FBXO32 substrate. Finally, we demonstrated that FBXO32 promotes EMT and regulates the cell cycle by targeting PTEN for proteasomal-dependent degradation. In summary, our study highlights the role of FBXO32 in promoting the PI3K/AKT/mTOR pathway via PTEN degradation, thereby fostering lung adenocarcinoma progression.
FBXO32 是 F-box 蛋白家族的一员,已知在不同的癌症中发挥致癌和抑癌作用。然而,FBXO32 在肺腺癌 (LUAD) 中的功能和受其调控的分子机制仍不清楚。在这里,我们报告称,与正常肺组织相比,FBXO32 在 LUAD 中过表达,并且 FBXO32 的高表达与 LUAD 患者的预后不良相关。首先,我们通过一系列功能实验观察到,FBXO32 改变细胞周期并促进 LUAD 细胞的侵袭和转移。我们使用转移的体内小鼠模型进一步证实了我们的发现,并证实 FBXO32 可正向调节 LUAD 肿瘤转移。通过基于蛋白质组学的方法结合计算分析,我们发现 FBXO32 与 PI3K/AKT/mTOR 通路之间存在正相关关系,并鉴定出 PTEN 是 FBXO32 的相互作用蛋白。更重要的是,FBXO32 通过其 C 末端底物结合结构域与 PTEN 结合,我们还验证了 PTEN 是 FBXO32 的真正底物。最后,我们证明 FBXO32 通过靶向 PTEN 进行蛋白酶体依赖性降解,促进 EMT 并调节细胞周期。总之,我们的研究强调了 FBXO32 通过降解 PTEN 促进 PI3K/AKT/mTOR 通路的作用,从而促进肺腺癌的进展。