• 文献检索
  • 文档翻译
  • 深度研究
  • 学术资讯
  • Suppr Zotero 插件Zotero 插件
  • 邀请有礼
  • 套餐&价格
  • 历史记录
应用&插件
Suppr Zotero 插件Zotero 插件浏览器插件Mac 客户端Windows 客户端微信小程序
定价
高级版会员购买积分包购买API积分包
服务
文献检索文档翻译深度研究API 文档MCP 服务
关于我们
关于 Suppr公司介绍联系我们用户协议隐私条款
关注我们

Suppr 超能文献

核心技术专利:CN118964589B侵权必究
粤ICP备2023148730 号-1Suppr @ 2026

文献检索

告别复杂PubMed语法,用中文像聊天一样搜索,搜遍4000万医学文献。AI智能推荐,让科研检索更轻松。

立即免费搜索

文件翻译

保留排版,准确专业,支持PDF/Word/PPT等文件格式,支持 12+语言互译。

免费翻译文档

深度研究

AI帮你快速写综述,25分钟生成高质量综述,智能提取关键信息,辅助科研写作。

立即免费体验

机器人辅助髋臼前柱钢板固定术——一种新技术的临床描述

Robotic-assisted plate fixation of the anterior acetabulum - clinical description of a new technique.

作者信息

Kabir Koroush, von Rundstedt Friedrich-Carl, Roos Jonas, Gathen Martin

机构信息

Centre of Trauma and Orthopaedic Surgery, Helios University Clinic Wuppertal, Wuppertal, Germany.

Department of Urology, Helios University Hospital Wuppertal, University of Witten/Herdecke, Wuppertal, Germany.

出版信息

J Orthop Surg Res. 2024 Apr 22;19(1):253. doi: 10.1186/s13018-024-04731-x.

DOI:10.1186/s13018-024-04731-x
PMID:38644485
原文链接:https://pmc.ncbi.nlm.nih.gov/articles/PMC11034051/
Abstract

INTRODUCTION

We present a detailed procedure for the robotic-assisted plate osteosynthesis of an anterior acetabular fracture. The purpose of this work was to describe a robotic-assisted minimally invasive technique as a possible method for reducing complications, pain, and hospitalization. Another goal was to present technical recommendations and to assess potential pitfalls and problems of the new surgical approach.

METHODS

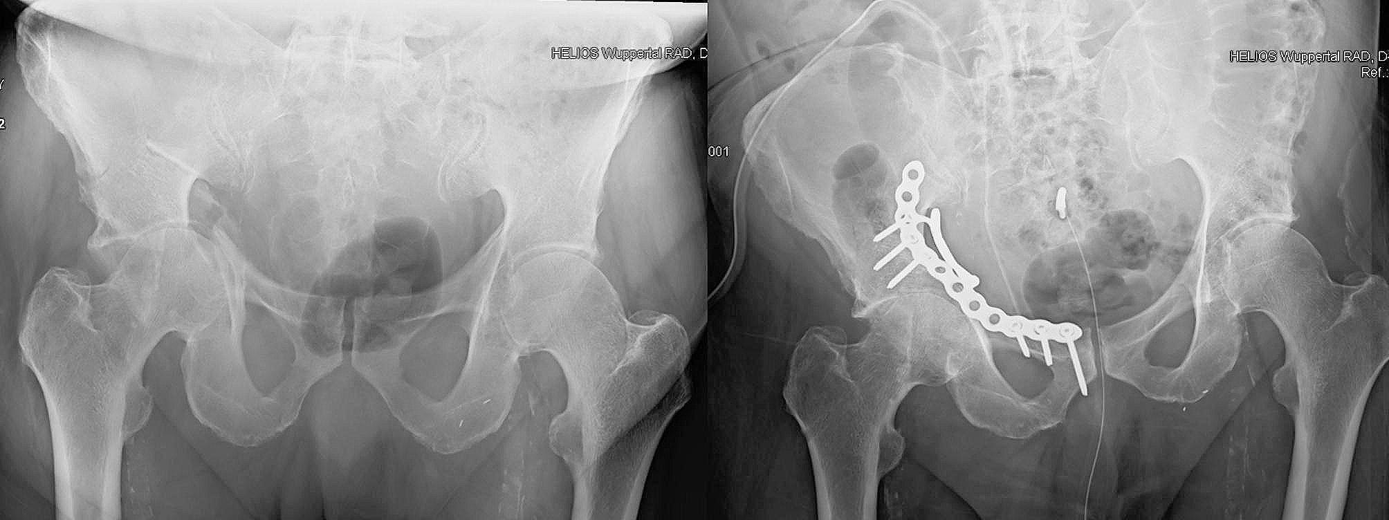
Surgery was performed in an interdisciplinary setting by an experienced orthopedic surgeon and a urologist. The DaVinci System with standard instruments was used. Reduction was achieved through indirect traction of a pin that was introduced into the femoral neck and direct manipulation via the plate. The plate position and fixation were achieved through 7 additional minimally invasive incisions.

RESULTS

The technique has multiple advantages, such as no detachment of the rectus abdominal muscle, a small skin incision, and minimal blood loss. Furthermore, this approach might lower the incidence of hernia formation, infection, and postoperative pain.

DISCUSSION

We see the presented technique as a demanding yet progressive and innovative surgical method for treating acetabular fractures with indications for anterior plate fixation.

TRIAL REGISTRATION

The study was approved by the local institutional review board (Nr. 248/18).

摘要

引言

我们介绍一种用于髋臼前柱骨折机器人辅助钢板内固定的详细手术步骤。这项工作的目的是描述一种机器人辅助的微创技术,作为减少并发症、疼痛和住院时间的一种可能方法。另一个目标是提出技术建议,并评估这种新手术方法的潜在陷阱和问题。

方法

手术在多学科环境下由一位经验丰富的骨科医生和一位泌尿科医生进行。使用配备标准器械的达芬奇系统。通过将一根针插入股骨颈进行间接牵引,并通过钢板进行直接操作来实现复位。通过另外7个微创切口来实现钢板的定位和固定。

结果

该技术具有多种优点,如腹直肌无分离、皮肤切口小、失血少。此外,这种方法可能会降低疝气形成、感染和术后疼痛的发生率。

讨论

我们认为所介绍的技术是一种用于治疗有前柱钢板固定指征的髋臼骨折的要求高但先进且创新的手术方法。

试验注册

该研究已获得当地机构审查委员会的批准(编号248/18)。

https://cdn.ncbi.nlm.nih.gov/pmc/blobs/b931/11034051/289b09c99284/13018_2024_4731_Fig5_HTML.jpg
https://cdn.ncbi.nlm.nih.gov/pmc/blobs/b931/11034051/24f4e8870de2/13018_2024_4731_Fig1_HTML.jpg
https://cdn.ncbi.nlm.nih.gov/pmc/blobs/b931/11034051/6b6aa041b006/13018_2024_4731_Fig2_HTML.jpg
https://cdn.ncbi.nlm.nih.gov/pmc/blobs/b931/11034051/a7b9f1f07eb7/13018_2024_4731_Fig3_HTML.jpg
https://cdn.ncbi.nlm.nih.gov/pmc/blobs/b931/11034051/13848ca717bc/13018_2024_4731_Fig4_HTML.jpg
https://cdn.ncbi.nlm.nih.gov/pmc/blobs/b931/11034051/289b09c99284/13018_2024_4731_Fig5_HTML.jpg
https://cdn.ncbi.nlm.nih.gov/pmc/blobs/b931/11034051/24f4e8870de2/13018_2024_4731_Fig1_HTML.jpg
https://cdn.ncbi.nlm.nih.gov/pmc/blobs/b931/11034051/6b6aa041b006/13018_2024_4731_Fig2_HTML.jpg
https://cdn.ncbi.nlm.nih.gov/pmc/blobs/b931/11034051/a7b9f1f07eb7/13018_2024_4731_Fig3_HTML.jpg
https://cdn.ncbi.nlm.nih.gov/pmc/blobs/b931/11034051/13848ca717bc/13018_2024_4731_Fig4_HTML.jpg
https://cdn.ncbi.nlm.nih.gov/pmc/blobs/b931/11034051/289b09c99284/13018_2024_4731_Fig5_HTML.jpg

相似文献

1
Robotic-assisted plate fixation of the anterior acetabulum - clinical description of a new technique.机器人辅助髋臼前柱钢板固定术——一种新技术的临床描述
J Orthop Surg Res. 2024 Apr 22;19(1):253. doi: 10.1186/s13018-024-04731-x.
2
Minimally invasive screw fixation is as stable as anterior plating in acetabular T-Type fractures - a biomechanical study.髋臼T型骨折中微创螺钉固定与前路钢板固定稳定性相当——一项生物力学研究
Orthop Traumatol Surg Res. 2018 Nov;104(7):1055-1061. doi: 10.1016/j.otsr.2018.06.013. Epub 2018 Sep 1.
3
Robotic-assisted plate osteosynthesis of the anterior pelvic ring and acetabulum: an anatomical feasibility study.机器人辅助骨盆前路钢板固定联合髋臼骨折内固定的解剖可行性研究
J Robot Surg. 2022 Dec;16(6):1401-1407. doi: 10.1007/s11701-022-01381-1. Epub 2022 Feb 11.
4
Minimally Invasive Pelvic and Acetabular Surgery: Case Report of a Robot-Assisted Osteosynthesis of an Open-Book Injury of the Pelvic Ring.微创骨盆和髋臼手术:机器人辅助骨盆环耻骨支骨折切开复位内固定术 1 例报告。
Int J Med Robot. 2024 Oct;20(5):e70002. doi: 10.1002/rcs.70002.
5
Minimally invasive plate osteosynthesis of acetabular anterior column fractures using the two-incision minimally invasive approach and a preshaped three dimension plate.采用双切口微创入路及预塑形三维接骨板对髋臼前柱骨折进行微创钢板接骨术。
Int Orthop. 2016 Oct;40(10):2157-2162. doi: 10.1007/s00264-015-3111-1. Epub 2016 Jan 15.
6
Total endoscopic anterior pelvic approach (TAPA) - A new approach to the internal fixation of the symphysis.全内镜前路骨盆入路(TAPA)-耻骨联合内固定的新入路。
Injury. 2022 Feb;53(2):802-808. doi: 10.1016/j.injury.2021.09.043. Epub 2021 Oct 1.
7
[Single cannulated screws for stabilisation of pelvic ring and acetabular fractures].[用于骨盆环和髋臼骨折固定的单空心螺钉]
Acta Chir Orthop Traumatol Cech. 2011;78(6):568-77.
8
Guidance for Treatment of Pelvic Acetabular Injuries with Precise Minimally Invasive Internal Fixation Based on the Orthopaedic Surgery Robot Positioning System.基于骨科手术机器人定位系统的精准微创内固定治疗骨盆髋臼损伤指南。
Orthop Surg. 2019 Jun;11(3):341-347. doi: 10.1111/os.12452. Epub 2019 May 7.
9
[Minimally invasive percutaneous plate osteosynthesis for the treatment of acetabulum anterior column fracture with intact true pelvic brim].微创经皮钢板接骨术治疗真性骨盆缘完整的髋臼前柱骨折
Zhongguo Gu Shang. 2017 Jun 25;30(6):561-565. doi: 10.3969/j.issn.1003-0034.2017.06.015.
10
Less Invasive Anterior Iliac Approach and Compression Osteosynthesis for the Treatment of High Anterior Column Fractures of the Acetabulum.微创髂前入路及加压接骨术治疗髋臼前柱高位骨折
Clin Orthop Surg. 2018 Sep;10(3):279-285. doi: 10.4055/cios.2018.10.3.279. Epub 2018 Aug 22.

引用本文的文献

1
A new individually designed 3D printing guide plate-assisted internal fixator (INFIX) surgery for the treatment of pelvic fractures.一种新型个体化设计的3D打印导板辅助内固定器(INFIX)手术治疗骨盆骨折。
J Orthop Surg Res. 2025 Aug 19;20(1):770. doi: 10.1186/s13018-025-06125-z.

本文引用的文献

1
Robotic-assisted plate osteosynthesis of the anterior pelvic ring and acetabulum: an anatomical feasibility study.机器人辅助骨盆前路钢板固定联合髋臼骨折内固定的解剖可行性研究
J Robot Surg. 2022 Dec;16(6):1401-1407. doi: 10.1007/s11701-022-01381-1. Epub 2022 Feb 11.
2
Robot-assisted fracture fixation in orthopaedic trauma surgery: a systematic review.骨科创伤手术中的机器人辅助骨折固定:一项系统综述。
OTA Int. 2021 Oct 5;4(4):e153. doi: 10.1097/OI9.0000000000000153. eCollection 2021 Dec.
3
Total endoscopic anterior pelvic approach (TAPA) - A new approach to the internal fixation of the symphysis.
全内镜前路骨盆入路(TAPA)-耻骨联合内固定的新入路。
Injury. 2022 Feb;53(2):802-808. doi: 10.1016/j.injury.2021.09.043. Epub 2021 Oct 1.
4
APACHE-Anterior Plating of the Acetabulum in Hemi-Endoscopic Technique: An Alternative Method for Internal Fixation of the Acetabulum.APACHE-半关节镜技术下髋臼前路钢板固定:髋臼内固定的一种替代方法
Arthrosc Tech. 2021 Jun 20;10(7):e1815-e1819. doi: 10.1016/j.eats.2021.03.030. eCollection 2021 Jul.
5
Laparoscopic Acetabular Surgery (LASY) - vision or illusion?腹腔镜髋臼手术(LASY)——是视觉还是幻觉?
Orthop Traumatol Surg Res. 2021 Oct;107(6):102964. doi: 10.1016/j.otsr.2021.102964. Epub 2021 May 24.
6
Guidance for Treatment of Pelvic Acetabular Injuries with Precise Minimally Invasive Internal Fixation Based on the Orthopaedic Surgery Robot Positioning System.基于骨科手术机器人定位系统的精准微创内固定治疗骨盆髋臼损伤指南。
Orthop Surg. 2019 Jun;11(3):341-347. doi: 10.1111/os.12452. Epub 2019 May 7.
7
The Pararectus Approach: A New Concept.腹直肌旁入路:一种新概念。
JBJS Essent Surg Tech. 2018 Jul 25;8(3):e21. doi: 10.2106/JBJS.ST.17.00060. eCollection 2018 Sep 28.
8
The Ilioinguinal Approach: State of the Art.腹股沟下入路:最新技术水平
JBJS Essent Surg Tech. 2018 Jun 27;8(2):e19. doi: 10.2106/JBJS.ST.16.00101.
9
Endoscopic Approach to the Quadrilateral Plate (EAQUAL): a New Endoscopic Approach for Plate Osteosynthesis of the Pelvic Ring and Acetabulum - a Cadaver Study.四边形钢板的内镜入路(EAQUAL):一种用于骨盆环和髋臼钢板内固定的新内镜入路——尸体研究
Z Orthop Unfall. 2019 Feb;157(1):22-28. doi: 10.1055/a-0621-9570. Epub 2018 Jun 14.
10
Comparison of retropubic, laparoscopic and robotic radical prostatectomy: who is the winner?经耻骨后、腹腔镜和机器人辅助根治性前列腺切除术的比较:谁是赢家?
World J Urol. 2018 Apr;36(4):609-621. doi: 10.1007/s00345-018-2174-1. Epub 2018 Jan 23.