Suppr超能文献

尼日利亚人良性脂肪性软组织肿瘤:对一种常见但重要实体的临床及形态学特征分析

Benign Lipomatous Soft Tissue Tumors in Nigerians: An Analysis of the Clinical and Morphological Features of a Common but Important Entity.

作者信息

Ezike Kevin N, Okwudire-Ejeh Ijeoma A, Ahmed Sule I, Salu Iliya K, Aghahowa Michael E, Dallang Bamnan, Umar Umar M

机构信息

Anatomic Pathology and Forensic Medicine, Nile University of Nigeria, Abuja, NGA.

Anatomic Pathology and Forensic Medicine, Asokoro District Hospital, Abuja, NGA.

出版信息

Cureus. 2024 Mar 21;16(3):e56618. doi: 10.7759/cureus.56618. eCollection 2024 Mar.

Abstract

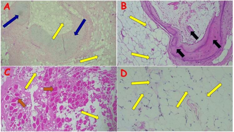
Introduction Benign lipomatous tumors are soft tissue tumors that exhibit a predominant adipocytic phenotype. Lipomas are the archetype and are the most common benign soft tissue tumors in adults but relatively uncommon in children. Their sex incidence is equivocal. They sometimes occur in combination with other mesenchymal elements, giving rise to variants including fibrolipoma, angiolipoma, myolipoma, spindle cell lipoma, chondroid lipoma, osteolipoma, and chondrolipoma. Their clinical significance is mainly due to the cosmetic disfigurement of patients and the differential diagnosis of malignant soft tissue tumors. Occasionally, due to their large size or presence near vital organs, they may cause life-threatening and/or excruciating pressure symptoms. This study was purposed to address the dearth of local studies on the clinical and morphological characteristics of benign lipomatous tumors in Nigerians, to compare these with those of other populations, and to establish baseline data. Materials and methods This was a retrospective study of all benign lipomatous tumors seen in the anatomic pathology and forensic medicine department of Asokoro District Hospital, Abuja, Federal Capital Territory, Nigeria, over an eight-year period. Surgical pathology reports were retrieved for patients' biodata and clinical information. The appropriate slides were retrieved, and reviewed, and new sections were cut where necessary. The tumors were classified according to the 2020 World Health Organization (WHO) guidelines and categorized based on size as small, medium, or giant. The data obtained were analyzed, and the results were presented as tables, bar charts, ratios, and percentages. Results Four hundred and eighteen cases met the inclusion criteria. Of these, 58.4% (244/418), occurred in females, while 41.6% (174/418) occurred in males. The age range was six to 91 years, while the median age was 42 years. The least number of cases, 0.5% (2/418), were seen in patients aged less than 10 years, while the majority, 35.4% (148/418), occurred in the fifth decade, followed by 27.8% (116/418) in the fourth. Size-wise, the majority of tumors, 60% (253/418), were medium, followed by small, 22.8% (95/418). Giant-sized tumors significantly accounted for 16.7% (70/418) of the cases. The diagnostic spectrum comprised conventional lipoma and variants such as fibrolipoma, spindle cell lipoma, pleomorphic lipoma, angiolipoma, chondrolipoma, intramuscular lipoma, and osteolipoma. Lipoma and fibrolipoma dominated with 87.1% (364/418) and 10.0% (42/418), respectively, while the rest accounted for <3%. The majority, 31.8% (133/418), occurred in the back/shoulder region, followed by the lower limb with 18.2% (76/418). Only two cases occurred in the abdominal/pelvic region. More tumors occurred in females in all the regions except the head and neck, which had a male-to-female ratio of 1.5:1. Multiple site tumors were more common in males in a ratio of 2.5:1. Most, 41.1% (39/95), of the small-sized tumors, occurred in the head/neck region, largely involving the face, 48.7% (19/39). Conclusion Our study showed many similarities in the clinical and morphological features of benign lipomatous tumors between Nigerians and other regions of the world. A notable finding, however, was the significantly higher proportion of giant benign lipomatous tumors when compared to studies from other regions, a finding that warrants further studies.

摘要

引言 良性脂肪瘤性肿瘤是一种以脂肪细胞表型为主的软组织肿瘤。脂肪瘤是其原型,是成人中最常见的良性软组织肿瘤,但在儿童中相对少见。其性别发病率尚无定论。它们有时与其他间充质成分同时出现,产生包括纤维脂肪瘤、血管脂肪瘤、肌脂肪瘤、梭形细胞脂肪瘤、软骨样脂肪瘤、骨脂肪瘤和软骨脂肪瘤等变体。它们的临床意义主要在于患者的美容缺陷以及与恶性软组织肿瘤的鉴别诊断。偶尔,由于其体积大或位于重要器官附近,它们可能会引起危及生命和/或极度痛苦的压迫症状。本研究旨在解决尼日利亚缺乏关于良性脂肪瘤性肿瘤临床和形态特征的本地研究的问题,将这些特征与其他人群的特征进行比较,并建立基线数据。

材料和方法 这是一项对尼日利亚联邦首都地区阿布贾阿索科罗区医院解剖病理学和法医学科在八年期间所见的所有良性脂肪瘤性肿瘤的回顾性研究。检索手术病理报告以获取患者的生物数据和临床信息。检索并复查合适的切片,必要时切取新切片。根据2020年世界卫生组织(WHO)指南对肿瘤进行分类,并根据大小分为小、中或巨大。对获得的数据进行分析,结果以表格、柱状图、比率和百分比表示。

结果 418例符合纳入标准。其中,58.4%(244/418)发生在女性,而41.6%(174/418)发生在男性。年龄范围为6至91岁,中位年龄为42岁。年龄小于10岁的患者中病例数最少,为0.5%(2/418),而大多数病例,35.4%(148/418)发生在第五个十年,其次是第四个十年的27.8%(116/418)。在大小方面,大多数肿瘤,60%(253/418)为中等大小,其次是小肿瘤,22.8%(95/418)。巨大肿瘤占病例的16.7%(70/418)。诊断范围包括传统脂肪瘤及其变体,如纤维脂肪瘤、梭形细胞脂肪瘤、多形性脂肪瘤、血管脂肪瘤、软骨脂肪瘤、肌内脂肪瘤和骨脂肪瘤。脂肪瘤和纤维脂肪瘤分别占主导,比例为87.1%(364/418)和10.0%(42/418),其余占比<3%。大多数肿瘤,31.8%(133/418)发生在背部/肩部区域,其次是下肢,占18.2%(76/418)。只有两例发生在腹部/盆腔区域。除头颈部外,所有区域女性发生的肿瘤更多,头颈部男女比例为1.5:1。男性多发部位肿瘤更常见,比例为2.5:1。大多数小肿瘤,41.1%(39/95)发生在头颈部区域,主要累及面部,占48.7%(19/39)。

结论 我们的研究表明,尼日利亚人与世界其他地区在良性脂肪瘤性肿瘤的临床和形态特征方面有许多相似之处。然而,一个显著的发现是,与其他地区的研究相比,巨大良性脂肪瘤性肿瘤的比例明显更高,这一发现值得进一步研究。

https://cdn.ncbi.nlm.nih.gov/pmc/blobs/d1ce/11031710/b38ef24980f4/cureus-0016-00000056618-i01.jpg

文献AI研究员

20分钟写一篇综述,助力文献阅读效率提升50倍。

立即体验

用中文搜PubMed

大模型驱动的PubMed中文搜索引擎

马上搜索

文档翻译

学术文献翻译模型,支持多种主流文档格式。

立即体验