• 文献检索
  • 文档翻译
  • 深度研究
  • 学术资讯
  • Suppr Zotero 插件Zotero 插件
  • 邀请有礼
  • 套餐&价格
  • 历史记录
应用&插件
Suppr Zotero 插件Zotero 插件浏览器插件Mac 客户端Windows 客户端微信小程序
定价
高级版会员购买积分包购买API积分包
服务
文献检索文档翻译深度研究API 文档MCP 服务
关于我们
关于 Suppr公司介绍联系我们用户协议隐私条款
关注我们

Suppr 超能文献

核心技术专利:CN118964589B侵权必究
粤ICP备2023148730 号-1Suppr @ 2026

文献检索

告别复杂PubMed语法,用中文像聊天一样搜索,搜遍4000万医学文献。AI智能推荐,让科研检索更轻松。

立即免费搜索

文件翻译

保留排版,准确专业,支持PDF/Word/PPT等文件格式,支持 12+语言互译。

免费翻译文档

深度研究

AI帮你快速写综述,25分钟生成高质量综述,智能提取关键信息,辅助科研写作。

立即免费体验

低分割放疗治疗间变性甲状腺癌患者的长期生存:一例报告

Long-Term Survival of a Patient With Anaplastic Thyroid Carcinoma Treated With Hypofractionated Radiotherapy: A Case Report.

作者信息

Tanaka Mitsuki, Hatayama Yoshiomi, Kawaguchi Hideo, Fujioka Ichitaro, Aoki Masahiro

机构信息

Department of Radiation Oncology, Hirosaki University Graduate School of Medicine, Hirosaki, JPN.

出版信息

Cureus. 2024 Mar 22;16(3):e56689. doi: 10.7759/cureus.56689. eCollection 2024 Mar.

DOI:10.7759/cureus.56689
PMID:38646274
原文链接:https://pmc.ncbi.nlm.nih.gov/articles/PMC11032507/
Abstract

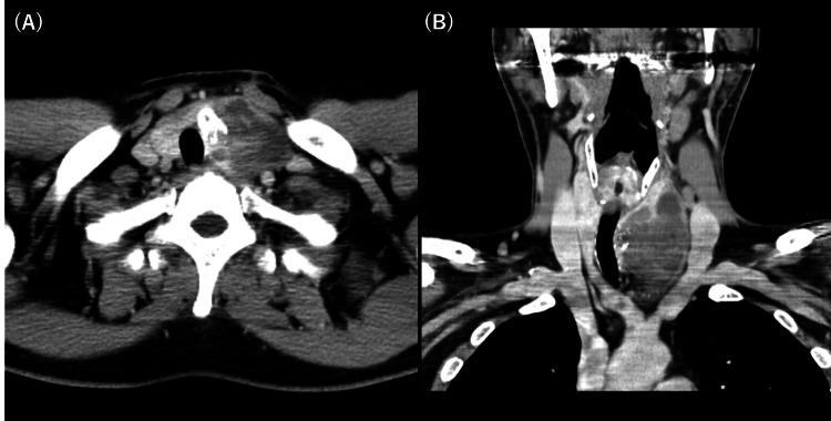
Anaplastic thyroid carcinoma, a rare type of primary thyroid cancer, is one of the most aggressive neoplasms with a poor prognosis. Many cases are in the advanced stage at the time of the initial visit, and curative treatment is impossible. Because of the highly radioresistant nature of anaplastic thyroid carcinoma, this condition cannot be properly controlled with conventional radiotherapy. Herein, we report the case of a patient with anaplastic thyroid carcinoma who underwent hypofractionated radiotherapy, attained a complete response, and is still alive more than 10 years after treatment with no evidence of disease. To overcome the high radioresistance of anaplastic thyroid carcinoma, we administered 50 Gy in 10 fractions three times a week. Furthermore, we administered paclitaxel and carboplatin sequentially before and after radiotherapy. Consequently, the patient completed treatment and reached a complete response. He is still alive more than 10 years after treatment with no evidence of disease or severe adverse events. Hypofractionated radiation therapy may provide good control of locally advanced anaplastic thyroid carcinoma.

摘要

间变性甲状腺癌是一种罕见的原发性甲状腺癌,是最具侵袭性的肿瘤之一,预后较差。许多病例在初诊时就已处于晚期,无法进行根治性治疗。由于间变性甲状腺癌具有高度放射抗性,传统放疗无法有效控制这种疾病。在此,我们报告一例间变性甲状腺癌患者,该患者接受了大分割放疗,获得了完全缓解,并且在治疗后存活超过10年,无疾病迹象。为克服间变性甲状腺癌的高放射抗性,我们每周三次,分10次给予50 Gy的剂量。此外,我们在放疗前后序贯给予紫杉醇和卡铂。结果,患者完成治疗并达到完全缓解。治疗后他存活超过10年,无疾病迹象或严重不良事件。大分割放射治疗可能对局部晚期间变性甲状腺癌有良好的控制效果。

https://cdn.ncbi.nlm.nih.gov/pmc/blobs/3bf4/11032507/c995ae526dd4/cureus-0016-00000056689-i05.jpg
https://cdn.ncbi.nlm.nih.gov/pmc/blobs/3bf4/11032507/a69f9621d1d5/cureus-0016-00000056689-i01.jpg
https://cdn.ncbi.nlm.nih.gov/pmc/blobs/3bf4/11032507/f54d2e6cba44/cureus-0016-00000056689-i02.jpg
https://cdn.ncbi.nlm.nih.gov/pmc/blobs/3bf4/11032507/05a56ef36962/cureus-0016-00000056689-i03.jpg
https://cdn.ncbi.nlm.nih.gov/pmc/blobs/3bf4/11032507/7431fa709ad7/cureus-0016-00000056689-i04.jpg
https://cdn.ncbi.nlm.nih.gov/pmc/blobs/3bf4/11032507/c995ae526dd4/cureus-0016-00000056689-i05.jpg
https://cdn.ncbi.nlm.nih.gov/pmc/blobs/3bf4/11032507/a69f9621d1d5/cureus-0016-00000056689-i01.jpg
https://cdn.ncbi.nlm.nih.gov/pmc/blobs/3bf4/11032507/f54d2e6cba44/cureus-0016-00000056689-i02.jpg
https://cdn.ncbi.nlm.nih.gov/pmc/blobs/3bf4/11032507/05a56ef36962/cureus-0016-00000056689-i03.jpg
https://cdn.ncbi.nlm.nih.gov/pmc/blobs/3bf4/11032507/7431fa709ad7/cureus-0016-00000056689-i04.jpg
https://cdn.ncbi.nlm.nih.gov/pmc/blobs/3bf4/11032507/c995ae526dd4/cureus-0016-00000056689-i05.jpg

相似文献

1
Long-Term Survival of a Patient With Anaplastic Thyroid Carcinoma Treated With Hypofractionated Radiotherapy: A Case Report.低分割放疗治疗间变性甲状腺癌患者的长期生存:一例报告
Cureus. 2024 Mar 22;16(3):e56689. doi: 10.7759/cureus.56689. eCollection 2024 Mar.
2
Aggressive Palliation and Survival in Anaplastic Thyroid Carcinoma.间变性甲状腺癌的积极姑息治疗与生存情况
JAMA Otolaryngol Head Neck Surg. 2015 Dec;141(12):1128-32. doi: 10.1001/jamaoto.2015.2332.
3
Hypofractionated Radiotherapy Is Superior to Conventional Fractionation in an Orthotopic Model of Anaplastic Thyroid Cancer.低分割放疗在甲状腺未分化癌的原位模型中优于常规分割。
Thyroid. 2018 Jun;28(6):739-747. doi: 10.1089/thy.2017.0706.
4
A multimodality therapeutic approach in anaplastic thyroid carcinoma: study on 39 patients.间变性甲状腺癌的多模态治疗方法:39例患者的研究
J Endocrinol Invest. 2000 Dec;23(11):755-61. doi: 10.1007/BF03345066.
5
Hypofractionated Radiotherapy for Anaplastic Thyroid Carcinoma: 15 Years of Experience in a Single Institution.甲状腺未分化癌的大分割放疗:单机构15年经验
Eur Thyroid J. 2019 Jan;8(1):24-30. doi: 10.1159/000493315. Epub 2018 Oct 4.
6
Outcomes of multimodal therapy in a large series of patients with anaplastic thyroid cancer.大系列侵袭性甲状腺癌患者多模态治疗的结果。
Cancer. 2020 Jan 15;126(2):444-452. doi: 10.1002/cncr.32548. Epub 2019 Oct 8.
7
External beam radiotherapy for thyroid cancer: Patients, complications, and survival.甲状腺癌的外照射治疗:患者、并发症和生存。
Am J Surg. 2023 Jun;225(6):994-999. doi: 10.1016/j.amjsurg.2023.01.009. Epub 2023 Jan 11.
8
Hypofractionated Radiotherapy for Anaplastic Thyroid Cancer: Systematic Review and Pooled Analysis.分化型甲状腺癌的大分割放疗:系统评价与汇总分析
Cancers (Basel). 2020 Sep 3;12(9):2506. doi: 10.3390/cancers12092506.
9
High-dose accelerated hypofractionated three-dimensional conformal radiotherapy (at 3 Gy/fraction) with concurrent vinorelbine and carboplatin chemotherapy in locally advanced non-small-cell lung cancer: a feasibility study.高剂量加速超分割三维适形放疗(每次 3 Gy)联合长春瑞滨和顺铂化疗治疗局部晚期非小细胞肺癌:一项可行性研究。
Radiat Oncol. 2013 Aug 11;8(1):198. doi: 10.1186/1748-717X-8-198.
10
Anaplastic thyroid carcinoma with rhabdomyoblastic differentiation: a case report with a good clinical outcome.伴有横纹肌母细胞分化的间变性甲状腺癌:1例临床预后良好的病例报告
Endocr Pathol. 2008 Spring;19(1):62-5. doi: 10.1007/s12022-008-9017-3.

本文引用的文献

1
Hypofractionated Radiotherapy for Anaplastic Thyroid Carcinoma: 15 Years of Experience in a Single Institution.甲状腺未分化癌的大分割放疗:单机构15年经验
Eur Thyroid J. 2019 Jan;8(1):24-30. doi: 10.1159/000493315. Epub 2018 Oct 4.
2
Efficacy of hypofractionated radiotherapy in patients with non-melanoma skin cancer: Results of a systematic review.大分割放疗对非黑色素瘤皮肤癌患者的疗效:一项系统评价的结果
J Med Imaging Radiat Oncol. 2018 Jun;62(3):401-411. doi: 10.1111/1754-9485.12718. Epub 2018 Mar 9.
3
Lenvatinib for Anaplastic Thyroid Cancer.
乐伐替尼用于治疗间变性甲状腺癌。
Front Oncol. 2017 Mar 1;7:25. doi: 10.3389/fonc.2017.00025. eCollection 2017.
4
Facial Basal Cell Carcinomas in Elderly Frail Patients Treated with Low Total-dose Radiotherapy.
Anticancer Res. 2015 Sep;35(9):4949-53.
5
[Radiotherapy for Thyroid Cancer].
Gan To Kagaku Ryoho. 2015 Jun;42(6):666-9.
6
Short course high dose radiotherapy in the treatment of anaplastic thyroid carcinoma.短程大剂量放疗治疗间变性甲状腺癌
J Thyroid Res. 2014;2014:764281. doi: 10.1155/2014/764281. Epub 2014 Oct 14.
7
Long-term results of radiotherapy in anaplastic thyroid cancer.间变性甲状腺癌的放疗长期疗效。
Radiat Oncol. 2014 Mar 31;9(1):90. doi: 10.1186/1748-717X-9-90.
8
American Thyroid Association guidelines for management of patients with anaplastic thyroid cancer.美国甲状腺协会关于治疗间变性甲状腺癌患者的指南。
Thyroid. 2012 Nov;22(11):1104-39. doi: 10.1089/thy.2012.0302.
9
The role of split-course hypofractionated palliative radiotherapy in head and neck cancer.分割疗程低分割姑息性放射治疗在头颈部癌症的应用。
Clin Oncol (R Coll Radiol). 2011 Mar;23(2):141-8. doi: 10.1016/j.clon.2010.09.006. Epub 2010 Oct 8.
10
Anaplastic thyroid carcinoma: pathogenesis and emerging therapies.间变性甲状腺癌:发病机制与新兴疗法。
Clin Oncol (R Coll Radiol). 2010 Aug;22(6):486-97. doi: 10.1016/j.clon.2010.03.013. Epub 2010 Apr 24.