Suppr超能文献

桡骨远端骨巨细胞瘤:整块切除联合同种异体骨重建:一例报告

Giant cell tumor of distal radius: En bloc resection with allograft reconstruction: A case report.

作者信息

Ahangar Parviz, Rahimnia Alireza, Akbaribazm Mohsen, Khalilpour Abbas, Rahimi Mohsen, Pirmohamadi Hosein

机构信息

Shams Tabrizi Clinic Tehran Iran.

Taleghani Hospital Shahid Beheshti University of Medical Sciences and Health Services Tehran Iran.

出版信息

Clin Case Rep. 2024 Apr 26;12(5):e8830. doi: 10.1002/ccr3.8830. eCollection 2024 May.

Abstract

KEY CLINICAL MESSAGE

Giant cell tumor of bone (GCT) is a rare neoplasm which often presents as a lytic lesion in the epiphyseal region of long bones and which are usually accompanied by pain, swelling, and restricted movement.

ABSTRACT

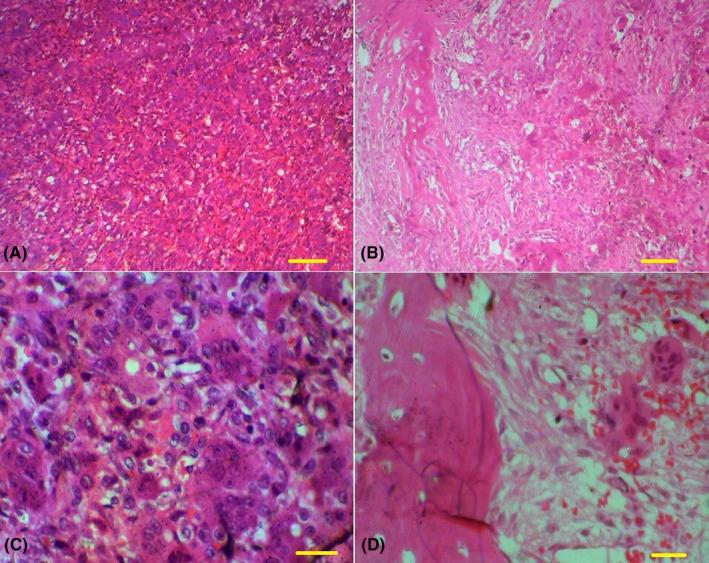
Giant cell tumor of bone (GCT) is a rare neoplasm that affects individuals in their third and fourth decades of life. Clinically, it often presents as a lytic lesion in the epiphyseal region of bones, notably the distal femur and proximal tibia. Radiologically, GCT appears as a distinct lytic lesion in the epiphyseal region. Histopathologically, GCTs are composed of mononuclear cells, macrophages, and multinuclear giant cells, indicative of osteoclastogenic stromal tumors. A 37-year-old man presented with left wrist pain, swelling, and restricted movement persisting for a year, worsening over the last 7 months. Radiographic assessments revealed a distal radius bone mass involving the radiocarpal joint. Biopsy confirmed a GCT with extension into peripheral muscle. PET/CT scan showed localized pathology without metastasis. Histopathologically, GCT exhibited multinucleated giant cells, spindle cells, and aneurysmal bone cyst-like regions with coagulation necrosis. Surgical resection involved en-bloc removal and reconstruction with a non-vascularized radius bone graft. Postoperatively, the patient showed no complications at the one-year follow-up, suggesting successful intervention.

摘要

关键临床信息

骨巨细胞瘤(GCT)是一种罕见的肿瘤,通常表现为长骨干骺端的溶骨性病变,并常伴有疼痛、肿胀和活动受限。

摘要

骨巨细胞瘤(GCT)是一种罕见的肿瘤,好发于30至40岁的人群。临床上,它常表现为骨的干骺端溶骨性病变,尤其是股骨远端和胫骨近端。放射学上,GCT在干骺端表现为明显的溶骨性病变。组织病理学上,GCT由单核细胞、巨噬细胞和多核巨细胞组成,提示破骨细胞性基质肿瘤。一名37岁男性因左腕疼痛、肿胀和活动受限持续一年,近7个月加重前来就诊。影像学评估显示桡骨远端骨块累及桡腕关节。活检证实为GCT并累及周围肌肉。PET/CT扫描显示局部病变无转移。组织病理学上,GCT表现为多核巨细胞、梭形细胞以及伴有凝固性坏死的动脉瘤样骨囊肿区域。手术切除包括整块切除并用非血管化桡骨移植重建。术后,患者在一年随访中未出现并发症,提示干预成功。

https://cdn.ncbi.nlm.nih.gov/pmc/blobs/8c27/11052681/135f918793b8/CCR3-12-e8830-g001.jpg

文献AI研究员

20分钟写一篇综述,助力文献阅读效率提升50倍。

立即体验

用中文搜PubMed

大模型驱动的PubMed中文搜索引擎

马上搜索

文档翻译

学术文献翻译模型,支持多种主流文档格式。

立即体验