Suppr超能文献

一例罕见的下唇低度B细胞非霍奇金淋巴瘤,酷似黏液囊肿。

A Rare Case of Low-Grade B-cell Non-Hodgkin's Lymphoma of the Lower Lip Mimicking a Mucocele.

作者信息

Jayabalan Jones, Albert Dyna, Nathanael Israel, Abisheg Jedidiah Fredrick, N Balakrishna R

机构信息

Oral and Maxillofacial Surgery, Dr. Jones Dental Clinic, Chennai, IND.

Oral and Maxillofacial Surgery, Tagore Dental College and Hospital, Chennai, IND.

出版信息

Cureus. 2024 Mar 28;16(3):e57154. doi: 10.7759/cureus.57154. eCollection 2024 Mar.

Abstract

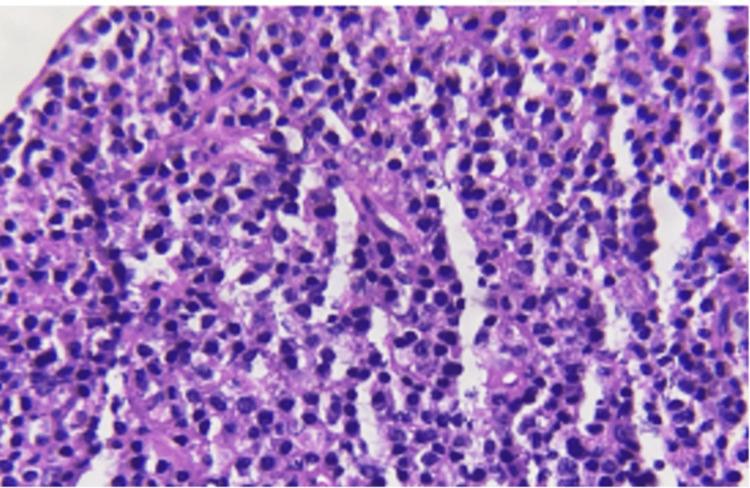
In a clinical context, oral lymphomas are very uncommon and frequently challenging to identify. Mucosa-associated lymphoid tissue (MALT) lymphomas are a diverse category of lymphomas that were formerly believed to be formed from B-cells located in the marginal zone, which surrounds B-cell follicles and the surrounding lymphoepithelium. Extranodal organs like the stomach, thyroid, and large salivary glands are where they most frequently appear. As a result, they are accurately identified as extranodal marginal zone B-cell lymphomas (ENMZL). This report presents a case of a 53-year-old female with lower lip swelling, which was diagnosed as a case of marginal low-grade B-cell non-Hodgkin's lymphoma after clinical, histopathological, and immunological examinations. Non-Hodgkin's lymphoma diagnosis can be aided by pathological examination and biopsy performed early in the lesion's development. The dentist has a key role to play in the early diagnosis process.

摘要

在临床环境中,口腔淋巴瘤非常罕见,且识别起来常常具有挑战性。黏膜相关淋巴组织(MALT)淋巴瘤是一类多样的淋巴瘤,以前被认为是由位于边缘区的B细胞形成的,边缘区围绕着B细胞滤泡和周围的淋巴上皮。它们最常出现在胃、甲状腺和大唾液腺等结外器官。因此,它们被准确地识别为结外边缘区B细胞淋巴瘤(ENMZL)。本报告介绍了一例53岁女性下唇肿胀的病例,经临床、组织病理学和免疫学检查后,被诊断为边缘性低级别B细胞非霍奇金淋巴瘤。在病变发展早期进行病理检查和活检有助于非霍奇金淋巴瘤的诊断。牙医在早期诊断过程中起着关键作用。

https://cdn.ncbi.nlm.nih.gov/pmc/blobs/61f0/11055997/7b542f23288c/cureus-0016-00000057154-i01.jpg

文献AI研究员

20分钟写一篇综述,助力文献阅读效率提升50倍。

立即体验

用中文搜PubMed

大模型驱动的PubMed中文搜索引擎

马上搜索

文档翻译

学术文献翻译模型,支持多种主流文档格式。

立即体验