Suppr超能文献

颅咽管瘤切除术后患儿的血管并发症:单中心经验。

Vascular complications in craniopharyngioma-resected paediatric patients: a single-center experience.

机构信息

Department of Health Sciences, University of Florence, Florence, Italy.

Neuro-oncology Department, Meyer Children's Hospital IRCCS, Florence, Italy.

出版信息

Front Endocrinol (Lausanne). 2024 Apr 11;15:1292025. doi: 10.3389/fendo.2024.1292025. eCollection 2024.

Abstract

BACKGROUND

Craniopharyngioma (CP), although slow growing and histologically benign, has high morbidity, mostly related to hypothalamus-pituitary dysfunction and electrolyte imbalance. Increased risk of vascular complications has been described. However, data are still poor, especially in the paediatric population. The aim of our study was to evaluate the occurrence, timing, and predisposing factors of deep venous thrombosis (DVT) and other vascular alterations in neurosurgical paediatric CP patients.

MATERIALS AND METHODS

In a single-centre, retrospective study, we investigated 19 CP patients (11 males, 8 females, mean age 10.5 ± 4.3 years), who underwent neurosurgery between December 2016 and August 2022, referred to Meyer Children's Hospital IRCCS in Florence.

RESULTS

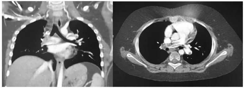
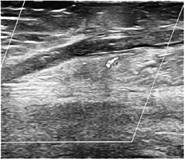
Five patients (26.3%) presented vascular events, which all occurred in connection with sodium imbalances. Three DVT (two with associated pulmonary embolism, in one case leading to death) developed in the post-operative period, most frequently at 7-10 days. Elevated D-dimers, a reduced partial activated thrombin time and a prolonged C-reactive protein increase were highly related to thrombotic vascular events. One case of posterior cerebral artery pseudoaneurysm was described soon after neurosurgery, requiring vascular stenting. Superficial vein thrombophlebitis was a late complication in one patient with other predisposing factors.

CONCLUSION

CP patients undergoing neurosurgery are at risk of developing DVT and vascular alterations, thus careful follow-up is mandatory. In our study, we found that the phase of transition from central diabetes insipidus to a syndrome of inappropriate antidiuretic hormone secretion may be a period of significant risk for DVT occurrence. Careful vascular follow-up is mandatory in CP-operated patients.

摘要

背景

颅咽管瘤(CP)虽然生长缓慢且组织学上为良性,但发病率较高,主要与下丘脑-垂体功能障碍和电解质失衡有关。已描述过其发生血管并发症的风险增加。然而,相关数据仍然较少,尤其是在儿科人群中。我们的研究目的是评估神经外科 CP 患儿深静脉血栓形成(DVT)和其他血管改变的发生、时间和诱发因素。

材料和方法

在一项单中心回顾性研究中,我们调查了 19 名 CP 患者(男 11 例,女 8 例,平均年龄 10.5±4.3 岁),他们于 2016 年 12 月至 2022 年 8 月在佛罗伦萨的 Meyer 儿童医院 IRCCS 接受神经外科手术。

结果

5 名患者(26.3%)出现血管事件,这些事件均与钠失衡有关。3 例 DVT(其中 2 例合并肺栓塞,1 例导致死亡)发生在术后,最常发生在术后 7-10 天。升高的 D-二聚体、部分激活的凝血酶时间缩短和 C 反应蛋白升高延长与血栓性血管事件高度相关。1 例术后不久即出现大脑后动脉假性动脉瘤,需要血管支架置入。1 例有其他诱发因素的患者出现浅表静脉血栓性静脉炎的晚期并发症。

结论

接受神经外科手术的 CP 患者有发生 DVT 和血管改变的风险,因此必须进行仔细的随访。在我们的研究中,我们发现从中枢性尿崩症向抗利尿激素分泌不当综合征过渡的阶段可能是 DVT 发生的高风险期。CP 术后患者必须进行仔细的血管随访。

https://cdn.ncbi.nlm.nih.gov/pmc/blobs/4a0b/11047119/fade9f05b9cb/fendo-15-1292025-g001.jpg

文献AI研究员

20分钟写一篇综述,助力文献阅读效率提升50倍。

立即体验

用中文搜PubMed

大模型驱动的PubMed中文搜索引擎

马上搜索

文档翻译

学术文献翻译模型,支持多种主流文档格式。

立即体验