Suppr超能文献

原发性肺腺癌伴EML4-ALK融合基因的乳腺转移:一例报告

Primary lung adenocarcinoma with breast metastasis harboring the EML4‑ALK fusion: A case report.

作者信息

Zhang Wenwen, Zhang Yu, Zhou Lei, Tan Na, Bai Yuju, Xing Shiyun

机构信息

Department of Oncology, The Second Affiliated Hospital of Zunyi Medical University, Zunyi, Guizhou 563000, P.R. China.

Department of Pathology, Affiliated Hospital of Zunyi Medical University, Zunyi, Guizhou 563000, P.R. China.

出版信息

Oncol Lett. 2024 Apr 22;27(6):276. doi: 10.3892/ol.2024.14409. eCollection 2024 Jun.

Abstract

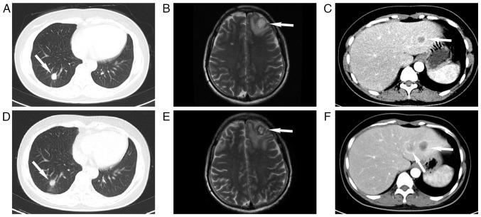
Pulmonary adenocarcinoma with breast metastasis is rarely encountered in clinical practice. Therefore, precise clinical diagnosis of patients with this disease is crucial when selecting subsequent treatment modalities and for overall prognosis assessment. The present study reported on a case of lung cancer with breast metastasis harboring the fusion. The patient was initially diagnosed with triple-negative breast cancer with lung metastasis, but comprehensive breast cancer treatment was ineffective. Reevaluation of the patient's condition via lung biopsy revealed primary lung adenocarcinoma. In addition, the results of genetic testing revealed the fusion protein in both lung and breast tissues. After treatment with inhibitors, the patient's symptoms improved rapidly. This case highlights the prolonged diagnostic journey from presentation with a breast mass to ultimately being diagnosed with lung cancer with breast metastasis, underscoring the critical need for heightened awareness among clinicians regarding the possibility of rare metastatic patterns. Timely identification of lung cancer with breast metastasis, facilitated by comprehensive genetic testing, not only refines treatment decisions but also emphasizes the importance of interdisciplinary collaboration in navigating complex clinical scenarios. Such insight contributes to the ongoing development of personalized cancer care that guides clinicians toward more effective and tailored therapeutic strategies for patients with similar diagnostic challenges.

摘要

肺腺癌伴乳腺转移在临床实践中很少见。因此,对于患有这种疾病的患者,准确的临床诊断对于选择后续治疗方式和评估总体预后至关重要。本研究报告了一例伴有 融合的肺癌伴乳腺转移病例。该患者最初被诊断为三阴性乳腺癌伴肺转移,但综合乳腺癌治疗无效。通过肺活检对患者病情进行重新评估后发现原发性肺腺癌。此外,基因检测结果显示肺和乳腺组织中均存在 融合蛋白。在用 抑制剂治疗后,患者症状迅速改善。该病例凸显了从出现乳腺肿块到最终被诊断为肺癌伴乳腺转移这一漫长的诊断过程,强调临床医生迫切需要提高对罕见转移模式可能性的认识。通过全面的基因检测及时识别肺癌伴乳腺转移,不仅能优化治疗决策,还强调了跨学科协作在应对复杂临床情况中的重要性。这种见解有助于推动个性化癌症护理的持续发展,指导临床医生为面临类似诊断挑战的患者制定更有效、更具针对性的治疗策略。

https://cdn.ncbi.nlm.nih.gov/pmc/blobs/672e/11058636/28a9bee18f63/ol-27-06-14409-g00.jpg

文献检索

告别复杂PubMed语法,用中文像聊天一样搜索,搜遍4000万医学文献。AI智能推荐,让科研检索更轻松。

立即免费搜索

文件翻译

保留排版,准确专业,支持PDF/Word/PPT等文件格式,支持 12+语言互译。

免费翻译文档

深度研究

AI帮你快速写综述,25分钟生成高质量综述,智能提取关键信息,辅助科研写作。

立即免费体验