Suppr超能文献

原发性胸膜尤文肉瘤罕见表现为肿块延伸至右心室:一例报告

Rare Presentation of Primary Pleural Ewing Sarcoma With a Mass Extending Into the Right Ventricle: A Case Report.

作者信息

Alkoheji Heba, AlAli Salman, Tahseen Wael, Awadh Mohamed, Shaarawy Ahmed T, Almadani Abdulrahman

机构信息

Internal Medicine, Bahrain Defense Force Hospital Royal Medical Services, Riffa, BHR.

Radiology, Bahrain Defense Force Hospital Royal Medical Services, Riffa, BHR.

出版信息

Cureus. 2024 Apr 3;16(4):e57542. doi: 10.7759/cureus.57542. eCollection 2024 Apr.

Abstract

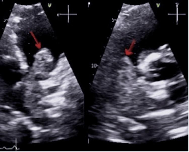
Primary pleural Ewing sarcoma is a rare type of Ewing sarcoma with only a few case reports identified in the literature. The condition is challenging to diagnose with deceiving symptoms and wide differential diagnosis. Diagnosis is confirmed with a combination of radiological and pathological assessment. Treatment is similar to other types of Ewing sarcoma with chemotherapy and surgery being the mainstay of treatment. We identify an unusual presentation of pleural Ewing sarcoma in a 31-year-old male with a mass extending into the right ventricular outlet causing rapid deterioration of the patient.

摘要

原发性胸膜尤文肉瘤是一种罕见的尤文肉瘤类型,文献中仅有少数病例报告。该疾病的症状具有欺骗性,鉴别诊断范围广泛,诊断具有挑战性。通过放射学和病理学评估相结合来确诊。治疗方法与其他类型的尤文肉瘤相似,化疗和手术是主要治疗手段。我们发现一名31岁男性胸膜尤文肉瘤的不寻常表现,其肿块延伸至右心室出口,导致患者病情迅速恶化。

https://cdn.ncbi.nlm.nih.gov/pmc/blobs/4ef4/11068079/4eb5fa607626/cureus-0016-00000057542-i01.jpg

文献AI研究员

20分钟写一篇综述,助力文献阅读效率提升50倍。

立即体验

用中文搜PubMed

大模型驱动的PubMed中文搜索引擎

马上搜索

文档翻译

学术文献翻译模型,支持多种主流文档格式。

立即体验