Suppr超能文献

胃球囊导致的急性胰腺炎:一例报告

Acute pancreatitis caused by gastric balloon: a case report.

作者信息

Gyimesi György, Widmer Fabienne, Sulz Michael Christian

机构信息

Department of Gastroenterology, Spital Thurgau AG, Münsterlingen, Switzerland.

School of Doctoral Studies, Semmelweis University, Budapest, Hungary.

出版信息

AME Case Rep. 2024 Mar 12;8:45. doi: 10.21037/acr-23-171. eCollection 2024.

Abstract

BACKGROUND

Intragastric balloon (IGB) insertion is a safe and effective method for the treatment of obesity. The most common side effects of the balloon-therapy are nausea/vomiting and abdominal pain, acute pancreatitis has rarely been reported.

CASE DESCRIPTION

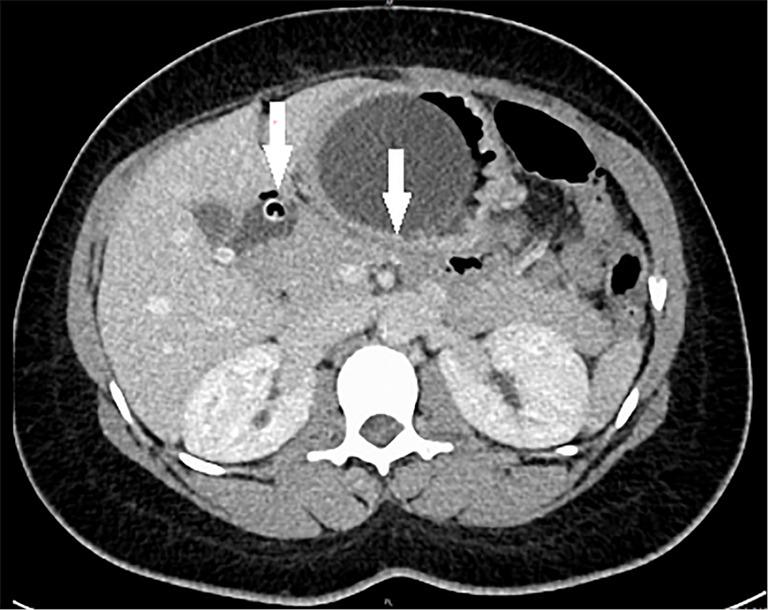
We present the case of a 28-year-old woman who underwent IGB insertion 9 months before onset of intense upper abdominal pain. We confirmed the diagnosis of acute pancreatitis by means of clinical symptoms, serological tests and cross-sectional imaging. Endoscopic removal of the balloon led to a complete resolution of the symptoms. Initial laboratory parameters were normal on admission, only the control of lipase and amylase levels led us to the diagnosis of pancreatitis. On imaging with computed tomography, the filling catheter of the balloon showed to be dislodged in the duodenum. After carrying out a systematic approach, other causes of pancreatitis were ruled out.

CONCLUSIONS

Laboratory tests including amylase/lipase and adequate imaging should be considered in patients with relevant symptoms after gastric balloon insertion. A possible pathogenesis may be the direct compression and traumatic effect on the pancreas by the balloon or the dislodgement of the catheter into the duodenum and an obstruction/compression of the Papilla. Endoscopic removal of the balloon is not mandatory in every case, it should be decided individually.

摘要

背景

胃内球囊置入术是治疗肥胖症的一种安全有效的方法。球囊治疗最常见的副作用是恶心/呕吐和腹痛,急性胰腺炎鲜有报道。

病例描述

我们报告一例28岁女性病例,该患者在剧烈上腹部疼痛发作前9个月接受了胃内球囊置入术。我们通过临床症状、血清学检查和断层成像确诊为急性胰腺炎。内镜下取出球囊后症状完全缓解。入院时初始实验室参数正常,仅通过监测脂肪酶和淀粉酶水平才确诊为胰腺炎。在计算机断层扫描成像中,球囊的填充导管显示位于十二指肠内。经过系统排查,排除了其他胰腺炎病因。

结论

对于胃内球囊置入术后出现相关症状的患者,应考虑进行包括淀粉酶/脂肪酶检测在内的实验室检查及适当的成像检查。一种可能的发病机制可能是球囊对胰腺的直接压迫和创伤作用,或者导管移位至十二指肠并阻塞/压迫乳头。并非在每种情况下都必须进行内镜下球囊取出术,应个体化决定。

https://cdn.ncbi.nlm.nih.gov/pmc/blobs/a5df/11070990/6273541fe91c/acr-08-23-171-f1.jpg

文献AI研究员

20分钟写一篇综述,助力文献阅读效率提升50倍。

立即体验

用中文搜PubMed

大模型驱动的PubMed中文搜索引擎

马上搜索

文档翻译

学术文献翻译模型,支持多种主流文档格式。

立即体验