Suppr超能文献

一例采用FLT3抑制剂与地西他滨联合治疗继发性B细胞急性淋巴细胞白血病的病例报告。

A case report of secondary B-cell acute lymphoblastic leukemia treated with a combination of FLT3 inhibitor and decitabine.

作者信息

Hu Mengci, Li Wenzhe, Li Pan, Tan Jie, Wang Ya

机构信息

Department of Hematology, The First Affiliated Hospital of Yangtze University, Jingzhou, Hubei, China.

Department of Endocrinology, The First Affiliated Hospital of Yangtze University, Jingzhou, Hubei, China.

出版信息

Front Oncol. 2024 Apr 26;14:1329279. doi: 10.3389/fonc.2024.1329279. eCollection 2024.

Abstract

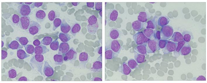
Secondary acute lymphoblastic leukemia (s-ALL) refers to acute lymphoblastic leukemia that occurs after a previous malignant tumor, including therapy-related acute lymphoblastic leukemia (t-ALL) and prior malignant tumor acute lymphoblastic leukemia (pm-ALL). We report a case of a 51-year-old female patient who developed acute lymphoblastic leukemia 14 years after being diagnosed with diffuse large B-cell lymphoma (DLBCL). The patient was unresponsive to conventional chemotherapy for acute lymphoblastic leukemia (ALL) and achieved remission with a combination of sorafenib and decitabine based on the molecular biology characteristics of her B-ALL.

摘要

继发性急性淋巴细胞白血病(s-ALL)是指在先前患有恶性肿瘤后发生的急性淋巴细胞白血病,包括治疗相关急性淋巴细胞白血病(t-ALL)和先前恶性肿瘤相关性急性淋巴细胞白血病(pm-ALL)。我们报告了一例51岁女性患者,她在被诊断为弥漫性大B细胞淋巴瘤(DLBCL)14年后发生了急性淋巴细胞白血病。该患者对急性淋巴细胞白血病(ALL)的传统化疗无反应,并根据其B-ALL的分子生物学特征,通过索拉非尼和地西他滨联合治疗实现了缓解。

https://cdn.ncbi.nlm.nih.gov/pmc/blobs/9525/11082298/303c01be2ad7/fonc-14-1329279-g001.jpg

文献AI研究员

20分钟写一篇综述,助力文献阅读效率提升50倍。

立即体验

用中文搜PubMed

大模型驱动的PubMed中文搜索引擎

马上搜索

文档翻译

学术文献翻译模型,支持多种主流文档格式。

立即体验