Suppr超能文献

利用血管壁磁共振成像评估颅颈交界区硬脊膜内动静脉瘘的破裂点及其病理结果:一例报告

Estimation of the rupture point of the craniovertebral junction intradural arteriovenous fistula with vessel wall magnetic resonance image and its pathological findings: A case report.

作者信息

Tanaka Masahiro, Kuge Atsushi, Saito Ryozo, Sasaki Kosuke, Yamaki Tetsu, Kondo Rei, Sonoda Yukihiko

机构信息

Stroke Center, Yamagata City Hospital Saiseikan, Yamagata, Japan.

Department of Emergency Medicine, Yamagata City Hospital Saiseikan, Yamagata, Japan.

出版信息

Surg Neurol Int. 2024 May 3;15:149. doi: 10.25259/SNI_163_2024. eCollection 2024.

Abstract

BACKGROUND

Arteriovenous fistulas (AVFs) of the craniocervical junction (CCJ) and intradural AVFs are often associated with aneurysms and varics, and it is sometimes difficult to identify the ruptured point on radiological images. We report a case in which vessel wall magnetic resonance image (VW-MRI) was useful for identifying the ruptured point at the CCJ AVF.

CASE DESCRIPTION

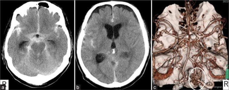
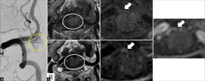
A 70-year-old man presented with a sudden onset of headache. He had Glasgow Coma Scale E4V5M6, world federation of neurosurgical societies (WFNS) Grade I. Fisher group 3 subarachnoid hemorrhage and hydrocephalus were found on head computed tomography. Cerebral angiography showed a spinal AVF at the C1 level of the cervical spine. Magnetic resonance image-enhanced motion sensitized driven equilibrium (MSDE-method showed an enhancing effect in part of the AVF draining vein, but the vascular architecture of this lesion was indeterminate. We performed continuous ventricular drainage for acute hydrocephalus and antihypertensive treatment. Cerebral angiography was performed 30days after the onset of the disease, and was revealed an aneurysmal structure in a portion of the AVF draining vein, which VW-MRI initially enhanced. On the 38 day after onset, he underwent direct surgery to occlude the AV fistula and dissect the aneurysmal structure. Histopathology showed that the aneurysmal structure was varices with lymphocytic infiltration, and hemosiderin deposition was observed near the varices.

CONCLUSION

Recently, VW-MRI has been reported to show an association between the enhancement of varices in dural AVF and rupture cases. VW-MRI, especially the enhanced MSDE method, may be useful in estimating the ruptured point in arteriovenous shunt disease.

摘要

背景

颅颈交界区动静脉瘘(AVF)和硬脊膜内AVF常与动脉瘤和静脉曲张相关,有时在影像学图像上难以确定破裂点。我们报告一例血管壁磁共振成像(VW-MRI)有助于识别颅颈交界区AVF破裂点的病例。

病例描述

一名70岁男性突发头痛。他的格拉斯哥昏迷量表评分为E4V5M6,世界神经外科联合会(WFNS)分级为I级。头部计算机断层扫描发现Fisher 3级蛛网膜下腔出血和脑积水。脑血管造影显示颈椎C1水平有一个脊髓AVF。磁共振成像增强运动敏感驱动平衡(MSDE)方法显示部分AVF引流静脉有强化效应,但该病变的血管结构不明确。我们对急性脑积水进行了持续脑室引流和降压治疗。发病30天后进行了脑血管造影,发现AVF引流静脉的一部分有动脉瘤样结构,VW-MRI最初显示该结构有强化。发病38天后,他接受了直接手术,以闭塞AV瘘并切除动脉瘤样结构。组织病理学显示动脉瘤样结构为伴有淋巴细胞浸润的静脉曲张,在静脉曲张附近观察到含铁血黄素沉积。

结论

最近有报道称VW-MRI显示硬脊膜AVF中静脉曲张强化与破裂病例之间存在关联。VW-MRI,尤其是增强的MSDE方法,可能有助于估计动静脉分流疾病的破裂点。

https://cdn.ncbi.nlm.nih.gov/pmc/blobs/953d/11090560/e115bf409b9d/SNI-15-149-g001.jpg

文献检索

告别复杂PubMed语法,用中文像聊天一样搜索,搜遍4000万医学文献。AI智能推荐,让科研检索更轻松。

立即免费搜索

文件翻译

保留排版,准确专业,支持PDF/Word/PPT等文件格式,支持 12+语言互译。

免费翻译文档

深度研究

AI帮你快速写综述,25分钟生成高质量综述,智能提取关键信息,辅助科研写作。

立即免费体验