Baru Oana, Buduru Smaranda Dana, Berindan-Neagoe Ioana, Leucuta Daniel-Corneliu, Roman Ancuta Raluca, Tălmăceanu Daniel, Silvasan Hary, Badea Mîndra Eugenia
Department of Preventive Dentistry, Faculty of Dental Medicine, Iuliu Hatieganu University of Medicine and Pharmacy, Cluj-Napoca, Romania.
Department Prosthetic Dentistry and Dental Materials, Iuliu Hatieganu University of Medicine and Pharmacy, Cluj-Napoca, Romania.
Med Pharm Rep. 2024 Apr;97(2):222-233. doi: 10.15386/mpr-2719. Epub 2024 Apr 25.
Maxillary lateral sinus floor elevation, or external sinus lift, is a widespread surgical intervention in the dental field. Insertion of implants in the posterior region of the maxilla often requires reconstruction of the remaining native bone that has insufficient volume.
Much of the research published involves using artificial products, like xenografts and resorbable collagen membranes, after a prior Cone Beam Computer Tomography (CBCT) investigation. Nowadays, more accessible access, less financial costs, a biological approach, and faster healing are objectives that surround this procedure. Leucocytes and platelets rich in Fibrin (L-PRF) are a natural component with a high concentration of growth factors. Due to its regenerative properties and lack of complications, it is used in several medical fields, like orthopedics, dermatology, and oral surgery. This retrospective study aims to compare results in bone height and volume obtained through external sinus lift, either by using xenografts or autologous plasma rich in fibrin, by evaluating the quantity of new bone formation from a radiological point of view.
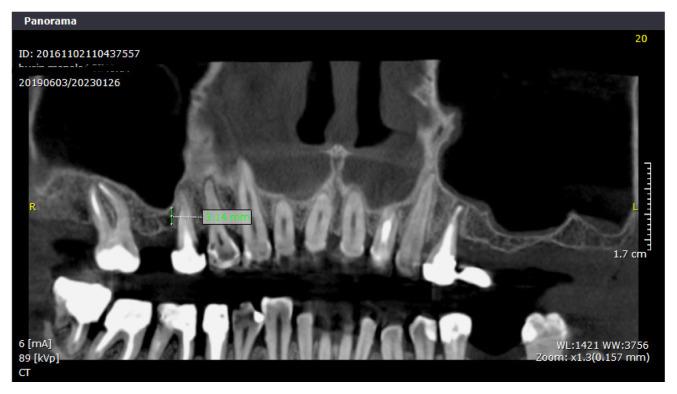
Fifty-eight Caucasian patients were included in this retrospective study; 48 were submitted to xenograft procedure, and 10 were selected for L-PRF grafting material with simultaneous implant placement. Lack of clinical and histological studies performed on patients with L-PRF surgeries limited us in choosing a larger group for the radiological analysis. CBCT evaluation was performed before surgery and 6 months after. All patients selected for the study presented good general and oral health, acute oral and sinus infections excluded; smoking and periodontal disease were also criteria of exclusion. Two operators performed the measurements in pre-established landmarks in different time frames. The two independent groups were compared with the Wilcoxon rank-sum test for quantitative data. Qualitative characteristics were described as counts and percentages. All analyses were performed in an R environment for statistical computing and graphics.
Mean bone height gain in the xenograft group in the regions was as follows: 7.44 for the anterior landmark, 12.14 for the median and 8.28 for the distal. The mean group height gained for the L-PRF group was 0.1 anteriorly, -0.18 for the median measurement, and 0.23 distally. We obtained excellent overall reliability for all the height measurements between the two operators.
Further studies must be conducted to establish new sets of surgical protocols in case L-PRF alone is found to be a reliable, stable, biological alternative to the well-documented xenografts in external sinus lifts. Radiological results, although promising, must be further applied in long term clinical survival of the implants in the grafted sites. Also, studies combining L-PRF in conjunction with xenograft might bring improved clinical results in terms of reduced postoperative complications and accelerated healing.
上颌窦外侧壁提升术,即外提升术,是牙科领域广泛应用的外科手术。在上颌后部区域植入种植体通常需要对剩余骨量不足的天然骨进行重建。
已发表的许多研究都涉及在先前的锥形束计算机断层扫描(CBCT)检查后使用人工制品,如异种移植物和可吸收胶原膜。如今,更便捷的操作、更低的经济成本、生物学方法以及更快的愈合是围绕该手术的目标。富含纤维蛋白的白细胞和血小板(L-PRF)是一种含有高浓度生长因子的天然成分。由于其再生特性且无并发症,它被用于多个医学领域,如骨科、皮肤科和口腔外科。这项回顾性研究旨在通过从放射学角度评估新骨形成的量,比较使用异种移植物或富含纤维蛋白的自体血浆进行外提升术所获得的骨高度和骨体积结果。
58名白种人患者纳入了这项回顾性研究;48名接受了异种移植手术,10名被选用于L-PRF移植材料并同时植入种植体。由于对接受L-PRF手术的患者缺乏临床和组织学研究,限制了我们为放射学分析选择更大的样本量。在手术前和术后6个月进行CBCT评估。所有入选研究的患者总体健康状况和口腔健康良好,排除急性口腔和鼻窦感染;吸烟和牙周病也是排除标准。两名操作人员在不同时间框架内在预先确定的标志点进行测量。对于定量数据,使用Wilcoxon秩和检验对两个独立组进行比较。定性特征以计数和百分比描述。所有分析均在用于统计计算和绘图的R环境中进行。
异种移植组在各区域的平均骨高度增加如下:前标志点为7.44,中间为12.14,远端为8.28。L-PRF组的平均组高度增加分别为:前部0.1;中间测量值为-0.18;远端为0.23。我们在两名操作人员之间的所有高度测量中获得了出色的总体可靠性。
如果单独使用L-PRF被证明是外提升术中已被充分记录的异种移植物的可靠、稳定的生物学替代方案,则必须进行进一步研究以建立新的手术方案集。放射学结果虽然很有前景,但必须进一步应用于移植部位种植体的长期临床存活情况。此外,将L-PRF与异种移植物结合的研究可能会在减少术后并发症和加速愈合方面带来更好的临床结果。