Suppr超能文献

37岁急性冠状动脉综合征累及左主干患者的无支架准分子激光冠状动脉成形术:病例报告

Excimer laser coronary angioplasty without stenting in a 37-year-old man with acute coronary syndrome involving left main trunk: a case report.

作者信息

Shigeno Ryo, Hirohata Atsushi

机构信息

Department of Cardiovascular Medicine, The Sakakibara Heart Institute of Okayama, 2-5-1, Nakai-cho, Okayama, 700-0804, Japan.

出版信息

Eur Heart J Case Rep. 2024 Apr 18;8(5):ytae206. doi: 10.1093/ehjcr/ytae206. eCollection 2024 May.

Abstract

BACKGROUND

Excimer laser coronary angioplasty (ELCA) is utilized to reduce thrombus in acute coronary syndrome (ACS). However, the feasibility and safety of ELCA for patients with ACS involving the left main trunk (LMT) and bifurcation, as well as the safety of a stentless strategy with ELCA, are not well-documented.

CASE SUMMARY

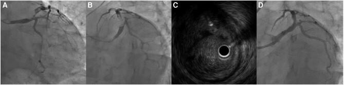
A 37-year-old man without any past medical history presented with chest pain. Electrocardiogram showed ST-segment elevation in leads I, aVL, and V2-V6. Emergent coronary angiography (CAG) showed a 99% stenosis from LMT to proximal left anterior descending artery (LAD). Intra-aortic balloon pumping (IABP) was initiated. Intravascular ultrasound revealed massive thrombus at the culprit lesion. Thrombus aspiration was not enough to reduce the thrombus, thus, we conducted thrombus vaporization with a 0.9 mm ELCA catheter. Coronary angiography after the procedure showed reduced thrombus with thrombolysis in myocardial infarction grade 3 flow. Considering his age and the complexity of stenting the LMT, we completed the procedure without stenting. After the intervention, we initiated triple antithrombotic therapy. On Day 3, we removed the IABP. On Day 11, CAG showed no significant stenosis. Optical coherence tomography revealed ulceration, indicating the presence of plaque disruption at the proximal LAD as the likely cause of thrombosis. With improvement in CAG findings, we stopped heparin and continued dual antiplatelet therapy. He was discharged on Day 20.

DISCUSSION

Excimer laser coronary angioplasty without stenting can be an option for the patients with ACS involving LMT, especially for younger patients who are suitable to avoid stenting on bifurcation lesions for lifelong management.

摘要

背景

准分子激光冠状动脉成形术(ELCA)用于减少急性冠状动脉综合征(ACS)中的血栓。然而,ELCA用于累及左主干(LMT)和分叉病变的ACS患者的可行性和安全性,以及ELCA无支架策略的安全性,目前尚无充分文献记载。

病例摘要

一名37岁无既往病史的男性因胸痛就诊。心电图显示I、aVL及V2-V6导联ST段抬高。急诊冠状动脉造影(CAG)显示LMT至左前降支近端(LAD)有99%的狭窄。开始主动脉内球囊泵血(IABP)治疗。血管内超声显示罪犯病变处有大量血栓。血栓抽吸不足以减少血栓,因此,我们使用0.9 mm的ELCA导管进行血栓汽化。术后冠状动脉造影显示血栓减少,心肌梗死溶栓分级为3级血流。考虑到患者年龄及LMT置入支架的复杂性,我们未置入支架完成了手术。干预后,我们开始三联抗栓治疗。第3天,我们撤掉了IABP。第11天,CAG显示无明显狭窄。光学相干断层扫描显示有溃疡形成,提示LAD近端存在斑块破裂,这可能是血栓形成的原因。随着CAG结果改善,我们停用了肝素,继续双联抗血小板治疗。患者于第20天出院。

讨论

对于累及LMT的ACS患者,尤其是适合避免在分叉病变处置入支架进行终身管理的年轻患者,无支架的准分子激光冠状动脉成形术可以作为一种选择。

https://cdn.ncbi.nlm.nih.gov/pmc/blobs/0980/11095545/dcd53b913df6/ytae206f1.jpg

文献AI研究员

20分钟写一篇综述,助力文献阅读效率提升50倍。

立即体验

用中文搜PubMed

大模型驱动的PubMed中文搜索引擎

马上搜索

文档翻译

学术文献翻译模型,支持多种主流文档格式。

立即体验