Suppr超能文献

一名肺癌患者合并偶然发现的快速生长的心房肿物的复杂决策制定。

Complex decision making in a patient with lung cancer with incidentally found fast-growing atrial mass.

作者信息

Otchere Prince, Pak Stella, Ulloa-Rodriguez Juan, Fierro Maria, Sharma Aditi, Poku Tevonne, Kofi-Obeng Brandon, Yang Eric, Thallapureddy Keerthi

机构信息

Department of Cardio-Oncology, University of Texas Health Science Center, San Antonio, TX, USA.

Department of Neurology, Albany Medical Center, 43 New Scotland Ave, Albany, NY, 12208, USA.

出版信息

Cardiooncology. 2024 May 18;10(1):30. doi: 10.1186/s40959-024-00219-z.

Abstract

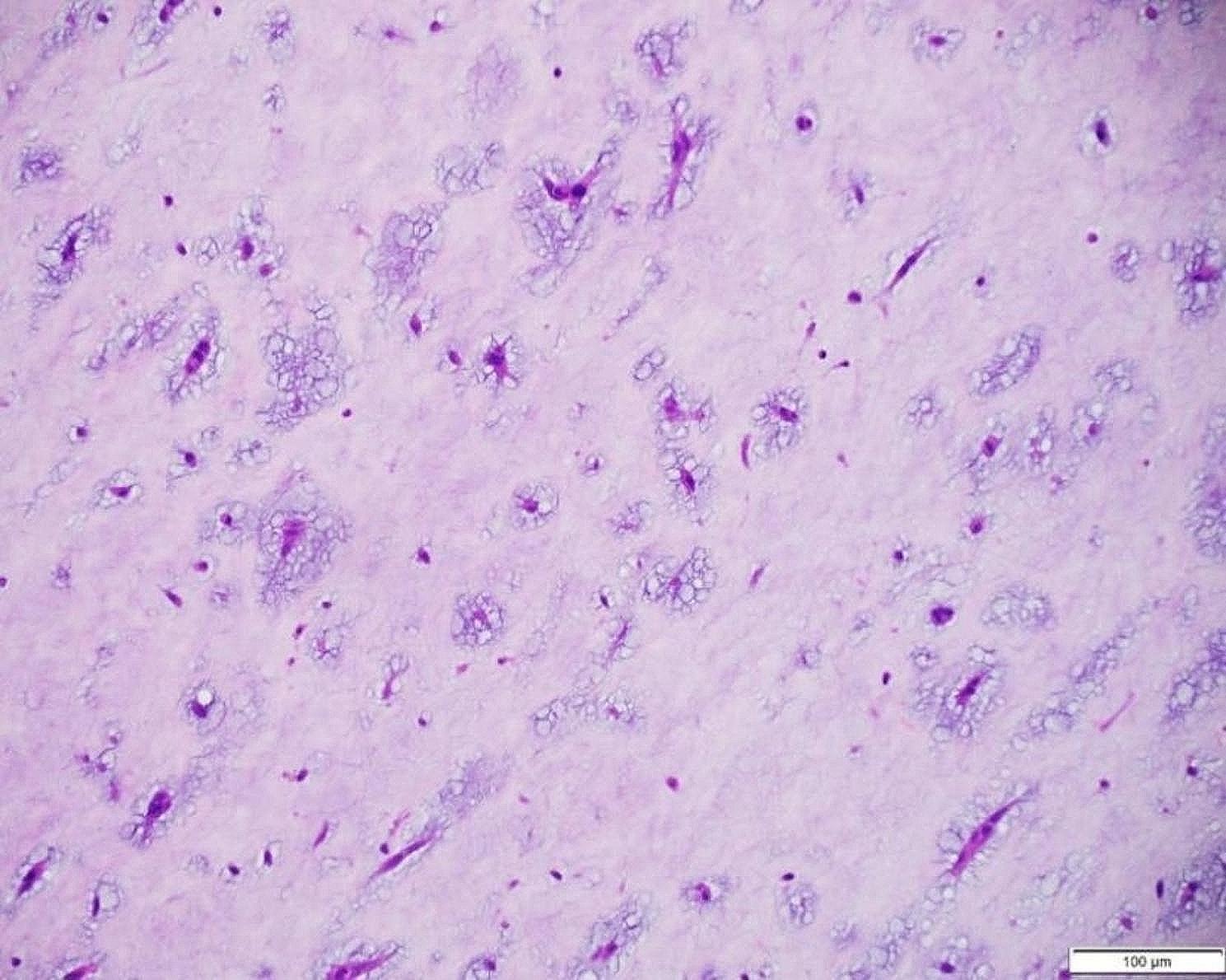
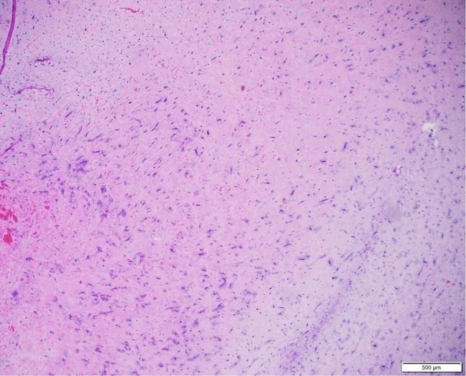
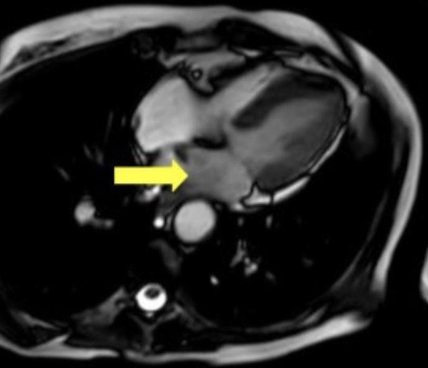
Atrial myxomas are typically found in the left atrium and are the most common among overall rare cardiac tumors. Herein, we describe the clinical course of a 72-year-old female with non-small cell lung adenocarcinoma found to have an atrial mass during an imaging for evaluation for lung cancer progression. Differentiating between distinct types of masses can pose a challenge to the treatment team especially in the setting of exiting malignancy. This case demonstrates the complex decision making involved in the diagnosis, and timing of intervention to remove atrial mass in patients with frailty and a fast-growing cardiac mass.

摘要

心房黏液瘤通常位于左心房,是总体罕见心脏肿瘤中最常见的类型。在此,我们描述了一名72岁女性非小细胞肺腺癌患者的临床病程,该患者在评估肺癌进展的影像学检查中发现有心房肿物。区分不同类型的肿物对治疗团队来说可能是一项挑战,尤其是在存在恶性肿瘤的情况下。本病例展示了在诊断以及对体弱且心脏肿物生长迅速的患者进行心房肿物切除干预时机方面所涉及的复杂决策。

https://cdn.ncbi.nlm.nih.gov/pmc/blobs/453e/11102299/e3e4ffce77e6/40959_2024_219_Fig1_HTML.jpg

文献AI研究员

20分钟写一篇综述,助力文献阅读效率提升50倍。

立即体验

用中文搜PubMed

大模型驱动的PubMed中文搜索引擎

马上搜索

文档翻译

学术文献翻译模型,支持多种主流文档格式。

立即体验