Suppr超能文献

结肠内一个微小的血管周上皮样细胞瘤。

A diminutive perivascular epithelioid cell tumor in the colon.

作者信息

Sugimura Naoki, Hirata Daizen, Iwatate Mineo, Hattori Santa, Fujita Mikio, Sano Wataru, Fujimori Takahiro, Sano Yasushi

机构信息

Gastrointestinal Center & Institute of Minimally-Invasive Endoscopic Care (i-MEC) Sano Hospital Hyogo Japan.

Pathology Division Sano Hospital Hyogo Japan.

出版信息

DEN Open. 2024 May 20;5(1):e390. doi: 10.1002/deo2.390. eCollection 2025 Apr.

Abstract

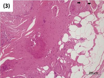
Perivascular epithelioid cell tumor (PEComa) is a rare mesenchymal tumor. Some papers have reported that colonoscopy could be used to treat PEComa with a predominantly pedunculated polyp, whereas surgical intervention is often required for cases with submucosal-type tumors. These findings suggest that the morphology of PEComa changes dramatically with disease progression. Because of the rapid progression of PEComa, endoscopic treatment remains challenging, and early-stage PEComa morphology is not well understood. A 64-year-old man presented to our hospital for a follow-up colonoscopy after undergoing multiple polypectomies. He had a medical history of colorectal adenoma and prostate cancer. A 4-mm pale blue elevated but not pedunculated lesion was observed in the transverse colon, an area where he had not had polyps previously. Since no epithelial change was observed, the presence of a submucosal tumor, such as a gastrointestinal stromal tumor, was suspected. Cold snare polypectomy was performed, and the lesion was completely resected. Histological evaluation using hematoxylin and eosin staining identified that the submucosal tumor included thickened vascular walls and adipose tissue. Although fragmented due to significant degeneration, spindle-shaped cells staining positive for smooth muscle actin were observed within and surrounding the unstructured hyalinized tissue with calcifications. Based on these findings, the lesion was diagnosed as angiomyolipoma, a subtype of PEComa. Complete resection was confirmed by histopathology. To our knowledge, this PEComa is the smallest of any PEComa reported in the literature. Our finding provides valuable insights into the very early stage of colorectal PEComas.

摘要

血管周上皮样细胞肿瘤(PEComa)是一种罕见的间叶组织肿瘤。一些文献报道,结肠镜检查可用于治疗以带蒂息肉为主的PEComa,而对于黏膜下型肿瘤病例通常需要手术干预。这些发现表明,PEComa的形态会随着疾病进展而发生显著变化。由于PEComa进展迅速,内镜治疗仍然具有挑战性,而且早期PEComa的形态尚未得到充分了解。一名64岁男性在接受多次息肉切除术后到我院进行结肠镜复查。他有结肠直肠腺瘤和前列腺癌病史。在横结肠发现一个4毫米大小的淡蓝色隆起但无蒂的病变,该区域此前未发现息肉。由于未观察到上皮变化,怀疑存在黏膜下肿瘤,如胃肠道间质瘤。进行了冷圈套息肉切除术,病变被完全切除。苏木精-伊红染色的组织学评估显示,黏膜下肿瘤包括增厚的血管壁和脂肪组织。尽管由于严重变性而破碎,但在有钙化的无结构透明变性组织内及周围观察到平滑肌肌动蛋白染色阳性的梭形细胞。基于这些发现,该病变被诊断为血管平滑肌脂肪瘤,这是PEComa的一种亚型。组织病理学证实病变已完全切除。据我们所知,该PEComa是文献报道中最小的PEComa。我们的发现为结直肠PEComa的极早期阶段提供了有价值的见解。

https://cdn.ncbi.nlm.nih.gov/pmc/blobs/d3db/11106221/3633d9741637/DEO2-5-e390-g003.jpg

文献检索

告别复杂PubMed语法,用中文像聊天一样搜索,搜遍4000万医学文献。AI智能推荐,让科研检索更轻松。

立即免费搜索

文件翻译

保留排版,准确专业,支持PDF/Word/PPT等文件格式,支持 12+语言互译。

免费翻译文档

深度研究

AI帮你快速写综述,25分钟生成高质量综述,智能提取关键信息,辅助科研写作。

立即免费体验