Suppr超能文献

MRTO4 通过抑制 ALDOB 增强糖酵解以促进 HCC 进展。

MRTO4 Enhances Glycolysis to Facilitate HCC Progression by Inhibiting ALDOB.

机构信息

Department of Hepatology and Infectious Diseases, The Second Affiliated Hospital of Shantou University Medical College, Shantou, Guangdong, China (mainland).

出版信息

Med Sci Monit. 2024 May 23;30:e944685. doi: 10.12659/MSM.944685.

Abstract

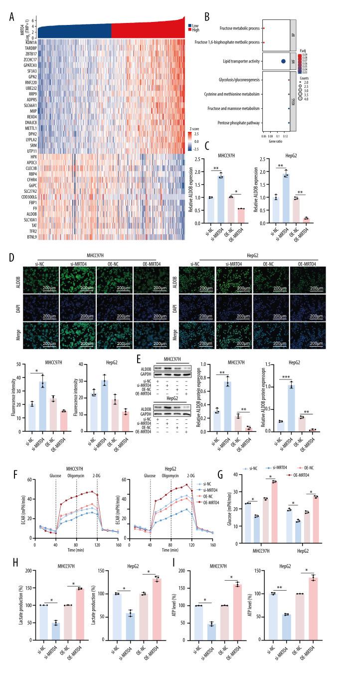
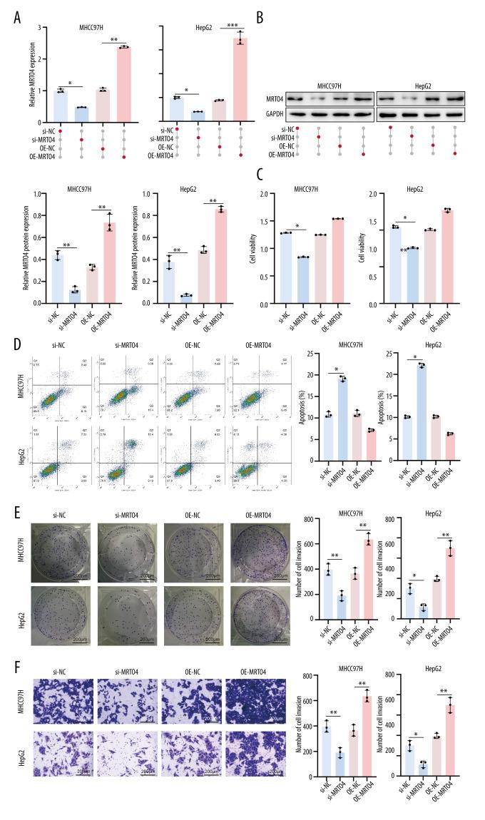
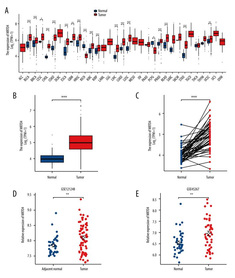
BACKGROUND MRT4 Homolog, Ribosome Maturation Factor (MRTO4) is often upregulated in cancer cells. However, its impact in hepatocellular carcinoma (HCC) is less well understood. Herein, we explored the prognostic and energy metabolism reprogramming role of MRTO4 in HCC. MATERIAL AND METHODS Clinical data were obtained from The Cancer Genome Atlas (TCGA), and the expression of MRTO4 in clinical samples was analyzed. The association between different variables and overall survival (OS) was studied, as well as their potential as independent prognostic factors, using Cox regression analysis. We constructed a nomogram including clinical pathological variables and MRTO4 expression to provide a predictive model for prognosis. Heatmaps, Gene Ontology (GO), and Kyoto Encyclopedia of Genes and Genomes (KEGG) analysis revealed the relationship between energy metabolism pathways and MRTO4. We used classic molecular biology research methods, including RT-qPCR, Western blotting, CCK8, TUNEL, Clone formation, Transwell assay, ELISA, and immunohistochemistry, to study the role of MRTO4 in promoting the progression of HCC through glycolysis regulation. RESULTS Our study showed that MRTO4 is an independent prognostic risk factor for HCC and that MRTO4 accelerates glycolysis of HCC cells, promotes proliferation and invasion, and suppresses apoptosis of HCC cells. The underlying mechanism involves MRTO4 promoting glycolysis and accelerating HCC by inhibiting ALDOB. CONCLUSIONS Our study revealed a novel mechanism by which MRTO4 promotes glycolysis and accelerates HCC progression, and suggests that inhibiting MRTO4 could be a potential therapeutic strategy for HCC.

摘要

背景

核糖体成熟因子(MRTO4)同源物 MRT4 在癌细胞中经常上调。然而,其在肝细胞癌(HCC)中的作用了解较少。在此,我们探讨了 MRTO4 在 HCC 中的预后和能量代谢重编程作用。

材料和方法

从癌症基因组图谱(TCGA)中获得临床数据,并分析临床样本中 MRTO4 的表达。研究了不同变量与总生存期(OS)之间的关联,以及它们作为独立预后因素的潜在性,使用 Cox 回归分析。我们构建了一个包含临床病理变量和 MRTO4 表达的列线图,以提供预后预测模型。热图、基因本体论(GO)和京都基因与基因组百科全书(KEGG)分析揭示了能量代谢途径与 MRTO4 之间的关系。我们使用经典的分子生物学研究方法,包括 RT-qPCR、Western blot、CCK8、TUNEL、克隆形成、Transwell 测定、ELISA 和免疫组织化学,研究了 MRTO4 通过调节糖酵解促进 HCC 进展的作用。

结果

我们的研究表明,MRTO4 是 HCC 的独立预后危险因素,MRTO4 加速 HCC 细胞的糖酵解,促进增殖和侵袭,并抑制 HCC 细胞的凋亡。其潜在机制涉及 MRTO4 通过抑制 ALDOB 促进糖酵解和加速 HCC。

结论

我们的研究揭示了 MRTO4 促进糖酵解和加速 HCC 进展的新机制,并表明抑制 MRTO4 可能是 HCC 的一种潜在治疗策略。

https://cdn.ncbi.nlm.nih.gov/pmc/blobs/6355/11131431/1a0569784a9a/medscimonit-30-e944685-g001.jpg

文献AI研究员

20分钟写一篇综述,助力文献阅读效率提升50倍。

立即体验

用中文搜PubMed

大模型驱动的PubMed中文搜索引擎

马上搜索

文档翻译

学术文献翻译模型,支持多种主流文档格式。

立即体验