Suppr超能文献

采用游离显微外科再植术并分期异位保存离断肢体进行部分手部再植:旨在改善长期疗效。

Partial hand replantation using free microsurgical replantation with staged heterotopic banking of amputated parts: towards improving long term outcomes.

作者信息

Celestin Arthur R, Bustos Valeria P, Nassar Amer H, Chow Kaimana, Neusner Alex, Kachare Swapnil, Upton Joseph, Dowlatshahi Arriyan S

机构信息

Division of Plastic and Reconstructive Surgery, Department of Surgery, Beth Israel Deaconess Medical Center, Harvard Medical School, Boston, MA, USA.

Department of Orthopaedics - Hand, Upper Extremity, Beth Israel Deaconess Medical Center, Harvard Medical School, Boston, MA, USA.

出版信息

Case Reports Plast Surg Hand Surg. 2024 May 21;11(1):2350471. doi: 10.1080/23320885.2024.2350471. eCollection 2024.

Abstract

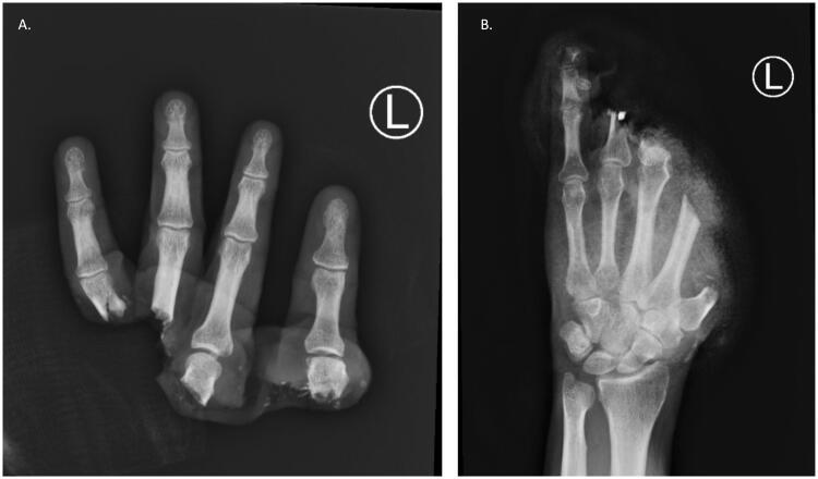
In hand trauma, the uninjured forearm has been touted as the ideal site for ectopic banking in digit/hand amputations. Here, we describe the temporary ectopic implantation and subsequent replantation of a partially amputated hand and highlight the "" - Recovery, Rehabilitation, and Revision over the first year of recovery.

摘要

在手部创伤中,未受伤的前臂一直被视为手指/手部截肢后异位储存的理想部位。在此,我们描述了部分离断手的临时异位植入及后续再植情况,并着重介绍了恢复第一年的“恢复、康复及修复”情况。

https://cdn.ncbi.nlm.nih.gov/pmc/blobs/8861/11110872/827f57274eb5/ICRP_A_2350471_F0001_B.jpg

相似文献

1
Partial hand replantation using free microsurgical replantation with staged heterotopic banking of amputated parts: towards improving long term outcomes.
Case Reports Plast Surg Hand Surg. 2024 May 21;11(1):2350471. doi: 10.1080/23320885.2024.2350471. eCollection 2024.
2
Ectopic Banking and Implantation of an Amputated Hand.
Indian J Orthop. 2020 Mar 18;54(5):731-737. doi: 10.1007/s43465-020-00078-7. eCollection 2020 Sep.
3
Revascularization and Replantation in the Hand: Ectopic Banking and Replantation.
Hand Clin. 2019 May;35(2):199-206. doi: 10.1016/j.hcl.2019.01.002. Epub 2019 Feb 25.
4
Salvage of Devascularized and Amputated Upper Extremity Digits with Temporary Ectopic Replantation: Our Clinical Series.
J Invest Surg. 2022 Jul;35(7):1451-1461. doi: 10.1080/08941939.2022.2062497. Epub 2022 Apr 12.
6
Temporary ectopic implantation for salvaging amputated parts: A systematic review.
J Trauma Acute Care Surg. 2018 Jun;84(6):985-993. doi: 10.1097/TA.0000000000001817.
8
Temporary ectopic implantation for salvage of amputated digits.
Br J Plast Surg. 1996 Apr;49(3):174-7. doi: 10.1016/s0007-1226(96)90221-0.
10
Temporary ectopic digital implantation: a clinical series of eight digits.
J Hand Surg Eur Vol. 2008 Dec;33(6):717-22. doi: 10.1177/1753193408091429. Epub 2008 Aug 11.

引用本文的文献

本文引用的文献

1
Postoperative Digit and Hand Replantation Protocols: A Review of the Literature.
J Am Acad Orthop Surg. 2021 Aug 1;29(15):e732-e742. doi: 10.5435/JAAOS-D-20-01176.
2
Multilevel Dysvascular Injury of the Hand: Replantation versus Revision Amputation.
Plast Reconstr Surg. 2020 Oct;146(4):819-829. doi: 10.1097/PRS.0000000000007158.
3
Ectopic Banking and Implantation of an Amputated Hand.
Indian J Orthop. 2020 Mar 18;54(5):731-737. doi: 10.1007/s43465-020-00078-7. eCollection 2020 Sep.
4
Efficiency in Digital and Hand Replantation.
Clin Plast Surg. 2019 Jul;46(3):359-370. doi: 10.1016/j.cps.2019.03.002. Epub 2019 Apr 16.
5
Postoperative Management and Rehabilitation of the Replanted or Revascularized Digit.
Hand Clin. 2019 May;35(2):221-229. doi: 10.1016/j.hcl.2019.01.003. Epub 2019 Feb 18.
6
Revascularization and Replantation in the Hand: Ectopic Banking and Replantation.
Hand Clin. 2019 May;35(2):199-206. doi: 10.1016/j.hcl.2019.01.002. Epub 2019 Feb 25.
7
Temporary ectopic implantation for salvaging amputated parts: A systematic review.
J Trauma Acute Care Surg. 2018 Jun;84(6):985-993. doi: 10.1097/TA.0000000000001817.
9
Finger replantation: surgical technique and indications.
Chir Main. 2013 Dec;32(6):363-72. doi: 10.1016/j.main.2013.04.012. Epub 2013 Aug 21.
10
Digit and hand replantation.
Arch Orthop Trauma Surg. 2010 Sep;130(9):1141-7. doi: 10.1007/s00402-009-1021-7. Epub 2009 Dec 9.

文献AI研究员

20分钟写一篇综述,助力文献阅读效率提升50倍。

立即体验

用中文搜PubMed

大模型驱动的PubMed中文搜索引擎

马上搜索

文档翻译

学术文献翻译模型,支持多种主流文档格式。

立即体验