Suppr超能文献

评估磁共振成像(MRI)、氟代脱氧胸苷(F-fluciclovine)正电子发射断层扫描(PET)、标准化摄取值(SUV)和前列腺特异性抗原(PSA)在检测前列腺切除术后前列腺癌局部复发中的有效性。

Assessing the effectiveness of MRI, F-fluciclovine PET, SUV, and PSA in detecting local recurrence of prostate cancer after prostatectomy.

作者信息

Virarkar Mayur K, Gruschkus Stephen K, Ravizzini Gregory C, Vulasala Sai Swarupa R, Javadi Sanaz, Bhosale Priya

机构信息

Department of Diagnostic Radiology, University of Florida College of Medicine, Jacksonville, USA.

Department of Biostatistics, The University of Texas MD Anderson Cancer Center, Houston, USA.

出版信息

Pol J Radiol. 2024 Apr 12;89:e196-e203. doi: 10.5114/pjr.2024.139007. eCollection 2024.

Abstract

PURPOSE

The primary objective of this study was to evaluate the discriminatory utility of magnetic resonance imaging (MRI), F-fluciclovine positron emission tomography (PET), maximum standardized uptake value (SUV), prostate-specific antigen (PSA), and combinations of these diagnostic modalities for detecting local prostate cancer recurrence in the setting of rising PSA after radical prostatectomy.

MATERIAL AND METHODS

Patients were characterised for clinical features such as Gleason score, PSA at surgery, PSA at follow-up, follow-up MRI result, follow-up PET result, follow-up SUV, and follow-up disease status. The utility of diagnostic parameters for detecting disease recurrence at the prostatectomy bed was assessed using receiver operating characteristics (ROC) analysis to determine the area under the curve (AUC) for each model. Sensitivity, specificity, and positive/negative predictive values were also calculated. Optimal cut-off points for continuous variables were determined based on maximum Youden's J statistics.

RESULTS

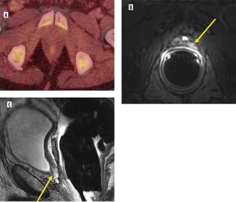
The study found that MRI had the highest concordance (96%), sensitivity (100%), specificity (91%), positive predictive value (93%), and negative predictive value (100%) among the diagnostic modalities. The AUC for MRI was 0.9545, indicating a high discriminatory ability for detecting prostate cancer local recurrence. When combined, PET and SUV (cut-off value of 2.85) showed an improved performance compared to using them individually, with an AUC of 0.8925.

CONCLUSIONS

The analysis suggests that MRI is the most effective imaging modality for detecting local prostate cancer recurrence, with F-fluciclovine PET and SUV also showing promising combined results. PSA has moderate discriminatory utility at follow-up but can still provide valuable information in detecting prostate cancer recurrence. Further research and recent references are needed to support these findings.

摘要

目的

本研究的主要目的是评估磁共振成像(MRI)、F-氟代脱氧胸苷正电子发射断层扫描(PET)、最大标准化摄取值(SUV)、前列腺特异性抗原(PSA)以及这些诊断方式的组合在检测根治性前列腺切除术后PSA升高情况下局部前列腺癌复发的鉴别效用。

材料与方法

对患者的临床特征进行了描述,如 Gleason评分、手术时的PSA、随访时的PSA、随访MRI结果、随访PET结果、随访SUV以及随访疾病状态。使用受试者操作特征(ROC)分析评估诊断参数在检测前列腺切除床疾病复发方面的效用,以确定每个模型的曲线下面积(AUC)。还计算了敏感性、特异性以及阳性/阴性预测值。基于最大约登指数(Youden's J statistics)确定连续变量的最佳截断点。

结果

研究发现,在诊断方式中,MRI具有最高的一致性(96%)、敏感性(100%)、特异性(91%)、阳性预测值(93%)和阴性预测值(100%)。MRI的AUC为0.9545,表明其在检测前列腺癌局部复发方面具有较高的鉴别能力。PET和SUV(截断值为2.85)联合使用时,与单独使用相比性能有所改善,AUC为0.8925。

结论

分析表明,MRI是检测局部前列腺癌复发最有效的成像方式,F-氟代脱氧胸苷PET和SUV联合使用也显示出有前景的结果。PSA在随访时有中等鉴别效用,但在检测前列腺癌复发方面仍可提供有价值的信息。需要进一步的研究和最新参考文献来支持这些发现。

https://cdn.ncbi.nlm.nih.gov/pmc/blobs/9c6e/11112415/e9eed1b88c21/PJR-89-184029-g001.jpg

文献AI研究员

20分钟写一篇综述,助力文献阅读效率提升50倍。

立即体验

用中文搜PubMed

大模型驱动的PubMed中文搜索引擎

马上搜索

文档翻译

学术文献翻译模型,支持多种主流文档格式。

立即体验