• 文献检索
  • 文档翻译
  • 深度研究
  • 学术资讯
  • Suppr Zotero 插件Zotero 插件
  • 邀请有礼
  • 套餐&价格
  • 历史记录
应用&插件
Suppr Zotero 插件Zotero 插件浏览器插件Mac 客户端Windows 客户端微信小程序
定价
高级版会员购买积分包购买API积分包
服务
文献检索文档翻译深度研究API 文档MCP 服务
关于我们
关于 Suppr公司介绍联系我们用户协议隐私条款
关注我们

Suppr 超能文献

核心技术专利:CN118964589B侵权必究
粤ICP备2023148730 号-1Suppr @ 2026

文献检索

告别复杂PubMed语法,用中文像聊天一样搜索,搜遍4000万医学文献。AI智能推荐,让科研检索更轻松。

立即免费搜索

文件翻译

保留排版,准确专业,支持PDF/Word/PPT等文件格式,支持 12+语言互译。

免费翻译文档

深度研究

AI帮你快速写综述,25分钟生成高质量综述,智能提取关键信息,辅助科研写作。

立即免费体验

双侧膝关节融合术及全髋关节置换术治疗脊柱裂继发的膝关节和髋关节发育不良:一例报告

Bilateral Knee Arthrodesis and Total Hip Arthroplasty for Knee and Hip Dysplasia Secondary to Spina Bifida: A Case Report.

作者信息

Neitzke Colin, Gusho Charles, Yu Austin, Williams Joel

机构信息

Department of Orthopedic Surgery, Hospital for Special Surgery, City New York, New York.

Chicago Medical School, North Chicago, Illinois.

出版信息

J Orthop Case Rep. 2024 May;14(5):78-82. doi: 10.13107/jocr.2024.v14.i05.4440.

DOI:10.13107/jocr.2024.v14.i05.4440
PMID:38784872
原文链接:https://pmc.ncbi.nlm.nih.gov/articles/PMC11111242/
Abstract

INTRODUCTION

Spina bifida is a rare neurological condition that, if uncorrected, may cause chronic valgus knee stress difficulty with independent ambulation and significant pain. Current literature lacks comprehensive guidance on surgically correcting progressive hip and knee deformities in spina bifida patients, which include osteotomy and primary. When these options are contraindicated, alternative approaches such as arthrodesis may be indicated, although they remain understudied in this population.

CASE REPORT

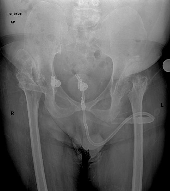
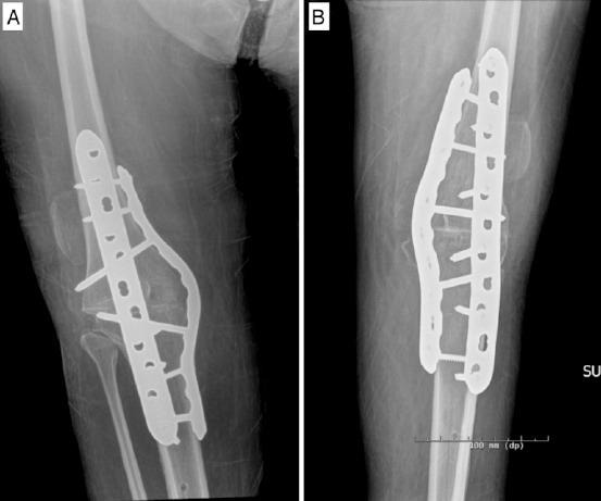
A 47-year-old man presented with bilateral hip and knee pain. Radiographs demonstrated valgus knee deformities with severe arthrosis and bilateral femoral head subluxation. The patient had a history of spina bifida with chronic lower extremity weakness and neurogenic bladder. He underwent staged bilateral instrumented knee arthrodesis and staged bilateral total hip arthroplasty (THA).

CONCLUSION

This is the first reported case of bilateral instrumented knee arthrodesis in a patient with spina bifida. Orthopedic care of these patients is complex. Surgical correction of symptomatic knee and hip deformities through instrumented arthrodesis and THA may permit an improved functional outcome.

摘要

引言

脊柱裂是一种罕见的神经系统疾病,如果不加以矫正,可能会导致慢性膝外翻应力,影响独立行走并引起严重疼痛。目前的文献缺乏关于手术矫正脊柱裂患者进行性髋部和膝部畸形的全面指导,这些畸形包括截骨术和初次手术。当这些选择存在禁忌时,可能需要采用诸如关节融合术等替代方法,尽管在这一人群中对其研究仍然不足。

病例报告

一名47岁男性因双侧髋部和膝部疼痛就诊。X线片显示膝外翻畸形伴严重关节炎和双侧股骨头半脱位。该患者有脊柱裂病史,伴有慢性下肢无力和神经源性膀胱。他接受了分期双侧器械辅助膝关节融合术和分期双侧全髋关节置换术(THA)。

结论

这是首例报道的脊柱裂患者接受双侧器械辅助膝关节融合术的病例。这些患者的骨科护理较为复杂。通过器械辅助关节融合术和全髋关节置换术对有症状的膝部和髋部畸形进行手术矫正,可能会改善功能结局。

https://cdn.ncbi.nlm.nih.gov/pmc/blobs/c144/11111242/f75c87beda50/JOCR-14-78-g004.jpg
https://cdn.ncbi.nlm.nih.gov/pmc/blobs/c144/11111242/b2023af29fe6/JOCR-14-78-g001.jpg
https://cdn.ncbi.nlm.nih.gov/pmc/blobs/c144/11111242/b20586ca18ee/JOCR-14-78-g002.jpg
https://cdn.ncbi.nlm.nih.gov/pmc/blobs/c144/11111242/110169e2dfba/JOCR-14-78-g003.jpg
https://cdn.ncbi.nlm.nih.gov/pmc/blobs/c144/11111242/f75c87beda50/JOCR-14-78-g004.jpg
https://cdn.ncbi.nlm.nih.gov/pmc/blobs/c144/11111242/b2023af29fe6/JOCR-14-78-g001.jpg
https://cdn.ncbi.nlm.nih.gov/pmc/blobs/c144/11111242/b20586ca18ee/JOCR-14-78-g002.jpg
https://cdn.ncbi.nlm.nih.gov/pmc/blobs/c144/11111242/110169e2dfba/JOCR-14-78-g003.jpg
https://cdn.ncbi.nlm.nih.gov/pmc/blobs/c144/11111242/f75c87beda50/JOCR-14-78-g004.jpg

相似文献

1
Bilateral Knee Arthrodesis and Total Hip Arthroplasty for Knee and Hip Dysplasia Secondary to Spina Bifida: A Case Report.双侧膝关节融合术及全髋关节置换术治疗脊柱裂继发的膝关节和髋关节发育不良:一例报告
J Orthop Case Rep. 2024 May;14(5):78-82. doi: 10.13107/jocr.2024.v14.i05.4440.
2
Orthopedic management of spina bifida. Part I: hip, knee, and rotational deformities.脊柱裂的骨科治疗。第一部分:髋、膝及旋转畸形。
J Child Orthop. 2009 Dec;3(6):441-9. doi: 10.1007/s11832-009-0214-5. Epub 2009 Oct 25.
3
The results of Grice Green subtalar arthrodesis of valgus foot in spina bifida.脊柱裂中足外翻的Grice Green距下关节融合术的结果
Indian J Orthop. 2012 May;46(3):333-8. doi: 10.4103/0019-5413.96384.
4
Total knee arthroplasty in patients with prior ipsilateral hip arthrodesis.既往同侧髋关节融合患者的全膝关节置换术。
Eur J Orthop Surg Traumatol. 2018 Apr;28(3):521-524. doi: 10.1007/s00590-017-2070-1. Epub 2017 Oct 27.
5
Orthopaedic management of spina bifida-part II: foot and ankle deformities.脊柱裂的骨科治疗——第二部分:足踝畸形
J Child Orthop. 2011 Dec;5(6):403-14. doi: 10.1007/s11832-011-0368-9. Epub 2011 Sep 20.
6
Total Hip Arthroplasty through Direct Anterior Approach in a Patient with Ipsilateral Knee Arthrodesis: A Case Report.同侧膝关节融合患者经直接前路行全髋关节置换术:一例报告
J Orthop Case Rep. 2023 Jan;13(1):81-86. doi: 10.13107/jocr.2023.v13.i01.3524.
7
Conversion of hip arthrodesis to total hip arthroplasty.髋关节融合术转换为全髋关节置换术。
Instr Course Lect. 2001;50:297-305.
8
Orthopedic and habilitation management of patients with spina bifida and myelomeningocele.脊柱裂和脊髓脊膜膨出患者的骨科及康复治疗管理
Med Clin North Am. 1969 May;53(3):502-9.
9
Conversion of hip fusion to total hip arthroplasty: clinical, radiological outcomes and complications in 40 hips.髋关节融合术转换为全髋关节置换术:40例髋关节的临床、影像学结果及并发症
Arch Orthop Trauma Surg. 2017 Jan;137(1):119-127. doi: 10.1007/s00402-016-2597-3. Epub 2016 Nov 29.
10
Bilateral total hip arthroplasty in a case with fibrous dysplasia: a case report.双侧全髋关节置换术治疗纤维结构不良 1 例报告
J Med Case Rep. 2023 Aug 30;17(1):371. doi: 10.1186/s13256-023-04084-9.

本文引用的文献

1
Anterior femoral epiphysiodesis for the treatment of fixed knee flexion deformity in spina bifida patients.股骨髁上骨骺阻滞术治疗脊柱裂患者的固定性膝关节屈曲畸形
J Pediatr Orthop. 2010 Dec;30(8):858-62. doi: 10.1097/BPO.0b013e3181f10297.
2
Updated National Birth Prevalence estimates for selected birth defects in the United States, 2004-2006.2004 - 2006年美国部分出生缺陷的最新全国出生患病率估计
Birth Defects Res A Clin Mol Teratol. 2010 Dec;88(12):1008-16. doi: 10.1002/bdra.20735. Epub 2010 Sep 28.
3
Orthopedic management of spina bifida. Part I: hip, knee, and rotational deformities.
脊柱裂的骨科治疗。第一部分:髋、膝及旋转畸形。
J Child Orthop. 2009 Dec;3(6):441-9. doi: 10.1007/s11832-009-0214-5. Epub 2009 Oct 25.
4
Racial/ethnic differences in the birth prevalence of spina bifida - United States, 1995-2005.1995 - 2005年美国脊柱裂出生患病率的种族/民族差异
MMWR Morb Mortal Wkly Rep. 2009 Jan 9;57(53):1409-13.
5
Fetal surgery for neural tube defects.神经管缺陷的胎儿手术
Best Pract Res Clin Obstet Gynaecol. 2008 Feb;22(1):175-88. doi: 10.1016/j.bpobgyn.2007.07.004. Epub 2007 Aug 22.
6
Orthopaedic care in spina bifida: past, present, and future.
Dev Med Child Neurol. 2004 Sep;46(9):579. doi: 10.1017/s0012162204000982.
7
Arthrodesis of the knee.膝关节融合术
J Bone Joint Surg Am. 2004 Apr;86(4):835-48. doi: 10.2106/00004623-200404000-00027.
8
Skeletal maturity in myelomeningocele.
J Pediatr Orthop. 2003 Nov-Dec;23(6):718-21. doi: 10.1097/00004694-200311000-00007.
9
Fetal surgery for myelomeningocele.
N Engl J Med. 2002 Jul 25;347(4):230-1. doi: 10.1056/NEJMp020073.
10
Valgus knee stress in lumbosacral myelomeningocele: a gait-analysis evaluation.
J Pediatr Orthop. 1998 Jul-Aug;18(4):428-33.