• 文献检索
  • 文档翻译
  • 深度研究
  • 学术资讯
  • Suppr Zotero 插件Zotero 插件
  • 邀请有礼
  • 套餐&价格
  • 历史记录
应用&插件
Suppr Zotero 插件Zotero 插件浏览器插件Mac 客户端Windows 客户端微信小程序
定价
高级版会员购买积分包购买API积分包
服务
文献检索文档翻译深度研究API 文档MCP 服务
关于我们
关于 Suppr公司介绍联系我们用户协议隐私条款
关注我们

Suppr 超能文献

核心技术专利:CN118964589B侵权必究
粤ICP备2023148730 号-1Suppr @ 2026

文献检索

告别复杂PubMed语法,用中文像聊天一样搜索,搜遍4000万医学文献。AI智能推荐,让科研检索更轻松。

立即免费搜索

文件翻译

保留排版,准确专业,支持PDF/Word/PPT等文件格式,支持 12+语言互译。

免费翻译文档

深度研究

AI帮你快速写综述,25分钟生成高质量综述,智能提取关键信息,辅助科研写作。

立即免费体验

儿童肱骨外侧髁骨折:一种新手术技术的结果

Lateral Humeral Condyle Fracture in Childhood: Results of a New Surgical Technique.

作者信息

Masci Giulia, Basiglini Luca, Giusti Carlotta, Aulisa Angelo Gabriele, Falciglia Francesco

机构信息

U.O.C of Orthopedics and Traumatology, Bambino Gesù Children Hospital, IRCSS (Istituto di Ricovero e Cura a Carattere Scientifico), 00165 Rome, Italy.

Department of Human Sciences, Society and Health, University of Cassino and Southern Lazio, 03043 Cassino, Italy.

出版信息

J Clin Med. 2024 May 11;13(10):2830. doi: 10.3390/jcm13102830.

DOI:10.3390/jcm13102830
PMID:38792372
原文链接:https://pmc.ncbi.nlm.nih.gov/articles/PMC11122216/
Abstract

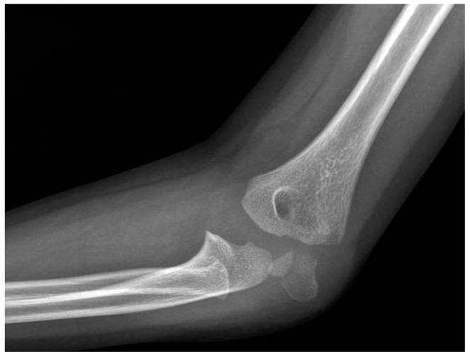
Fractures of the lateral condyle of the humerus are one of the most common fractures in children, accounting for between 10% and 20% of fractures involving the elbow, with a peak incidence at 6 years of age. Treatment is often surgical for displaced fractures > 2 mm, according to Milch and Jakob classification. There is no consensus in the literature about the appropriate surgical management of these fractures. : The aim of this study is to describe, propose, and evaluate outcomes and complications of the surgical technique of reduction and osteosynthesis using trans-bone suture with resorbable threads. : Patients with lateral condyle fractures treated with this surgical technique from 2015 to 2019 were included in this retrospective study, with a minimum follow-up of 24 months. For clinical and functional assessment of the elbow, Mayo Elbow Scores were recorded; we assessed the time of fracture healing, carrying angles, and Baumann angle of the affected limb compared to the healthy contralateral elbow for radiographic data. Complications have also been described. : We achieved satisfactory results; 36 patients with lateral condyle fractures were included in this study. Radiological healing was achieved in all cases. There was only one complication. No cases required additional surgical procedures. Almost all patients achieved a complete flexion of 110 degrees or more and complete extension. : This surgical technique has good functional outcomes and fracture healing, a lower incidence of complications when compared to other surgical techniques, and no mechanical failure with good clinical and radiological results.

摘要

肱骨外侧髁骨折是儿童最常见的骨折之一,占肘部骨折的10%至20%,发病高峰年龄为6岁。根据米尔奇(Milch)和雅各布(Jakob)分类法,对于移位超过2毫米的骨折,治疗通常采用手术治疗。关于这些骨折的适当手术管理,文献中尚无共识。本研究的目的是描述、提出并评估使用可吸收线经骨缝合进行复位和骨固定手术技术的结果及并发症。本回顾性研究纳入了2015年至2019年采用该手术技术治疗的外侧髁骨折患者,最小随访时间为24个月。对于肘部的临床和功能评估,记录梅奥肘关节评分;对于影像学数据,我们评估了骨折愈合时间、携带角以及患侧肢体与健康对侧肘部相比的鲍曼角。还描述了并发症情况。我们取得了满意的结果;本研究纳入了36例外侧髁骨折患者。所有病例均实现了放射学愈合。仅出现1例并发症。无需进行额外的手术。几乎所有患者均实现了110度或更大角度的完全屈曲和完全伸展。该手术技术具有良好的功能结果和骨折愈合情况,与其他手术技术相比并发症发生率较低,且无机械故障,临床和放射学结果良好。

https://cdn.ncbi.nlm.nih.gov/pmc/blobs/bdbd/11122216/a1f470d261a1/jcm-13-02830-g014.jpg
https://cdn.ncbi.nlm.nih.gov/pmc/blobs/bdbd/11122216/d8e19ef72a3d/jcm-13-02830-g001.jpg
https://cdn.ncbi.nlm.nih.gov/pmc/blobs/bdbd/11122216/21cbef0db0d4/jcm-13-02830-g002.jpg
https://cdn.ncbi.nlm.nih.gov/pmc/blobs/bdbd/11122216/daca2441ced1/jcm-13-02830-g003.jpg
https://cdn.ncbi.nlm.nih.gov/pmc/blobs/bdbd/11122216/b15847eeb3ef/jcm-13-02830-g004.jpg
https://cdn.ncbi.nlm.nih.gov/pmc/blobs/bdbd/11122216/f94d205ec581/jcm-13-02830-g005.jpg
https://cdn.ncbi.nlm.nih.gov/pmc/blobs/bdbd/11122216/be8f68fc6342/jcm-13-02830-g006.jpg
https://cdn.ncbi.nlm.nih.gov/pmc/blobs/bdbd/11122216/8b986c200a02/jcm-13-02830-g007.jpg
https://cdn.ncbi.nlm.nih.gov/pmc/blobs/bdbd/11122216/ad76719a72f8/jcm-13-02830-g008.jpg
https://cdn.ncbi.nlm.nih.gov/pmc/blobs/bdbd/11122216/e8f9176d2d50/jcm-13-02830-g009.jpg
https://cdn.ncbi.nlm.nih.gov/pmc/blobs/bdbd/11122216/973ec8d571d9/jcm-13-02830-g010.jpg
https://cdn.ncbi.nlm.nih.gov/pmc/blobs/bdbd/11122216/26a382d09804/jcm-13-02830-g011.jpg
https://cdn.ncbi.nlm.nih.gov/pmc/blobs/bdbd/11122216/55e5093d47a3/jcm-13-02830-g012.jpg
https://cdn.ncbi.nlm.nih.gov/pmc/blobs/bdbd/11122216/e044182c982f/jcm-13-02830-g013.jpg
https://cdn.ncbi.nlm.nih.gov/pmc/blobs/bdbd/11122216/a1f470d261a1/jcm-13-02830-g014.jpg
https://cdn.ncbi.nlm.nih.gov/pmc/blobs/bdbd/11122216/d8e19ef72a3d/jcm-13-02830-g001.jpg
https://cdn.ncbi.nlm.nih.gov/pmc/blobs/bdbd/11122216/21cbef0db0d4/jcm-13-02830-g002.jpg
https://cdn.ncbi.nlm.nih.gov/pmc/blobs/bdbd/11122216/daca2441ced1/jcm-13-02830-g003.jpg
https://cdn.ncbi.nlm.nih.gov/pmc/blobs/bdbd/11122216/b15847eeb3ef/jcm-13-02830-g004.jpg
https://cdn.ncbi.nlm.nih.gov/pmc/blobs/bdbd/11122216/f94d205ec581/jcm-13-02830-g005.jpg
https://cdn.ncbi.nlm.nih.gov/pmc/blobs/bdbd/11122216/be8f68fc6342/jcm-13-02830-g006.jpg
https://cdn.ncbi.nlm.nih.gov/pmc/blobs/bdbd/11122216/8b986c200a02/jcm-13-02830-g007.jpg
https://cdn.ncbi.nlm.nih.gov/pmc/blobs/bdbd/11122216/ad76719a72f8/jcm-13-02830-g008.jpg
https://cdn.ncbi.nlm.nih.gov/pmc/blobs/bdbd/11122216/e8f9176d2d50/jcm-13-02830-g009.jpg
https://cdn.ncbi.nlm.nih.gov/pmc/blobs/bdbd/11122216/973ec8d571d9/jcm-13-02830-g010.jpg
https://cdn.ncbi.nlm.nih.gov/pmc/blobs/bdbd/11122216/26a382d09804/jcm-13-02830-g011.jpg
https://cdn.ncbi.nlm.nih.gov/pmc/blobs/bdbd/11122216/55e5093d47a3/jcm-13-02830-g012.jpg
https://cdn.ncbi.nlm.nih.gov/pmc/blobs/bdbd/11122216/e044182c982f/jcm-13-02830-g013.jpg
https://cdn.ncbi.nlm.nih.gov/pmc/blobs/bdbd/11122216/a1f470d261a1/jcm-13-02830-g014.jpg

相似文献

1
Lateral Humeral Condyle Fracture in Childhood: Results of a New Surgical Technique.儿童肱骨外侧髁骨折:一种新手术技术的结果
J Clin Med. 2024 May 11;13(10):2830. doi: 10.3390/jcm13102830.
2
Triple management of cubitus valgus deformity complicating neglected nonunion of fractures of lateral humeral condyle in children: a case series.儿童肱骨外侧髁骨折陈旧性骨不连并发肘外翻畸形的三联治疗:病例系列
Int Orthop. 2018 Feb;42(2):375-384. doi: 10.1007/s00264-017-3709-6. Epub 2017 Dec 6.
3
Intra-articular corrective osteotomy of humeral lateral condyle malunions in children: early clinical and radiographic results.儿童肱骨外侧髁骨折畸形愈合的关节内矫正截骨术:早期临床及影像学结果
J Pediatr Orthop. 2013 Jan;33(1):20-5. doi: 10.1097/BPO.0b013e318279c4cd.
4
Growth arrest of the capitellar physis after displaced lateral condyle fractures in children.儿童外侧髁骨折移位后肱骨小头骨骺生长停滞
J Pediatr Orthop. 2012 Dec;32(8):e57-62. doi: 10.1097/BPO.0b013e31826bb0d5.
5
Management of Lateral Condyle Humeral Fracture Associated With Elbow Dislocation in Children. A Retrospective International Multicenter Cohort Study.儿童伴发肘关节脱位的肱骨外侧髁骨折的治疗。一项回顾性国际多中心队列研究。
J Pediatr Orthop. 2024 Feb 1;44(2):82-88. doi: 10.1097/BPO.0000000000002574. Epub 2023 Nov 20.
6
Functional and Radiological Outcome in Delayed Presenting Closed Displaced Lateral Condyle Fracture of Humerus in Children.儿童迟发性移位外侧髁闭合性肱骨骨折的功能和影像学结果。
J Coll Physicians Surg Pak. 2021 Jan;31(1):107-109. doi: 10.29271/jcpsp.2021.01.107.
7
Lateral Condyle Fracture of the Humerus Among Children Attending a Pediatric Emergency Department: A 10-Year Single-Center Experience.儿童肱骨外髁骨折:10 年单中心经验。
Pediatr Emerg Care. 2021 Dec 1;37(12):e1339-e1344. doi: 10.1097/PEC.0000000000002032.
8
Screw osteosynthesis of displaced lateral humeral condyle fractures in children: a mid-term review.儿童肱骨外侧髁移位骨折的螺钉内固定:中期回顾
Med J Malaysia. 2006 Feb;61 Suppl A:40-4.
9
Fractures of the lateral condyle of the humerus associated with elbow dislocation in children. A systematic review of the literature.儿童肱骨外侧髁骨折合并肘关节脱位。文献系统综述
Rev Esp Cir Ortop Traumatol. 2022 Mar-Apr;66(2):95-104. doi: 10.1016/j.recot.2021.07.008. Epub 2021 Nov 19.
10
[Functional results of displaced lateral condyle fractures of the humerus with four-week K-wire fixation in children].[儿童肱骨外侧髁骨折移位采用克氏针固定四周后的功能结果]
Acta Orthop Traumatol Turc. 2005;39(3):193-8.

本文引用的文献

1
Criteria of ultrasound-guided closed reduction with percutaneous pinning in unstable humeral lateral condylar fractures: a three-center retrospective cohort study.超声引导下经皮穿针内固定治疗儿童肱骨外髁骨折的标准:一项三中心回顾性队列研究
Front Pediatr. 2024 Mar 6;12:1373913. doi: 10.3389/fped.2024.1373913. eCollection 2024.
2
A Comparative Study of the Modified Baumann's Angle Between the Dominant and Non-Dominant Sides in a North Indian Pediatric Population.印度北部儿科人群优势侧与非优势侧改良鲍曼角的比较研究
Cureus. 2023 Oct 25;15(10):e47687. doi: 10.7759/cureus.47687. eCollection 2023 Oct.
3
Retrospective study of open reduction and internal fixation of lateral humeral condyle fractures with absorbable screws and absorbable sutures in children.
儿童肱骨外侧髁骨折采用可吸收螺钉和可吸收缝线切开复位内固定的回顾性研究
Medicine (Baltimore). 2019 Nov;98(44):e17850. doi: 10.1097/MD.0000000000017850.
4
Current Concepts in the Treatment of Lateral Condyle Fractures in Children.儿童外侧髁骨折的治疗现状。
J Am Acad Orthop Surg. 2020 Jan 1;28(1):e9-e19. doi: 10.5435/JAAOS-D-17-00815.
5
Should Kirschner wires for fixation of lateral humeral condyle fractures in children be buried or left exposed? A systematic review.儿童外侧髁骨骨折固定用克氏针应埋入或暴露?系统评价。
Orthop Traumatol Surg Res. 2019 Jun;105(4):739-745. doi: 10.1016/j.otsr.2019.03.007. Epub 2019 Apr 19.
6
Percutaneous Screw Fixation of Lateral Condylar Humeral Fractures.肱骨外侧髁骨折的经皮螺钉固定术
JBJS Essent Surg Tech. 2016 Apr 27;6(2):e15. doi: 10.2106/JBJS.ST.15.00060. eCollection 2016 Jun 22.
7
Lateral condylar fractures of the humerus in children: does the type of fixation matter?儿童肱骨外侧髁骨折:固定方式重要吗?
Bone Joint J. 2018 Mar 1;100-B(3):387-395. doi: 10.1302/0301-620X.100B3.BJJ-2017-0814.R1.
8
Paediatric lateral condyle fractures: a systematic review.小儿外侧髁骨折:一项系统评价
Arch Orthop Trauma Surg. 2018 Jun;138(6):809-817. doi: 10.1007/s00402-018-2920-2. Epub 2018 Mar 24.
9
Diagnosis, management and complications of distal humerus lateral condyle fractures in children.儿童肱骨远端外侧髁骨折的诊断、治疗及并发症
Shoulder Elbow. 2018 Apr;10(2):114-120. doi: 10.1177/1758573217701107. Epub 2017 Apr 11.
10
Cannulated screw Kirschner-wire fixation for Milch II lateral condyle fractures in a paediatric sawbone model: a biomechanical comparison.空心螺钉与克氏针固定小儿锯骨模型中米尔希II型外侧髁骨折的生物力学比较
J Child Orthop. 2018 Feb 1;12(1):29-35. doi: 10.1302/1863-2548.12.170090.