Suppr超能文献

下颌第三磨牙与下颌角和髁突骨折的关系。

Relationship between mandibular third molars and mandibular angle and condylar fractures.

机构信息

Department of Stomatology Yanbian University Hospital Yanji, Jilin 133000, China

出版信息

Med Oral Patol Oral Cir Bucal. 2024 Sep 1;29(5):e634-e643. doi: 10.4317/medoral.26604.

Abstract

BACKGROUND

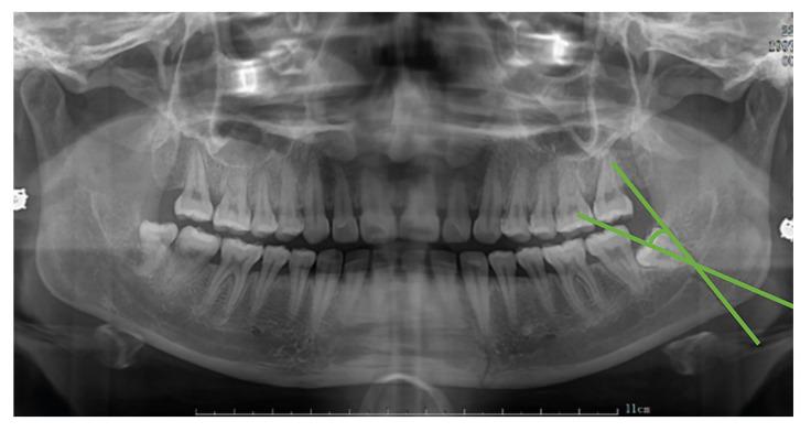
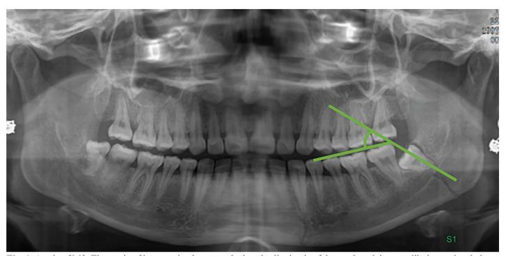
Assess the correlation between the position of the third molar (M3) and fractures of the mandibular angle and condyle using panoramic radiographs to offer valuable data references for oral clinical research.

MATERIAL AND METHODS

A retrospective cross-sectional study was undertaken, involving the collection of 409 cases of mandibular fracture in the Yanbian University Hospital. The case records and panoramic radiographs of mandibular angle fracture (78 cases) and condylar fracture (106 cases) were evaluated.

RESULTS

In the comparative analysis between the mandibular angle fracture group and the condylar fracture group, statistical significance was observed in the variables of M3 existence (P = 0.002), eruption of M3 from the alveolar cavity (P = 0.003), P&G position classification (P = 0.001), deep impactions (Classes IC, IIC, IIIB, and IIIC) (P < 0.001), and the presence of impacted M3 in both groups (P < 0.001).Regarding M3 roots, the mandibular angle fracture group exhibited the highest prevalence of multiple roots at 75.4%, surpassing the 64.6% observed in the condylar fracture group. The prevalence of proximal angles in the mandibular angle group and the condyle group was the highest, accounting for 64.6% and 61.5%, respectively. The percentage of M3 in the two groups was 80% and 43.1%, respectively, with a significant difference (P < 0.001).

CONCLUSIONS

Impacted mandibular third molars (M3) elevate the risk of mandibular angle fractures, while their absence or normal eruption reduces this risk and protects against condylar process fractures. The fracture risk is influenced by the M3's position: P&G Class II and Class B impactions, where M3s emerge partially from the alveolar bone, are significantly associated with mandibular angle fractures. In contrast, the absence of M3 or its placement in P&G Class I and Class A positions tends to correlate with a higher incidence of condylar process fractures.

摘要

背景

通过全景片评估第三磨牙(M3)位置与下颌角和髁突骨折的相关性,为口腔临床研究提供有价值的数据参考。

材料与方法

采用回顾性横断面研究,收集延边大学附属医院 409 例下颌骨骨折病例。评估下颌角骨折(78 例)和髁突骨折(106 例)的病例记录和全景片。

结果

在下颌角骨折组和髁突骨折组的比较分析中,M3 存在(P=0.002)、M3 从牙槽骨萌出(P=0.003)、P&G 位置分类(P=0.001)、深嵌(IC、IIC、IIIB 和 IIIC 类)(P<0.001)和两组中 M3 嵌塞的存在(P<0.001)等变量有统计学意义。关于 M3 根,下颌角骨折组的多根发生率最高,为 75.4%,高于髁突骨折组的 64.6%。下颌角组和髁突组的近角发生率最高,分别为 64.6%和 61.5%。两组 M3 的百分比分别为 80%和 43.1%,差异有统计学意义(P<0.001)。

结论

下颌第三磨牙(M3)嵌塞增加下颌角骨折的风险,而 M3 缺失或正常萌出降低这种风险,可预防髁突骨折。M3 的位置影响骨折风险:P&G Ⅱ类和 B 类嵌塞,M3 部分从牙槽骨萌出,与下颌角骨折显著相关。相比之下,M3 缺失或位于 P&G Ⅰ类和 A 类位置与髁突骨折发生率较高相关。

https://cdn.ncbi.nlm.nih.gov/pmc/blobs/5a23/11365053/bc4e2e5876e9/medoral-29-e634-g001.jpg

文献AI研究员

20分钟写一篇综述,助力文献阅读效率提升50倍。

立即体验

用中文搜PubMed

大模型驱动的PubMed中文搜索引擎

马上搜索

文档翻译

学术文献翻译模型,支持多种主流文档格式。

立即体验