Lugovskaya A Y, Britvin T A, Gurevich L E, Rog I S, Nefedova L N, Ilovayskaya I A
Moscow Regional Research and Clinical Institute.
Lomonosov Moscow State University.
Probl Endokrinol (Mosk). 2023 Sep 11;70(2):53-64. doi: 10.14341/probl13345.
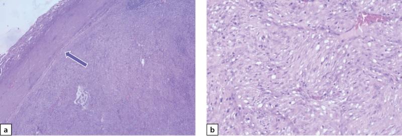
We presented the clinical case of neurofibromatosis type 1 (NF-1) associated with pheochromocytoma (PHEO) in a man under 40 years old without family history. The diagnosis of NF-1 was established based on 4 signs of the disease (multiple café au lait macules, scoliotic changes in posture, the presence of multiple neurofibromas, Lisch nodules). The diagnosis of PHEO was determined by a significant increase of free metanephrin/normethanephrin levels in daily urine, a malignant CT phenotype of the right adrenal tumor, and confirmed by pathomorphological study. Genetic tests revealed a new mutation in one of the alleles of NF1 gene, a deletion of a 566 bp gene fragment, including exon 19 with a size of 73 bp. This mutation leads to splicing of exons 18 and 20, frameshift, and termination of protein synthesis. A study of the level of transcription of the genes associated with PHEO (RET, TMEM127, MAX, FGFR, MET, MERTK, BRAF, NGFR, Pi3, AKT, MTOR, KRAS, MAPK) was conducted, a statistically significant decrease in the level of transcription of the KRAS and BRAF genes and increase in the level of transcription of the TMEM127 gene in comparison with control samples have been detected. This case demonstrates the need for timely recognition of NF-1 for further appropriate patient's follow up and show the effectiveness of a multidisciplinary approach to the diagnosis and treatment of NF-1-associated catecholamine-secreting tumors.
我们报告了一例1型神经纤维瘤病(NF-1)合并嗜铬细胞瘤(PHEO)的临床病例,患者为一名40岁以下无家族病史的男性。NF-1的诊断基于该疾病的4项体征(多个咖啡牛奶斑、脊柱侧弯姿势改变、多个神经纤维瘤、Lisch结节)。PHEO的诊断通过每日尿液中游离甲氧基肾上腺素/去甲氧基肾上腺素水平显著升高、右肾上腺肿瘤的恶性CT表型确定,并经病理形态学研究证实。基因检测发现NF1基因的一个等位基因发生新突变,一个566 bp基因片段缺失,包括73 bp的外显子19。该突变导致外显子18和20拼接、移码并终止蛋白质合成。对与PHEO相关的基因(RET、TMEM127、MAX、FGFR、MET、MERTK、BRAF、NGFR、Pi3、AKT、MTOR、KRAS、MAPK)的转录水平进行了研究,与对照样本相比,检测到KRAS和BRAF基因的转录水平有统计学意义的降低,TMEM127基因的转录水平升高。该病例表明需要及时识别NF-1以便对患者进行进一步的适当随访,并显示了多学科方法诊断和治疗NF-1相关儿茶酚胺分泌肿瘤的有效性。