• 文献检索
  • 文档翻译
  • 深度研究
  • 学术资讯
  • Suppr Zotero 插件Zotero 插件
  • 邀请有礼
  • 套餐&价格
  • 历史记录
应用&插件
Suppr Zotero 插件Zotero 插件浏览器插件Mac 客户端Windows 客户端微信小程序
定价
高级版会员购买积分包购买API积分包
服务
文献检索文档翻译深度研究API 文档MCP 服务
关于我们
关于 Suppr公司介绍联系我们用户协议隐私条款
关注我们

Suppr 超能文献

核心技术专利:CN118964589B侵权必究
粤ICP备2023148730 号-1Suppr @ 2026

文献检索

告别复杂PubMed语法,用中文像聊天一样搜索,搜遍4000万医学文献。AI智能推荐,让科研检索更轻松。

立即免费搜索

文件翻译

保留排版,准确专业,支持PDF/Word/PPT等文件格式,支持 12+语言互译。

免费翻译文档

深度研究

AI帮你快速写综述,25分钟生成高质量综述,智能提取关键信息,辅助科研写作。

立即免费体验

桡动脉阻力指数与全身血管阻力指数的相关性:一项横断面研究。

Correlation between the radial artery resistance index and the systemic vascular resistance index: a cross-sectional study.

作者信息

Rodríguez Aparicio Edith Elianna, Almanza Hernández David Fernando, Rubio Ramos Cristhian, Moreno Knudsen María Paula, Rodriguez Lima David Rene

机构信息

Critical and Intensive Care Medicine, Escuela de Medicina y Ciencias de la Salud, Universidad del Rosario, Bogotá, Colombia.

Critical and Intensive Care Medicine, Hospital Universitario Mayor-Méderi, Bogotá, Colombia.

出版信息

Ultrasound J. 2024 May 27;16(1):29. doi: 10.1186/s13089-024-00379-0.

DOI:10.1186/s13089-024-00379-0
PMID:38801552
原文链接:https://pmc.ncbi.nlm.nih.gov/articles/PMC11130094/
Abstract

INTRODUCTION

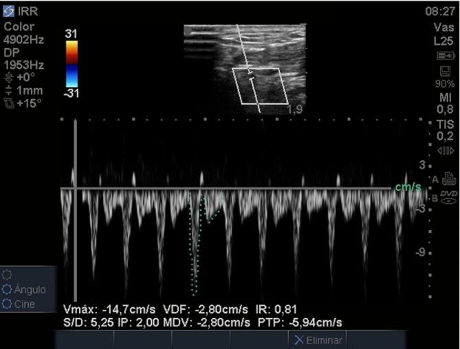
Ultrasound measurement of the radial resistance index (RRI) in the anatomical snuffbox has been proposed as a useful method for assessing the systemic vascular resistance index (SVRI). This study aims to establish the correlation between SVRI measured by pulmonary artery catheter (PAC) and RRI.

METHODS

A cross-sectional study included all consecutive patients undergoing postoperative (POP) cardiac surgery with hemodynamic monitoring using PAC. Hemodynamic assessment was performed using PAC, and RRI was measured with ultrasound in the anatomical snuffbox. The Pearson correlation test was used to establish the correlation between RRI and SVRI measured using PAC. Hemodynamic behavior concerning RRI with a cutoff point of 1.1 (described to estimate under SVRI) was examined. Additionally, consistency between two evaluators was assessed for RRI using the intraclass correlation coefficient and Bland-Altman analysis.

RESULTS

A total of 35 measurements were obtained. The average cardiac index (CI) was 2.73 ± 0.64 L/min/m², and the average SVRI was 1967.47 ± 478.33 dyn·s·m²/cm. The correlation between RRI and SVRI measured using PAC was 0.37 [95% CI 0.045-0.62]. The average RRI was 0.94 ± 0.11. RRI measurements > 1.1 had a mean SVRI of 2120.79 ± 673.48 dyn·s·m²/cm, while RRI measurements ≤ 1.1 had a mean SVRI of 1953.1 ± 468.17 dyn·s·m²/cm (p = 0.62). The consistency between evaluators showed an intraclass correlation coefficient of 0.88 [95% CI 0.78-0.93], and Bland-Altman analysis illustrated adequate agreement of RRI evaluators.

CONCLUSIONS

For patients in cardiac surgery POP, the correlation between the SVRI measured using PAC and the RRI measured in the anatomical snuffbox is low. Using the RRI as a SVRI estimator for patients is not recommended in this clinical scenario.

摘要

引言

有人提出,通过超声测量解剖学鼻烟壶处的桡动脉阻力指数(RRI)是评估全身血管阻力指数(SVRI)的一种有用方法。本研究旨在确定通过肺动脉导管(PAC)测量的SVRI与RRI之间的相关性。

方法

一项横断面研究纳入了所有接受心脏手术后(POP)并使用PAC进行血流动力学监测的连续患者。使用PAC进行血流动力学评估,并在解剖学鼻烟壶处用超声测量RRI。采用Pearson相关性检验来确定RRI与使用PAC测量的SVRI之间的相关性。研究了RRI截止值为1.1(用于估计低于SVRI的情况)时的血流动力学行为。此外,使用组内相关系数和Bland-Altman分析评估了两位评估者对RRI评估的一致性。

结果

共获得35次测量数据。平均心脏指数(CI)为2.73±0.64L/min/m²,平均SVRI为1967.47±478.33dyn·s·m²/cm。使用PAC测量的RRI与SVRI之间的相关性为0.37[95%CI 0.045-0.62]。平均RRI为0.94±0.11。RRI测量值>1.1时,平均SVRI为2120.79±673.48dyn·s·m²/cm,而RRI测量值≤1.1时,平均SVRI为1953.1±468.17dyn·s·m²/cm(p=0.62)。评估者之间的一致性显示组内相关系数为0.88[95%CI 0.78-0.93],Bland-Altman分析表明RRI评估者之间具有充分的一致性。

结论

对于心脏手术后POP患者,使用PAC测量的SVRI与在解剖学鼻烟壶处测量的RRI之间的相关性较低。在这种临床情况下,不建议将RRI用作患者的SVRI估计值。

https://cdn.ncbi.nlm.nih.gov/pmc/blobs/6aec/11130094/563f3b25c141/13089_2024_379_Fig7_HTML.jpg
https://cdn.ncbi.nlm.nih.gov/pmc/blobs/6aec/11130094/8829cb146076/13089_2024_379_Fig1_HTML.jpg
https://cdn.ncbi.nlm.nih.gov/pmc/blobs/6aec/11130094/d40ba0464bd4/13089_2024_379_Fig2_HTML.jpg
https://cdn.ncbi.nlm.nih.gov/pmc/blobs/6aec/11130094/abb7e2543f29/13089_2024_379_Fig3_HTML.jpg
https://cdn.ncbi.nlm.nih.gov/pmc/blobs/6aec/11130094/318f96800477/13089_2024_379_Fig4_HTML.jpg
https://cdn.ncbi.nlm.nih.gov/pmc/blobs/6aec/11130094/93e13564e5bf/13089_2024_379_Fig5_HTML.jpg
https://cdn.ncbi.nlm.nih.gov/pmc/blobs/6aec/11130094/648a9b1b7825/13089_2024_379_Fig6_HTML.jpg
https://cdn.ncbi.nlm.nih.gov/pmc/blobs/6aec/11130094/563f3b25c141/13089_2024_379_Fig7_HTML.jpg
https://cdn.ncbi.nlm.nih.gov/pmc/blobs/6aec/11130094/8829cb146076/13089_2024_379_Fig1_HTML.jpg
https://cdn.ncbi.nlm.nih.gov/pmc/blobs/6aec/11130094/d40ba0464bd4/13089_2024_379_Fig2_HTML.jpg
https://cdn.ncbi.nlm.nih.gov/pmc/blobs/6aec/11130094/abb7e2543f29/13089_2024_379_Fig3_HTML.jpg
https://cdn.ncbi.nlm.nih.gov/pmc/blobs/6aec/11130094/318f96800477/13089_2024_379_Fig4_HTML.jpg
https://cdn.ncbi.nlm.nih.gov/pmc/blobs/6aec/11130094/93e13564e5bf/13089_2024_379_Fig5_HTML.jpg
https://cdn.ncbi.nlm.nih.gov/pmc/blobs/6aec/11130094/648a9b1b7825/13089_2024_379_Fig6_HTML.jpg
https://cdn.ncbi.nlm.nih.gov/pmc/blobs/6aec/11130094/563f3b25c141/13089_2024_379_Fig7_HTML.jpg

相似文献

1
Correlation between the radial artery resistance index and the systemic vascular resistance index: a cross-sectional study.桡动脉阻力指数与全身血管阻力指数的相关性:一项横断面研究。
Ultrasound J. 2024 May 27;16(1):29. doi: 10.1186/s13089-024-00379-0.
2
A comparison of hemodynamic measurement methods during orthotopic liver transplantation: evaluating agreement and trending ability of PiCCO versus pulmonary artery catheter techniques.原位肝移植期间血流动力学测量方法的比较:评估 PiCCO 与肺动脉导管技术的一致性和趋势能力。
BMC Anesthesiol. 2024 Jun 6;24(1):201. doi: 10.1186/s12871-024-02582-x.
3
[Effects of application of pulse contour cardiac output monitoring technology in early treatment of patients with large area burns].脉搏轮廓心输出量监测技术应用于大面积烧伤患者早期治疗的效果
Zhonghua Shao Shang Za Zhi. 2018 Jan 20;34(1):14-20. doi: 10.3760/cma.j.issn.1009-2587.2018.01.004.
4
Application of intraoperative arterial pressure-based cardiac output monitoring for patients undergoing coronary artery bypass grafting surgery.基于术中动脉压的心输出量监测在冠状动脉旁路移植术中的应用。
Chin Med J (Engl). 2012 Jun;125(12):2099-103.
5
Accuracy of Cardiac Output Measured by Fourth-Generation FloTrac and LiDCOrapid, and Their Characteristics Regarding Systemic Vascular Resistance in Patients Undergoing Cardiac Surgery.第四代 FloTrac 和 LiDCOrapid 测量心输出量的准确性,以及它们在心脏手术患者中对全身血管阻力的特征。
J Cardiothorac Vasc Anesth. 2023 Jul;37(7):1143-1151. doi: 10.1053/j.jvca.2023.03.019. Epub 2023 Mar 17.
6
Novel Doppler technique to assess systemic vascular resistance: the snuffbox technique.评估全身血管阻力的新型多普勒技术:鼻烟壶技术。
Circ J. 2005 Jun;69(6):688-94. doi: 10.1253/circj.69.688.
7
[A clinical study of the evaluation of hemodynamic status in mechanically ventilated critically ill patients by continuous non-invasive arterial pressure monitor].[应用连续无创动脉压监测评估机械通气危重症患者血流动力学状态的临床研究]
Zhonghua Wei Zhong Bing Ji Jiu Yi Xue. 2019 Oct;31(10):1231-1235. doi: 10.3760/cma.j.issn.2095-4352.2019.10.010.
8
Systemic vascular resistance has an impact on the reliability of the Vigileo-FloTrac system in measuring cardiac output and tracking cardiac output changes.全身血管阻力会影响 Vigileo-FloTrac 系统测量心输出量和监测心输出量变化的可靠性。
Br J Anaesth. 2013 Aug;111(2):170-7. doi: 10.1093/bja/aet022. Epub 2013 Mar 10.
9
Agreement in hemodynamic monitoring during orthotopic liver transplantation: a comparison of FloTrac/Vigileo at two monitoring sites with pulmonary artery catheter thermodilution.原位肝移植期间血流动力学监测的一致性:FloTrac/Vigileo在两个监测部位与肺动脉导管热稀释法的比较。
J Clin Monit Comput. 2017 Apr;31(2):343-351. doi: 10.1007/s10877-016-9840-x. Epub 2016 Feb 16.
10
Strong correlation between doppler snuffbox resistive index and systemic vascular resistance in septic patients.多普勒鼻咽窝阻力指数与脓毒症患者全身血管阻力呈强相关性。
J Crit Care. 2019 Feb;49:45-49. doi: 10.1016/j.jcrc.2018.10.010. Epub 2018 Oct 16.

引用本文的文献

1
Does the resistive index of the radial artery change after arterial cannulation in patients undergoing abdominal surgery? A prospective observational study.腹部手术患者动脉置管后桡动脉阻力指数会发生变化吗?一项前瞻性观察研究。
Indian J Anaesth. 2024 Oct;68(10):909-914. doi: 10.4103/ija.ija_628_24. Epub 2024 Sep 14.

本文引用的文献

1
Bedside Ultrasound for Hemodynamic Monitoring in Cardiac Intensive Care Unit.心脏重症监护病房中用于血流动力学监测的床旁超声
J Clin Med. 2022 Dec 19;11(24):7538. doi: 10.3390/jcm11247538.
2
USER Protocol as a Guide to Resuscitation of the Patient with Septic Shock in the Emergency Department.急诊科脓毒症休克患者复苏指南
Open Access Emerg Med. 2021 Feb 12;13:33-43. doi: 10.2147/OAEM.S289148. eCollection 2021.
3
A novel echocardiographic method for estimation of pulmonary artery wedge pressure and pulmonary vascular resistance.
一种用于评估肺动脉楔压和肺血管阻力的新型超声心动图方法。
ESC Heart Fail. 2021 Apr;8(2):1216-1229. doi: 10.1002/ehf2.13183. Epub 2021 Feb 10.
4
Interpretation of peripheral arterial and venous Doppler waveforms: A consensus statement from the Society for Vascular Medicine and Society for Vascular Ultrasound.周围动脉和静脉多普勒波形的解读:血管医学学会和血管超声学会的共识声明。
Vasc Med. 2020 Oct;25(5):484-506. doi: 10.1177/1358863X20937665. Epub 2020 Jul 15.
5
Cardiac output measurements via echocardiography versus thermodilution: A systematic review and meta-analysis.超声心动图与热稀释法测量心输出量的比较:系统评价和荟萃分析。
PLoS One. 2019 Oct 3;14(10):e0222105. doi: 10.1371/journal.pone.0222105. eCollection 2019.
6
Optimizing Image Quality When Evaluating Blood Flow at Doppler US: A Tutorial.优化多普勒超声血流评估中的图像质量:教程。
Radiographics. 2019 Sep-Oct;39(5):1501-1523. doi: 10.1148/rg.2019180055. Epub 2019 Aug 9.
7
Strong correlation between doppler snuffbox resistive index and systemic vascular resistance in septic patients.多普勒鼻咽窝阻力指数与脓毒症患者全身血管阻力呈强相关性。
J Crit Care. 2019 Feb;49:45-49. doi: 10.1016/j.jcrc.2018.10.010. Epub 2018 Oct 16.
8
Alternatives to the Swan-Ganz catheter.替代 Swan-Ganz 导管的方法。
Intensive Care Med. 2018 Jun;44(6):730-741. doi: 10.1007/s00134-018-5187-8. Epub 2018 May 3.
9
Systemic arterial hemodynamics and the "renal resistive index": what is in a name?全身动脉血流动力学与“肾阻力指数”:名称中有何含义?
J Clin Hypertens (Greenwich). 2014 Mar;16(3):170-1. doi: 10.1111/jch.12276. Epub 2014 Feb 19.
10
Obituary: pulmonary artery catheter 1970 to 2013.讣告:肺动脉导管 1970 至 2013 年。
Ann Intensive Care. 2013 Nov 28;3(1):38. doi: 10.1186/2110-5820-3-38.